• 文献检索
  • 文档翻译
  • 深度研究
  • 学术资讯
  • Suppr Zotero 插件Zotero 插件
  • 邀请有礼
  • 套餐&价格
  • 历史记录
应用&插件
Suppr Zotero 插件Zotero 插件浏览器插件Mac 客户端Windows 客户端微信小程序
定价
高级版会员购买积分包购买API积分包
服务
文献检索文档翻译深度研究API 文档MCP 服务
关于我们
关于 Suppr公司介绍联系我们用户协议隐私条款
关注我们

Suppr 超能文献

核心技术专利:CN118964589B侵权必究
粤ICP备2023148730 号-1Suppr @ 2026

文献检索

告别复杂PubMed语法,用中文像聊天一样搜索,搜遍4000万医学文献。AI智能推荐,让科研检索更轻松。

立即免费搜索

文件翻译

保留排版,准确专业,支持PDF/Word/PPT等文件格式,支持 12+语言互译。

免费翻译文档

深度研究

AI帮你快速写综述,25分钟生成高质量综述,智能提取关键信息,辅助科研写作。

立即免费体验

一种不同于肠肌间神经丛细胞(ICC)且存在于人类肠道肌层中的间质细胞类型的组织化学和超微结构特征。

Histochemical and ultrastructural characteristics of an interstitial cell type different from ICC and resident in the muscle coat of human gut.

作者信息

Pieri Laura, Vannucchi Maria Giuliana, Faussone-Pellegrini Maria Simonetta

机构信息

Department of Anatomy, Histology and Forensic Medicine, University of Florence, Florence, Italy.

出版信息

J Cell Mol Med. 2008 Oct;12(5B):1944-55. doi: 10.1111/j.1582-4934.2008.00461.x.

DOI:10.1111/j.1582-4934.2008.00461.x
PMID:19145703
原文链接:https://pmc.ncbi.nlm.nih.gov/articles/PMC4506162/
Abstract

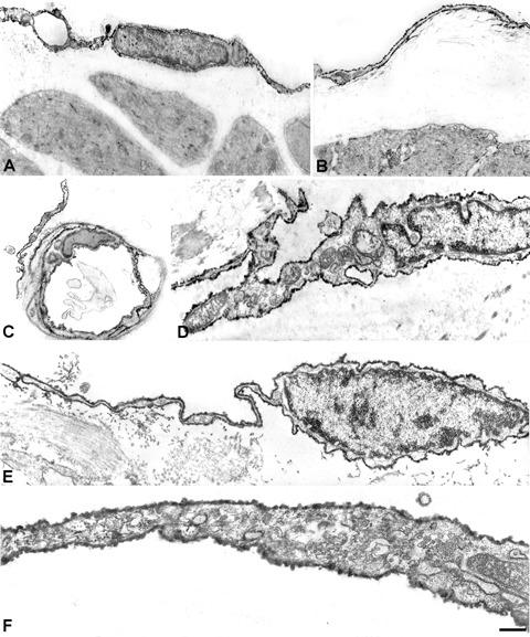
CD117 (or c-kit) is expressed by the interstitial cells of Cajal (ICC), which are located within the gastrointestinal (GI) muscle coat and directly involved in its motility. CD34 is expressed by several cell types some of which have features and location resembling the ICC; however, a sure identification of these cells is still lacking. In order to establish whether the CD34-positive cells of the human GI tract are to be considered as ICC subpopulation or a novel independent cell type, and to hypothesize their nature and role, we verified CD34 and CD117 receptor expression under light and fluorescence microscope and performed a routine and a CD34-immuno-electron microscopy. CD34-positive cells were seen in the entire human GI tract. In the muscularis propria, shared morphologies similar to the c-kit-positive cells, in the submucosa, resembled fibroblasts. Their ultrastructure resembled that of the fibrocytes/fibroblasts and of the interstitial Cajal-like cells (ICLC). Double labelling and immunoelectro-microscopy demonstrated that they are unequivocally different to the ICC and, due to the similarities with the ICLC, we identified them as ICLC. The novelty of these results is that two types of interstitial cells are present in the GI muscle coat of humans: the ICC and the ICLC. We hypothesize a mechanical role for the septal ICLC, those at the myenteric plexus level and those bordering the muscle layers; a helping role in neurotransmission is proposed for the ICLC intercalated with the intramuscular ICC, possibly in spreading the slow waves generated by the ICC. Furthermore, the possibility that the ICLC represent the adult mesenchymal stromal cells able to guarantee the ICC renewal deserves to be considered.

