• 文献检索
  • 文档翻译
  • 深度研究
  • 学术资讯
  • Suppr Zotero 插件Zotero 插件
  • 邀请有礼
  • 套餐&价格
  • 历史记录
应用&插件
Suppr Zotero 插件Zotero 插件浏览器插件Mac 客户端Windows 客户端微信小程序
定价
高级版会员购买积分包购买API积分包
服务
文献检索文档翻译深度研究API 文档MCP 服务
关于我们
关于 Suppr公司介绍联系我们用户协议隐私条款
关注我们

Suppr 超能文献

核心技术专利:CN118964589B侵权必究
粤ICP备2023148730 号-1Suppr @ 2026

文献检索

告别复杂PubMed语法,用中文像聊天一样搜索,搜遍4000万医学文献。AI智能推荐,让科研检索更轻松。

立即免费搜索

文件翻译

保留排版,准确专业,支持PDF/Word/PPT等文件格式,支持 12+语言互译。

免费翻译文档

深度研究

AI帮你快速写综述,25分钟生成高质量综述,智能提取关键信息,辅助科研写作。

立即免费体验

苜蓿银纹夜蛾多核衣壳核型多角体病毒编码的IE1和IE0反式激活因子的新型调控特性

Novel regulatory properties of the IE1 and IE0 transactivators encoded by the baculovirus Autographa californica multicapsid nuclear polyhedrosis virus.

作者信息

Kovacs G R, Guarino L A, Summers M D

机构信息

Department of Biochemistry and Biophysics, Texas A&M University, College Station 77843.

出版信息

J Virol. 1991 Oct;65(10):5281-8. doi: 10.1128/JVI.65.10.5281-5288.1991.

DOI:10.1128/JVI.65.10.5281-5288.1991
PMID:1895384
原文链接:https://pmc.ncbi.nlm.nih.gov/articles/PMC249007/
Abstract

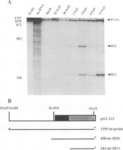
The baculovirus Autographa californica multicapsid nuclear polyhedrosis virus expresses two immediate-early genes from the HindIII-G region (map units 90.4 to 96.8) of the genome. During the early phase of infection, nonspliced 1.9-kb and spliced 2.1-kb transcripts are expressed which encode the IE1 and IE0 (spliced IE1) gene products, respectively. These two gene products differ only in that IE0 contains an additional 54 amino acids at the amino terminus. RNA analysis of these two genes during infection revealed that they were differentially expressed. IE1 was expressed early and late, whereas IE0 was expressed only early in infection. The regulation of these two immediate-early genes was analyzed by transient expression assays. The IE1 gene product stimulated expression of IE1 promoter-directed expression but down-regulated expression from the IE0 promoter. The IE0 gene product also transactivated the IE1 promoter but did not affect expression from its own promoter. Unlike IE1, which transactivates the delayed early 39K gene in the presence and absence of the homologous region (hr) enhancers, IE0 transactivated the 39K promoter only in the presence of cis-linked hr5 enhancer. The results of this study in conjunction with previous results suggest that the IE1 gene encodes a multifunctional gene product that may be involved in (i) repression of immediate-early gene expression, (ii) continued expression of its own gene product during infection, and (iii) transactivation of the delayed early and late classes of genes.

摘要

苜蓿银纹夜蛾多核衣壳核型多角体病毒(Autographa californica multicapsid nuclear polyhedrosis virus)表达来自基因组HindIII - G区域(图谱单位90.4至96.8)的两个立即早期基因。在感染早期,表达了未剪接的1.9 kb和剪接的2.1 kb转录本,它们分别编码IE1和IE0(剪接的IE1)基因产物。这两种基因产物的区别仅在于IE0在氨基末端含有额外的54个氨基酸。感染期间对这两个基因的RNA分析表明它们是差异表达的。IE1在感染的早期和晚期都有表达,而IE0仅在感染早期表达。通过瞬时表达分析对这两个立即早期基因的调控进行了研究。IE1基因产物刺激了IE1启动子指导的表达,但下调了IE0启动子的表达。IE0基因产物也反式激活了IE1启动子,但不影响其自身启动子的表达。与IE1不同,IE1在存在和不存在同源区域(hr)增强子的情况下都能反式激活延迟早期39K基因,而IE0仅在存在顺式连接的hr5增强子时才能反式激活39K启动子。本研究结果与先前结果表明,IE1基因编码一种多功能基因产物,可能参与:(i)立即早期基因表达的抑制;(ii)感染期间其自身基因产物的持续表达;(iii)延迟早期和晚期基因类别的反式激活。

