• 文献检索
  • 文档翻译
  • 深度研究
  • 学术资讯
  • Suppr Zotero 插件Zotero 插件
  • 邀请有礼
  • 套餐&价格
  • 历史记录
应用&插件
Suppr Zotero 插件Zotero 插件浏览器插件Mac 客户端Windows 客户端微信小程序
定价
高级版会员购买积分包购买API积分包
服务
文献检索文档翻译深度研究API 文档MCP 服务
关于我们
关于 Suppr公司介绍联系我们用户协议隐私条款
关注我们

Suppr 超能文献

核心技术专利:CN118964589B侵权必究
粤ICP备2023148730 号-1Suppr @ 2026

文献检索

告别复杂PubMed语法,用中文像聊天一样搜索,搜遍4000万医学文献。AI智能推荐,让科研检索更轻松。

立即免费搜索

文件翻译

保留排版,准确专业,支持PDF/Word/PPT等文件格式,支持 12+语言互译。

免费翻译文档

深度研究

AI帮你快速写综述,25分钟生成高质量综述,智能提取关键信息,辅助科研写作。

立即免费体验

结肠癌中PHLPP表达缺失:在增殖和肿瘤发生中的作用。

Loss of PHLPP expression in colon cancer: role in proliferation and tumorigenesis.

作者信息

Liu J, Weiss H L, Rychahou P, Jackson L N, Evers B M, Gao T

机构信息

Department of Biochemistry and Molecular Biology, West China Medical School of Preclinical and Forensic Medicine, Sichuan University, Chengdu, Sichuan, PR China.

出版信息

Oncogene. 2009 Feb 19;28(7):994-1004. doi: 10.1038/onc.2008.450. Epub 2008 Dec 15.

DOI:10.1038/onc.2008.450
PMID:19079341
原文链接:https://pmc.ncbi.nlm.nih.gov/articles/PMC2921630/
Abstract

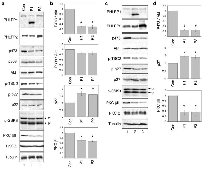
PHLPP (PH domain leucine-rich repeats protein phosphatase) represents a family of novel Ser/Thr protein phosphatases. Two highly related isoforms in this family, PHLPP1 and PHLPP2, have been identified to serve as negative regulators of Akt and protein kinase C by dephosphorylating the kinases directly. In this study, we examined the expression pattern of both PHLPP isoforms in colorectal cancer specimens and the adjacent normal mucosa using immunohistochemical staining. We found that the expression of PHLPP1 or PHLPP2 isoform was lost or decreased in 78 and 86% of tumor tissues, respectively. Stable overexpression of either PHLPP isoform in colon cancer cells decreased the rate of cell proliferation and sensitized the cells to growth inhibition induced by the phosphoinositide-3 kinase inhibitor, LY294002, whereas knockdown of either PHLPP isoform by shRNA promoted the proliferation of DLD1 cells. In addition, we demonstrated that the PHLPP-mediated growth inhibition in colon cancer cells was largely rescued by overexpression of a constitutively active Akt. Moreover, reexpression of either PHLPP isoform in HCT116 cells inhibited tumor growth in vivo. Taken together, our results strongly support a tumor suppressor role of PHLPP in colon cancer.

摘要

PHLPP(含PH结构域富亮氨酸重复蛋白磷酸酶)代表一类新型的丝氨酸/苏氨酸蛋白磷酸酶。该家族中有两种高度相关的亚型,即PHLPP1和PHLPP2,已被确定可通过直接使激酶去磷酸化而作为Akt和蛋白激酶C的负调节因子。在本研究中,我们使用免疫组织化学染色检测了PHLPP两种亚型在结直肠癌标本及相邻正常黏膜中的表达模式。我们发现,在78%和86%的肿瘤组织中,PHLPP1或PHLPP2亚型的表达分别缺失或降低。在结肠癌细胞中稳定过表达任一PHLPP亚型均可降低细胞增殖速率,并使细胞对磷酸肌醇-3激酶抑制剂LY294002诱导的生长抑制敏感,而通过短发夹RNA敲低任一PHLPP亚型则可促进DLD1细胞的增殖。此外,我们证明,组成型活性Akt的过表达在很大程度上挽救了PHLPP介导的结肠癌细胞生长抑制。而且,在HCT116细胞中重新表达任一PHLPP亚型均可在体内抑制肿瘤生长。综上所述,我们的结果有力地支持了PHLPP在结肠癌中发挥肿瘤抑制作用。