摘要

CD117(或c-kit)由位于胃肠道肌层内且直接参与其蠕动的 Cajal 间质细胞(ICC)表达。CD34 由几种细胞类型表达,其中一些细胞具有与 ICC 相似的特征和位置;然而,仍缺乏对这些细胞的确切鉴定。为了确定人类胃肠道中 CD34 阳性细胞是应被视为 ICC 亚群还是一种新的独立细胞类型,并推测它们的性质和作用,我们在光学显微镜和荧光显微镜下验证了 CD34 和 CD117 受体的表达,并进行了常规和 CD34 免疫电子显微镜检查。在整个人类胃肠道中均可见到 CD34 阳性细胞。在固有肌层中,其形态与 c-kit 阳性细胞相似,在黏膜下层则类似于成纤维细胞。它们的超微结构类似于纤维细胞/成纤维细胞和间质 Cajal 样细胞(ICLC)。双重标记和免疫电子显微镜表明它们与 ICC 明显不同,并且由于与 ICLC 相似,我们将它们鉴定为 ICLC。这些结果的新颖之处在于人类胃肠道肌层中存在两种类型的间质细胞:ICC 和 ICLC。我们推测隔膜 ICLC、肌间神经丛水平的 ICLC 以及与肌层相邻的 ICLC 具有机械作用;对于与肌内 ICC 相间的 ICLC,提出其在神经传递中起辅助作用,可能是在传播由 ICC 产生的慢波。此外,ICLC 代表能够保证 ICC 更新的成年间充质基质细胞这一可能性值得考虑。

https://cdn.ncbi.nlm.nih.gov/pmc/blobs/ef24/4506162/f49d4142849d/jcmm0012-1944-f6.jpg
https://cdn.ncbi.nlm.nih.gov/pmc/blobs/ef24/4506162/228f37adf1d3/jcmm0012-1944-f1.jpg
https://cdn.ncbi.nlm.nih.gov/pmc/blobs/ef24/4506162/d8ea1b0cbdf3/jcmm0012-1944-f2.jpg
https://cdn.ncbi.nlm.nih.gov/pmc/blobs/ef24/4506162/cf8c4a787050/jcmm0012-1944-f3.jpg
https://cdn.ncbi.nlm.nih.gov/pmc/blobs/ef24/4506162/fbdba28154b6/jcmm0012-1944-f4.jpg
https://cdn.ncbi.nlm.nih.gov/pmc/blobs/ef24/4506162/4190720226fd/jcmm0012-1944-f5.jpg
https://cdn.ncbi.nlm.nih.gov/pmc/blobs/ef24/4506162/f49d4142849d/jcmm0012-1944-f6.jpg
https://cdn.ncbi.nlm.nih.gov/pmc/blobs/ef24/4506162/228f37adf1d3/jcmm0012-1944-f1.jpg
https://cdn.ncbi.nlm.nih.gov/pmc/blobs/ef24/4506162/d8ea1b0cbdf3/jcmm0012-1944-f2.jpg
https://cdn.ncbi.nlm.nih.gov/pmc/blobs/ef24/4506162/cf8c4a787050/jcmm0012-1944-f3.jpg
https://cdn.ncbi.nlm.nih.gov/pmc/blobs/ef24/4506162/fbdba28154b6/jcmm0012-1944-f4.jpg
https://cdn.ncbi.nlm.nih.gov/pmc/blobs/ef24/4506162/4190720226fd/jcmm0012-1944-f5.jpg
https://cdn.ncbi.nlm.nih.gov/pmc/blobs/ef24/4506162/f49d4142849d/jcmm0012-1944-f6.jpg

