Komander David, Garg Ritu, Wan Paul T C, Ridley Anne J, Barford David
Section of Structural Biology, The Institute of Cancer Research, Chester Beatty Laboratories, London, UK.
EMBO J. 2008 Dec 3;27(23):3175-85. doi: 10.1038/emboj.2008.226. Epub 2008 Oct 23.
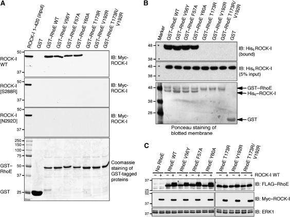
The ROCK-I serine/threonine protein kinase mediates the effects of RhoA to promote the formation of actin stress fibres and integrin-based focal adhesions. ROCK-I phosphorylates the unconventional G-protein RhoE on multiple N- and C-terminal sites. These phosphorylation events stabilise RhoE, which functions to antagonise RhoA-induced stress fibre assembly. Here, we provide a molecular explanation for multi-site phosphorylation of RhoE from the crystal structure of RhoE in complex with the ROCK-I kinase domain. RhoE interacts with the C-lobe alphaG helix of ROCK-I by means of a novel binding site remote from its effector region, positioning its N and C termini proximal to the ROCK-I catalytic site. Disruption of the ROCK-I:RhoE interface abolishes RhoE phosphorylation, but has no effect on the ability of RhoE to disassemble stress fibres. In contrast, mutation of the RhoE effector region attenuates RhoE-mediated disruption of the actin cytoskeleton, indicating that RhoE exerts its inhibitory effects on ROCK-I through protein(s) binding to its effector region. We propose that ROCK-I phosphorylation of RhoE forms part of a feedback loop to regulate RhoA signalling.
ROCK-I丝氨酸/苏氨酸蛋白激酶介导RhoA的作用,以促进肌动蛋白应力纤维和基于整合素的粘着斑的形成。ROCK-I在多个N端和C端位点使非常规G蛋白RhoE磷酸化。这些磷酸化事件使RhoE稳定,其作用是拮抗RhoA诱导的应力纤维组装。在此,我们从与ROCK-I激酶结构域复合的RhoE晶体结构出发,对RhoE的多位点磷酸化提供了分子解释。RhoE通过一个远离其效应器区域的新型结合位点与ROCK-I的C叶αG螺旋相互作用,将其N端和C端定位在靠近ROCK-I催化位点的位置。ROCK-I:RhoE界面的破坏消除了RhoE的磷酸化,但对RhoE拆解应力纤维的能力没有影响。相反,RhoE效应器区域的突变减弱了RhoE介导的肌动蛋白细胞骨架破坏,表明RhoE通过与效应器区域结合的蛋白质对ROCK-I发挥其抑制作用。我们提出,RhoE的ROCK-I磷酸化形成了调节RhoA信号传导的反馈回路的一部分。