https://cdn.ncbi.nlm.nih.gov/pmc/blobs/d140/2921630/185962fbacf1/nihms78107f6.jpg
https://cdn.ncbi.nlm.nih.gov/pmc/blobs/d140/2921630/5f0d26ad9df5/nihms78107f1.jpg
https://cdn.ncbi.nlm.nih.gov/pmc/blobs/d140/2921630/489ea9cbf2e1/nihms78107f2.jpg
https://cdn.ncbi.nlm.nih.gov/pmc/blobs/d140/2921630/4389e02d41b2/nihms78107f3.jpg
https://cdn.ncbi.nlm.nih.gov/pmc/blobs/d140/2921630/a88d5df341ac/nihms78107f4.jpg
https://cdn.ncbi.nlm.nih.gov/pmc/blobs/d140/2921630/a46ade28a0a2/nihms78107f5.jpg
https://cdn.ncbi.nlm.nih.gov/pmc/blobs/d140/2921630/185962fbacf1/nihms78107f6.jpg
https://cdn.ncbi.nlm.nih.gov/pmc/blobs/d140/2921630/5f0d26ad9df5/nihms78107f1.jpg
https://cdn.ncbi.nlm.nih.gov/pmc/blobs/d140/2921630/489ea9cbf2e1/nihms78107f2.jpg
https://cdn.ncbi.nlm.nih.gov/pmc/blobs/d140/2921630/4389e02d41b2/nihms78107f3.jpg
https://cdn.ncbi.nlm.nih.gov/pmc/blobs/d140/2921630/a88d5df341ac/nihms78107f4.jpg
https://cdn.ncbi.nlm.nih.gov/pmc/blobs/d140/2921630/a46ade28a0a2/nihms78107f5.jpg
https://cdn.ncbi.nlm.nih.gov/pmc/blobs/d140/2921630/185962fbacf1/nihms78107f6.jpg

相似文献

1
Loss of PHLPP expression in colon cancer: role in proliferation and tumorigenesis.结肠癌中PHLPP表达缺失:在增殖和肿瘤发生中的作用。
Oncogene. 2009 Feb 19;28(7):994-1004. doi: 10.1038/onc.2008.450. Epub 2008 Dec 15.
2
The deubiquitination enzyme USP46 functions as a tumor suppressor by controlling PHLPP-dependent attenuation of Akt signaling in colon cancer.去泛素化酶 USP46 通过控制 PHLPP 依赖的 Akt 信号转导在结肠癌中发挥肿瘤抑制作用。
Oncogene. 2013 Jan 24;32(4):471-8. doi: 10.1038/onc.2012.66. Epub 2012 Mar 5.
3
PHLPP is a negative regulator of RAF1, which reduces colorectal cancer cell motility and prevents tumor progression in mice.PHLPP 是 RAF1 的负调控因子,可降低结直肠癌细胞的迁移能力,并防止小鼠肿瘤进展。
Gastroenterology. 2014 May;146(5):1301-12.e1-10. doi: 10.1053/j.gastro.2014.02.003. Epub 2014 Feb 11.
4
The phosphatase PHLPP controls the cellular levels of protein kinase C.磷酸酶PHLPP控制蛋白激酶C的细胞水平。
J Biol Chem. 2008 Mar 7;283(10):6300-11. doi: 10.1074/jbc.M707319200. Epub 2007 Dec 27.
5
PHLPP-mediated dephosphorylation of S6K1 inhibits protein translation and cell growth.PHLPP 介导的 S6K1 去磷酸化抑制蛋白质翻译和细胞生长。
Mol Cell Biol. 2011 Dec;31(24):4917-27. doi: 10.1128/MCB.05799-11. Epub 2011 Oct 10.
6
PHLPPing through history: a decade in the life of PHLPP phosphatases.回顾PHLPP的历史:PHLPP磷酸酶的十年历程
Biochem Soc Trans. 2016 Dec 15;44(6):1675-1682. doi: 10.1042/BST20160170.
7
Pleckstrin Homology (PH) Domain Leucine-rich Repeat Protein Phosphatase Controls Cell Polarity by Negatively Regulating the Activity of Atypical Protein Kinase C.普列克底物蛋白同源(PH)结构域富含亮氨酸重复序列蛋白磷酸酶通过负调控非典型蛋白激酶C的活性来控制细胞极性。
J Biol Chem. 2016 Nov 25;291(48):25167-25178. doi: 10.1074/jbc.M116.740639. Epub 2016 Oct 19.
8
SNORA74B gene silencing inhibits gallbladder cancer cells by inducing PHLPP and suppressing Akt/mTOR signaling.SNORA74B基因沉默通过诱导PHLPP并抑制Akt/mTOR信号传导来抑制胆囊癌细胞。
Oncotarget. 2017 Mar 21;8(12):19980-19996. doi: 10.18632/oncotarget.15301.
9
The phosphatase PHLPP1 regulates Akt2, promotes pancreatic cancer cell death, and inhibits tumor formation.磷酸酶 PHLPP1 调控 Akt2,促进胰腺癌细胞死亡,并抑制肿瘤形成。
Gastroenterology. 2012 Feb;142(2):377-87.e1-5. doi: 10.1053/j.gastro.2011.10.026. Epub 2011 Oct 29.
10
PHLiPPing the switch on Akt and protein kinase C signaling.开启Akt和蛋白激酶C信号通路的转换。
Trends Endocrinol Metab. 2008 Aug;19(6):223-30. doi: 10.1016/j.tem.2008.04.001. Epub 2008 May 27.