相似文献

1
Histochemical and ultrastructural characteristics of an interstitial cell type different from ICC and resident in the muscle coat of human gut.一种不同于肠肌间神经丛细胞(ICC)且存在于人类肠道肌层中的间质细胞类型的组织化学和超微结构特征。
J Cell Mol Med. 2008 Oct;12(5B):1944-55. doi: 10.1111/j.1582-4934.2008.00461.x.
2
Telocytes express PDGFRα in the human gastrointestinal tract.间质细胞在人类胃肠道中表达 PDGFRα。
J Cell Mol Med. 2013 Sep;17(9):1099-108. doi: 10.1111/jcmm.12134.
3
Interstitial Cajal-like cells in rat mesentery: an ultrastructural and immunohistochemical approach.大鼠肠系膜中的间质 Cajal 样细胞:超微结构和免疫组织化学研究方法
J Cell Mol Med. 2008 Jan-Feb;12(1):260-70. doi: 10.1111/j.1582-4934.2008.00226.x. Epub 2007 Jan 9.
4
Novel type of interstitial cell (Cajal-like) in human fallopian tube.人输卵管中的新型间质细胞(类 Cajal 细胞)
J Cell Mol Med. 2005 Apr-Jun;9(2):479-523. doi: 10.1111/j.1582-4934.2005.tb00376.x.
5
Interstitial cells of Cajal (ICC) and gastrointestinal stromal tumor (GIST): facts, speculations, and myths.Cajal间质细胞(ICC)与胃肠道间质瘤(GIST):事实、推测与误解
J Cell Mol Med. 2006 Oct-Dec;10(4):995-1013. doi: 10.1111/j.1582-4934.2006.tb00541.x.
6
Gastrointestinal stromal tumors may originate from a subset of CD34-positive interstitial cells of Cajal.胃肠道间质瘤可能起源于一部分CD34阳性的卡哈尔间质细胞。
Am J Pathol. 2000 Apr;156(4):1157-63. doi: 10.1016/S0002-9440(10)64984-X.
7
Loss of CD117 (c-kit)- and CD34-positive ICC and associated CD34-positive fibroblasts defines a subpopulation of chronic intestinal pseudo-obstruction.CD117(c-kit)和CD34阳性的肠肌间神经丛细胞(ICC)以及相关CD34阳性成纤维细胞的缺失定义了慢性肠道假性梗阻的一个亚群。
Am J Surg Pathol. 2003 Feb;27(2):228-35. doi: 10.1097/00000478-200302000-00012.
8
The interstitial cells of Cajal of the rat stomach. A light and electron microscope study.大鼠胃的 Cajal 间质细胞。光镜和电镜研究。
Ital J Anat Embryol. 1995;100 Suppl 1:385-92.
9
Gastrointestinal stromal tumor: an ultrastructural investigation on regional differences with considerations on their histogenesis.胃肠道间质瘤:关于区域差异的超微结构研究及其组织发生学思考
Ultrastruct Pathol. 2010 May;34(3):174-88. doi: 10.3109/01913121003689075.
10
CD34+ cells in human intestine are fibroblasts adjacent to, but distinct from, interstitial cells of Cajal.人类肠道中的CD34+细胞是与 Cajal 间质细胞相邻但不同的成纤维细胞。
Lab Invest. 1999 Jan;79(1):59-65.