https://cdn.ncbi.nlm.nih.gov/pmc/blobs/2a44/249007/c5109ad137e1/jvirol00053-0170-a.jpg
https://cdn.ncbi.nlm.nih.gov/pmc/blobs/2a44/249007/604af0ac2d49/jvirol00053-0167-a.jpg
https://cdn.ncbi.nlm.nih.gov/pmc/blobs/2a44/249007/ebbef456a3e0/jvirol00053-0168-a.jpg
https://cdn.ncbi.nlm.nih.gov/pmc/blobs/2a44/249007/55e2d2763240/jvirol00053-0168-b.jpg
https://cdn.ncbi.nlm.nih.gov/pmc/blobs/2a44/249007/c5109ad137e1/jvirol00053-0170-a.jpg
https://cdn.ncbi.nlm.nih.gov/pmc/blobs/2a44/249007/604af0ac2d49/jvirol00053-0167-a.jpg
https://cdn.ncbi.nlm.nih.gov/pmc/blobs/2a44/249007/ebbef456a3e0/jvirol00053-0168-a.jpg
https://cdn.ncbi.nlm.nih.gov/pmc/blobs/2a44/249007/55e2d2763240/jvirol00053-0168-b.jpg
https://cdn.ncbi.nlm.nih.gov/pmc/blobs/2a44/249007/c5109ad137e1/jvirol00053-0170-a.jpg

相似文献

1
Novel regulatory properties of the IE1 and IE0 transactivators encoded by the baculovirus Autographa californica multicapsid nuclear polyhedrosis virus.苜蓿银纹夜蛾多核衣壳核型多角体病毒编码的IE1和IE0反式激活因子的新型调控特性
J Virol. 1991 Oct;65(10):5281-8. doi: 10.1128/JVI.65.10.5281-5288.1991.
2
Functional dissection of the Autographa californica nuclear polyhedrosis virus immediate-early 1 transcriptional regulatory protein.苜蓿银纹夜蛾核型多角体病毒立即早期1转录调控蛋白的功能剖析
J Virol. 1992 Dec;66(12):7429-37. doi: 10.1128/JVI.66.12.7429-7437.1992.
3
Defining the roles of the baculovirus regulatory proteins IE0 and IE1 in genome replication and early gene transactivation.确定杆状病毒调节蛋白IE0和IE1在基因组复制和早期基因反式激活中的作用。
Virology. 2014 Nov;468-470:160-171. doi: 10.1016/j.virol.2014.07.044. Epub 2014 Aug 30.
4
The Autographa californica multiple nucleopolyhedrovirus ie0-ie1 gene complex is essential for wild-type virus replication, but either IE0 or IE1 can support virus growth.苜蓿银纹夜蛾多核型多角体病毒ie0-ie1基因复合体对野生型病毒复制至关重要,但单独的IE0或IE1均可支持病毒生长。
J Virol. 2005 Apr;79(8):4619-29. doi: 10.1128/JVI.79.8.4619-4629.2005.
5
Baculovirus gp64 gene expression: analysis of sequences modulating early transcription and transactivation by IE1.杆状病毒gp64基因表达:对IE1调控早期转录和反式激活的序列分析
J Virol. 1991 Nov;65(11):5820-7. doi: 10.1128/JVI.65.11.5820-5827.1991.
6
Expression of the 39k promoter of Autographa californica nuclear polyhedrosis virus is increased by the apoptotic suppressor P35.苜蓿银纹夜蛾核型多角体病毒39k启动子的表达受凋亡抑制因子P35的上调。
Virology. 1994 Oct;204(1):38-44. doi: 10.1006/viro.1994.1508.
7
Immediate-early baculovirus genes transactivate the p143 gene promoter of Autographa californica nuclear polyhedrosis virus.杆状病毒立即早期基因可反式激活苜蓿银纹夜蛾核型多角体病毒的p143基因启动子。
Virology. 1993 Aug;195(2):710-8. doi: 10.1006/viro.1993.1422.
8
Expression of an enhancer-binding protein in insect cells transfected with the Autographa californica nuclear polyhedrosis virus IE1 gene.在转染了苜蓿银纹夜蛾核型多角体病毒IE1基因的昆虫细胞中增强子结合蛋白的表达
J Virol. 1991 Jul;65(7):3676-80. doi: 10.1128/JVI.65.7.3676-3680.1991.
9
Identification of spliced baculovirus RNAs expressed late in infection.感染后期表达的剪接杆状病毒RNA的鉴定
Virology. 1991 Dec;185(2):633-43. doi: 10.1016/0042-6822(91)90534-i.
10
Role of AcMNPV IE0 in baculovirus very late gene activation.苜蓿银纹夜蛾核型多角体病毒IE0在杆状病毒极晚期基因激活中的作用。
Virology. 2004 May 20;323(1):120-30. doi: 10.1016/j.virol.2004.03.001.

