Suppr超能文献

百日咳博德特氏菌丝状血凝素对核因子-κB信号通路的调控

Modulation of the NF-kappaB pathway by Bordetella pertussis filamentous hemagglutinin.

作者信息

Abramson Tzvia, Kedem Hassya, Relman David A

机构信息

Department of Microbiology and Immunology, Stanford University School of Medicine, Stanford, California, United States of America.

出版信息

PLoS One. 2008;3(11):e3825. doi: 10.1371/journal.pone.0003825. Epub 2008 Nov 27.

Abstract

BACKGROUND

Filamentous hemagglutinin (FHA) is a cell-associated and secreted adhesin produced by Bordetella pertussis with pro-apoptotic and pro-inflammatory activity in host cells. Given the importance of the NF-kappaB transcription factor family in these host cell responses, we examined the effect of FHA on NF-kappaB activation in macrophages and bronchial epithelial cells, both of which are relevant cell types during natural infection.

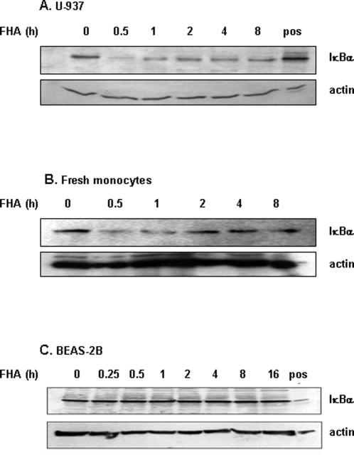
METHODOLOGY/PRINCIPAL FINDINGS: Exposure to FHA of primary human monocytes and transformed U-937 macrophages, but not BEAS-2B epithelial cells, resulted in early activation of the NF-kappaB pathway, as manifested by the degradation of cytosolic IkappaB alpha, by NF-kappaB DNA binding, and by the subsequent secretion of NF-kappaB-regulated inflammatory cytokines. However, exposure of macrophages and human monocytes to FHA for two hours or more resulted in the accumulation of cytosolic IkappaB alpha, and the failure of TNF-alpha to activate NF-kappaB. Proteasome activity was attenuated following exposure of cells to FHA for 2 hours, as was the nuclear translocation of RelA in BEAS-2B cells.

CONCLUSIONS

These results reveal a complex temporal dynamic, and suggest that despite short term effects to the contrary, longer exposures of host cells to this secreted adhesin may block NF-kappaB activation, and perhaps lead to a compromised immune response to this bacterial pathogen.

摘要

背景

丝状血凝素(FHA)是百日咳博德特氏菌产生的一种与细胞相关且可分泌的粘附素,在宿主细胞中具有促凋亡和促炎活性。鉴于核因子κB转录因子家族在这些宿主细胞反应中的重要性,我们研究了FHA对巨噬细胞和支气管上皮细胞中核因子κB激活的影响,这两种细胞类型在自然感染过程中均具有相关性。

方法/主要发现:将原代人单核细胞和转化的U-937巨噬细胞而非BEAS-2B上皮细胞暴露于FHA,导致核因子κB途径早期激活,表现为细胞质中IκBα降解、核因子κB与DNA结合以及随后分泌核因子κB调节的炎性细胞因子。然而,将巨噬细胞和人单核细胞暴露于FHA两小时或更长时间,导致细胞质中IκBα积累,且肿瘤坏死因子α无法激活核因子κB。细胞暴露于FHA 2小时后,蛋白酶体活性减弱,BEAS-2B细胞中RelA的核转位也减弱。

结论

这些结果揭示了一种复杂的时间动态变化,并表明尽管短期内有相反的作用,但宿主细胞长时间暴露于这种分泌的粘附素可能会阻断核因子κB激活,甚至可能导致对这种细菌病原体的免疫反应受损。

https://cdn.ncbi.nlm.nih.gov/pmc/blobs/781c/2584786/bb9008e479dc/pone.0003825.g001.jpg