引用本文的文献

1
Integrative Genomic and Transcriptomic Analysis Reveals Targetable Vulnerabilities in Angioimmunoblastic T-Cell Lymphoma.综合基因组和转录组分析揭示血管免疫母细胞性T细胞淋巴瘤中可靶向的脆弱性。
Am J Hematol. 2025 Sep;100(9):1486-1501. doi: 10.1002/ajh.27736. Epub 2025 Jun 13.
2
Exosomes derived from colorectal cancer cells take part in activation of stromal fibroblasts through regulating PHLPP isoforms.源自结肠直肠癌细胞的外泌体通过调节PHLPP亚型参与基质成纤维细胞的激活。
EXCLI J. 2024 May 2;23:634-654. doi: 10.17179/excli2024-6926. eCollection 2024.
3
Inhibition of mitochondrial fission activates glycogen synthesis to support cell survival in colon cancer.

本文引用的文献

1
The phosphatase PHLPP controls the cellular levels of protein kinase C.磷酸酶PHLPP控制蛋白激酶C的细胞水平。
J Biol Chem. 2008 Mar 7;283(10):6300-11. doi: 10.1074/jbc.M707319200. Epub 2007 Dec 27.
2
Gene expression patterns of human colon tops and basal crypts and BMP antagonists as intestinal stem cell niche factors.人类结肠顶部和隐窝基部的基因表达模式以及作为肠道干细胞生态位因子的骨形态发生蛋白拮抗剂
Proc Natl Acad Sci U S A. 2007 Sep 25;104(39):15418-23. doi: 10.1073/pnas.0707210104. Epub 2007 Sep 19.
3
Parallels between global transcriptional programs of polarizing Caco-2 intestinal epithelial cells in vitro and gene expression programs in normal colon and colon cancer.
线粒体分裂的抑制激活糖原合成以支持结肠癌细胞的存活。
Cell Death Dis. 2023 Oct 10;14(10):664. doi: 10.1038/s41419-023-06202-3.
4
PHLPP2: A Prognostic Biomarker in Adenocarcinoma of the Rectum.PHLPP2:直肠腺癌的预后生物标志物。
Turk J Gastroenterol. 2023 Oct;34(10):1099-1106. doi: 10.5152/tjg.2023.23189.
5
Emerging roles of PHLPP phosphatases in lung cancer.PHLPP磷酸酶在肺癌中的新作用。
Front Oncol. 2023 Jul 27;13:1216131. doi: 10.3389/fonc.2023.1216131. eCollection 2023.
6
Loss of pleckstrin homology domain and leucine-rich repeat protein phosphatase 2 has protective effects on high glucose-injured retinal ganglion cells via the effect on the Akt-GSK-3β-Nrf2 pathway.含pleckstrin同源结构域和富含亮氨酸重复序列蛋白磷酸酶2的缺失通过对Akt-GSK-3β-Nrf2信号通路的影响对高糖损伤的视网膜神经节细胞具有保护作用。
Inflamm Res. 2023 Mar;72(3):373-385. doi: 10.1007/s00011-022-01680-1. Epub 2022 Dec 23.
7
The mutational dynamics of short tandem repeats in large, multigenerational families.大片段、多代家族中短串联重复序列的突变动态。
Genome Biol. 2022 Dec 12;23(1):253. doi: 10.1186/s13059-022-02818-4.
8
PHLPP Signaling in Immune Cells.PHLPP 信号在免疫细胞中的作用。