引用本文的文献

1
Improving the production of baculovirus expression vector by overexpression of IE0/IE1 through tandem promoter.通过串联启动子过表达IE0/IE1来提高杆状病毒表达载体的产量。
PLoS One. 2025 Mar 25;20(3):e0320182. doi: 10.1371/journal.pone.0320182. eCollection 2025.
2
Development of an insect cell-based adeno-associated virus packaging cell line employing advanced gene expression control system.利用先进基因表达控制系统开发基于昆虫细胞的腺相关病毒包装细胞系。
Mol Ther Methods Clin Dev. 2022 Oct 28;27:391-403. doi: 10.1016/j.omtm.2022.10.015. eCollection 2022 Dec 8.
3
Effective production of oligomeric membrane proteins by EarlyBac-insect cell system.

本文引用的文献

1
Nucleotide sequence and temporal expression of a baculovirus regulatory gene.杆状病毒调控基因的核苷酸序列及时间表达
J Virol. 1987 Jul;61(7):2091-9. doi: 10.1128/JVI.61.7.2091-2099.1987.
2
Complete Sequence and Enhancer Function of the Homologous DNA Regions of Autographa californica Nuclear Polyhedrosis Virus.苜蓿银纹夜蛾核型多角体病毒同源DNA区域的完整序列及增强子功能
J Virol. 1986 Oct;60(1):224-9. doi: 10.1128/JVI.60.1.224-229.1986.
3
Interspersed Homologous DNA of Autographa californica Nuclear Polyhedrosis Virus Enhances Delayed-Early Gene Expression.
通过 EarlyBac-昆虫细胞系统有效生产寡聚膜蛋白。
Methods Enzymol. 2021;653:3-19. doi: 10.1016/bs.mie.2020.12.019. Epub 2021 Jan 18.
4
A Tale of Two Transcriptomic Responses in Agricultural Pests via Host Defenses and Viral Replication.农业害虫通过宿主防御和病毒复制产生的两种转录组反应的故事
Int J Mol Sci. 2021 Mar 30;22(7):3568. doi: 10.3390/ijms22073568.
5
Transcriptome of Cydia pomonella granulovirus in susceptible and type I resistant codling moth larvae.舞毒蛾颗粒体病毒在敏感型和 I 型抗性苹果蠹蛾幼虫中的转录组。
J Gen Virol. 2021 Mar;102(3). doi: 10.1099/jgv.0.001566. Epub 2021 Feb 24.
6
Tightly regulated expression of Autographa californica multicapsid nucleopolyhedrovirus immediate early genes emerges from their interactions and possible collective behaviors.苜蓿银纹夜蛾多粒包埋核型多角体病毒立即早期基因的严格调控表达源于它们的相互作用以及可能的集体行为。
PLoS One. 2015 Mar 27;10(3):e0119580. doi: 10.1371/journal.pone.0119580. eCollection 2015.
7
Baculovirus resistance in codling moth is virus isolate-dependent and the consequence of a mutation in viral gene pe38.苹果蠹蛾对杆状病毒的抗性取决于病毒分离株,是病毒基因pe38发生突变的结果。
Proc Natl Acad Sci U S A. 2014 Nov 4;111(44):15711-6. doi: 10.1073/pnas.1411089111. Epub 2014 Oct 20.
