Suppr超能文献

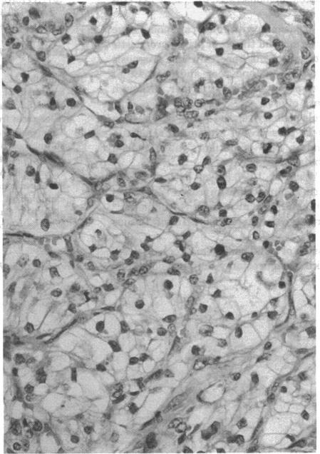
Renal cell carcinoma presenting in the skin.

作者信息

Cuckow P, Doyle P

机构信息

Department of Urology, Addenbrookes Hospital, Cambridge.

出版信息

J R Soc Med. 1991 Aug;84(8):497-8. doi: 10.1177/014107689108400817.

Abstract
摘要
https://cdn.ncbi.nlm.nih.gov/pmc/blobs/71a5/1293384/3a390a9f5fe0/jrsocmed00121-0055-a.jpg

文献AI研究员

20分钟写一篇综述,助力文献阅读效率提升50倍。

立即体验

用中文搜PubMed

大模型驱动的PubMed中文搜索引擎

马上搜索

文档翻译

学术文献翻译模型,支持多种主流文档格式。

立即体验