相似文献

1
Modulation of the NF-kappaB pathway by Bordetella pertussis filamentous hemagglutinin.
PLoS One. 2008;3(11):e3825. doi: 10.1371/journal.pone.0003825. Epub 2008 Nov 27.
3
Proinflammatory and proapoptotic activities associated with Bordetella pertussis filamentous hemagglutinin.
Infect Immun. 2001 Apr;69(4):2650-8. doi: 10.1128/IAI.69.4.2650-2658.2001.
4
Modulation of the host interferon response and ISGylation pathway by B. pertussis filamentous hemagglutinin.
PLoS One. 2011;6(11):e27535. doi: 10.1371/journal.pone.0027535. Epub 2011 Nov 30.
7
Short-term modulation of interleukin-1beta signaling by hyperoxia: uncoupling of IkappaB kinase activation and NF-kappaB-dependent gene expression.
Am J Physiol Lung Cell Mol Physiol. 2004 Mar;286(3):L554-62. doi: 10.1152/ajplung.00191.2003. Epub 2003 Nov 14.
10
Streptococcus cristatus modulates the Fusobacterium nucleatum-induced epithelial interleukin-8 response through the nuclear factor-kappa B pathway.
J Periodontal Res. 2011 Oct;46(5):558-67. doi: 10.1111/j.1600-0765.2011.01373.x. Epub 2011 Apr 26.

引用本文的文献

2
and : Similarities and Differences in Infection, Immuno-Modulation, and Vaccine Considerations.
Clin Microbiol Rev. 2023 Sep 21;36(3):e0016422. doi: 10.1128/cmr.00164-22. Epub 2023 Jun 12.
3
Filamentous Hemagglutinin of Does Not Interact with the β Integrin CD11b/CD18.
Int J Mol Sci. 2022 Oct 20;23(20):12598. doi: 10.3390/ijms232012598.
4
Pathogenicity and virulence of and its adaptation to its strictly human host.
Virulence. 2021 Dec;12(1):2608-2632. doi: 10.1080/21505594.2021.1980987.
6
Screening and Genomic Characterization of Filamentous Hemagglutinin-Deficient Bordetella pertussis.
Infect Immun. 2018 Mar 22;86(4). doi: 10.1128/IAI.00869-17. Print 2018 Apr.
7
Rationale for Adjunctive Therapies for Pediatric Sepsis Induced Multiple Organ Failure.
Pediatr Clin North Am. 2017 Oct;64(5):1071-1088. doi: 10.1016/j.pcl.2017.06.007. Epub 2017 Aug 18.
10
Intruders below the radar: molecular pathogenesis of Bartonella spp.
Clin Microbiol Rev. 2012 Jan;25(1):42-78. doi: 10.1128/CMR.05009-11.

本文引用的文献

1
Salmonella effector AvrA regulation of colonic epithelial cell inflammation by deubiquitination.
Am J Pathol. 2007 Sep;171(3):882-92. doi: 10.2353/ajpath.2007.070220. Epub 2007 Aug 9.
2
A cytokine-mediated link between innate immunity, inflammation, and cancer.
J Clin Invest. 2007 May;117(5):1175-83. doi: 10.1172/JCI31537.
3
Antigen-receptor signaling to nuclear factor kappa B.
Immunity. 2006 Nov;25(5):701-15. doi: 10.1016/j.immuni.2006.10.010.
4
Innate immunity gone awry: linking microbial infections to chronic inflammation and cancer.
Cell. 2006 Feb 24;124(4):823-35. doi: 10.1016/j.cell.2006.02.016.
5
IKK/NF-kappaB signaling: balancing life and death--a new approach to cancer therapy.
J Clin Invest. 2005 Oct;115(10):2625-32. doi: 10.1172/JCI26322.
8
Bacterial inhibition of eukaryotic pro-inflammatory pathways.
Immunol Res. 2004;29(1-3):175-86. doi: 10.1385/IR:29:1-3:175.
9
Implications of proteasome inhibition: an enhanced macrophage phenotype.
Cell Immunol. 2004 Feb;227(2):140-7. doi: 10.1016/j.cellimm.2004.03.005.
10
Inhibition of proteasomal function by curcumin induces apoptosis through mitochondrial pathway.
J Biol Chem. 2004 Mar 19;279(12):11680-5. doi: 10.1074/jbc.M310369200. Epub 2003 Dec 30.

文献AI研究员

20分钟写一篇综述,助力文献阅读效率提升50倍。

立即体验

用中文搜PubMed

大模型驱动的PubMed中文搜索引擎

马上搜索

文档翻译

学术文献翻译模型,支持多种主流文档格式。

立即体验