8
Use of bacterial artificial chromosomes in baculovirus research and recombinant protein expression: current trends and future perspectives.细菌人工染色体在杆状病毒研究和重组蛋白表达中的应用:当前趋势与未来展望。
ISRN Microbiol. 2012 Sep 12;2012:628797. doi: 10.5402/2012/628797. Print 2012.
9
A Baculovirus immediate-early gene, ie1, promoter drives efficient expression of a transgene in both Drosophila melanogaster and Bombyx mori.杆状病毒早期基因 ie1 启动子可在果蝇和家蚕中高效表达转基因。
PLoS One. 2012;7(11):e49323. doi: 10.1371/journal.pone.0049323. Epub 2012 Nov 13.
10
Conserved structural motifs at the C-terminus of baculovirus protein IE0 are important for its functions in transactivation and supporting hr5-mediated DNA replication.杆状病毒蛋白 IE0 的 C 末端的保守结构基序对于其在转录激活和支持 hr5 介导的 DNA 复制中的功能非常重要。
Viruses. 2012 May;4(5):761-76. doi: 10.3390/v4050761. Epub 2012 May 4.
苜蓿银纹夜蛾核型多角体病毒的散布同源DNA增强延迟早期基因表达。
J Virol. 1986 Oct;60(1):215-23. doi: 10.1128/JVI.60.1.215-223.1986.
4
Location of Homologous DNA Sequences Interspersed at Five Regions in the Baculovirus AcMNPV Genome.杆状病毒AcMNPV基因组中五个区域散布的同源DNA序列的定位
J Virol. 1983 Mar;45(3):961-70. doi: 10.1128/JVI.45.3.961-970.1983.
5
Transcription maps of polyoma virus-specific RNA: analysis by two-dimensional nuclease S1 gel mapping.多瘤病毒特异性RNA的转录图谱:二维核酸酶S1凝胶图谱分析
Methods Enzymol. 1980;65(1):718-49. doi: 10.1016/s0076-6879(80)65070-8.
6
Cleavage of structural proteins during the assembly of the head of bacteriophage T4.在噬菌体T4头部组装过程中结构蛋白的切割
Nature. 1970 Aug 15;227(5259):680-5. doi: 10.1038/227680a0.
7
Functional mapping of a trans-activating gene required for expression of a baculovirus delayed-early gene.一种杆状病毒延迟早期基因表达所需的反式激活基因的功能图谱分析。
J Virol. 1986 Feb;57(2):563-71. doi: 10.1128/JVI.57.2.563-571.1986.
8
Rapid and efficient site-specific mutagenesis without phenotypic selection.无需表型筛选的快速高效位点特异性诱变。
Proc Natl Acad Sci U S A. 1985 Jan;82(2):488-92. doi: 10.1073/pnas.82.2.488.
9
The regulation of baculovirus gene expression.杆状病毒基因表达的调控
Curr Top Microbiol Immunol. 1986;131:31-49. doi: 10.1007/978-3-642-71589-1_3.
10
The regulation of transcription of viral and cellular genes by herpesvirus immediate-early gene products (review).疱疹病毒立即早期基因产物对病毒和细胞基因转录的调控(综述)
Anticancer Res. 1987 Jul-Aug;7(4A):589-604.