Curr Top Microbiol Immunol. 2022;436:117-143. doi: 10.1007/978-3-031-06566-8_5.
9
Circular RNA circRASSF5 Functions as an Anti-Oncogenic Factor in Hepatocellular Carcinoma by Acting as a Competitive Endogenous RNA Through Sponging miR-331-3p.环状RNA circRASSF5通过充当竞争性内源性RNA海绵吸附miR-331-3p,在肝细胞癌中发挥抑癌因子的作用。
J Hepatocell Carcinoma. 2022 Oct 4;9:1041-1056. doi: 10.2147/JHC.S376063. eCollection 2022.
10
The Curcumin Analog Da0324 Inhibits the Proliferation of Gastric Cancer Cells HOTAIRM1/miR-29b-1-5p/PHLPP1 Axis.姜黄素类似物Da0324抑制胃癌细胞中HOTAIRM1/miR-29b-1-5p/PHLPP1轴的增殖。
J Cancer. 2022 May 16;13(8):2644-2655. doi: 10.7150/jca.69970. eCollection 2022.
体外极化Caco-2肠上皮细胞的全局转录程序与正常结肠和结肠癌中的基因表达程序之间的相似性。
Mol Biol Cell. 2007 Nov;18(11):4245-60. doi: 10.1091/mbc.e07-04-0309. Epub 2007 Aug 15.
4
AKT/PKB signaling: navigating downstream.AKT/蛋白激酶B信号传导:下游通路解析
Cell. 2007 Jun 29;129(7):1261-74. doi: 10.1016/j.cell.2007.06.009.
5
Metastatic potential of 21T human breast cancer cells depends on Akt/protein kinase B activation.21T人乳腺癌细胞的转移潜能取决于Akt/蛋白激酶B的激活。
Cancer Res. 2007 Jun 1;67(11):5293-9. doi: 10.1158/0008-5472.CAN-07-0877.
6
PHLPP and a second isoform, PHLPP2, differentially attenuate the amplitude of Akt signaling by regulating distinct Akt isoforms.PHLPP及第二种同种型PHLPP2通过调节不同的Akt同种型来差异性地减弱Akt信号传导的幅度。
Mol Cell. 2007 Mar 23;25(6):917-31. doi: 10.1016/j.molcel.2007.02.017.
7
Akt1 ablation inhibits, whereas Akt2 ablation accelerates, the development of mammary adenocarcinomas in mouse mammary tumor virus (MMTV)-ErbB2/neu and MMTV-polyoma middle T transgenic mice.在小鼠乳腺肿瘤病毒(MMTV)-ErbB2/neu和MMTV-多瘤病毒中间T抗原转基因小鼠中,Akt1基因敲除会抑制乳腺腺癌的发展,而Akt2基因敲除则会加速其发展。
Cancer Res. 2007 Jan 1;67(1):167-77. doi: 10.1158/0008-5472.CAN-06-3782.
8
Prognostic role of p27Kip1 deregulation in colorectal cancer.p27Kip1 失调在结直肠癌中的预后作用
Cancer. 2006 Aug 15;107(4):668-75. doi: 10.1002/cncr.22073.
9
The tuberous sclerosis genes and regulation of the cyclin-dependent kinase inhibitor p27.结节性硬化症基因与细胞周期蛋白依赖性激酶抑制剂p27的调控
Mutat Res. 2006 Sep;613(1):10-6. doi: 10.1016/j.mrrev.2006.03.001. Epub 2006 May 18.
10
Akt blocks breast cancer cell motility and invasion through the transcription factor NFAT.蛋白激酶B通过转录因子活化T细胞核因子阻断乳腺癌细胞的运动和侵袭。
Mol Cell. 2005 Nov 23;20(4):539-50. doi: 10.1016/j.molcel.2005.10.033.