引用本文的文献

1
Transcriptomic and Histological Characterization of Telocytes in the Human Dorsal Root Ganglion.人背根神经节中泰勒细胞的转录组学和组织学特征
J Comp Neurol. 2025 Mar;533(3):e70044. doi: 10.1002/cne.70044.
2
Telocytes in inflammatory bowel diseases: contributions to pathology and therapeutic potentials.炎症性肠病中的间充质干细胞:对病理学的贡献及治疗潜力
Front Cell Dev Biol. 2025 Jan 13;12:1452258. doi: 10.3389/fcell.2024.1452258. eCollection 2024.
3
Transcriptomic and histological characterization of telocytes in the human dorsal root ganglion.

本文引用的文献

1
Apoptotic cell death of human interstitial cells of Cajal.人Cajal间质细胞的凋亡性细胞死亡。
Neurogastroenterol Motil. 2009 Jan;21(1):85-93. doi: 10.1111/j.1365-2982.2008.01185.x. Epub 2008 Sep 16.
2
Roles of interstitial cells of Cajal in regulating gastrointestinal motility: in vitro versus in vivo studies.Cajal间质细胞在调节胃肠动力中的作用:体外研究与体内研究
J Cell Mol Med. 2008 Aug;12(4):1118-29. doi: 10.1111/j.1582-4934.2008.00352.x. Epub 2008 Apr 18.
3
Progenitor cells of interstitial cells of Cajal: on the road to tissue repair.
人背根神经节中终末细胞的转录组学和组织学特征
bioRxiv. 2024 Sep 24:2024.09.24.614693. doi: 10.1101/2024.09.24.614693.
4
Ca dynamics in interstitial cells: foundational mechanisms for the motor patterns in the gastrointestinal tract.细胞间隙钙动力学:胃肠道运动模式的基础机制。
Physiol Rev. 2024 Jan 1;104(1):329-398. doi: 10.1152/physrev.00036.2022. Epub 2023 Aug 10.
5
Synthesis and Physiological Remodeling of CD34 Cells in the Skin following the Reversal of Fibrosis through Intensive Treatment for Lower Limb Lymphedema: A Case Report.下肢淋巴水肿强化治疗后皮肤中CD34细胞的合成与生理重塑:一例报告
Dermatopathology (Basel). 2023 Mar 9;10(1):104-111. doi: 10.3390/dermatopathology10010016.
6
Smooth muscle cells, interstitial cells and neurons in the gallbladder (GB): Functional syncytium of electrical rhythmicity and GB motility (Review).胆囊中的平滑肌细胞、间质细胞和神经元(GB):电节律和 GB 运动的功能性合胞体(综述)。
Int J Mol Med. 2023 Apr;51(4). doi: 10.3892/ijmm.2023.5236. Epub 2023 Mar 17.
7
Distributions of Platelet-Derived Growth Factor Receptor-α Positive Cells and Interstitial Cells of Cajal in the Colon of Rats with Diabetes Mellitus Type 2.2 型糖尿病大鼠结肠中血小板衍生生长因子受体-α阳性细胞和 Cajal 间质细胞的分布。
Medicina (Kaunas). 2023 Feb 7;59(2):308. doi: 10.3390/medicina59020308.
8
Telocytes in Fibrosis Diseases: From Current Findings to Future Clinical Perspectives.纤维化疾病中的 Telocytes:从现有发现到未来的临床展望。
Cell Transplant. 2022 Jan-Dec;31:9636897221105252. doi: 10.1177/09636897221105252.
9
Telocytes and Lymphatics of the Human Colon.人类结肠的间充质干细胞和淋巴管
Life (Basel). 2021 Sep 23;11(10):1001. doi: 10.3390/life11101001.
10
Morphological Evidence of Telocytes in Skeletal Muscle Interstitium of Exercised and Sedentary Rodents.运动和久坐啮齿动物骨骼肌间质中telocytes的形态学证据。
Biomedicines. 2021 Jul 13;9(7):807. doi: 10.3390/biomedicines9070807.
Cajal间质细胞的祖细胞:通往组织修复之路
Gastroenterology. 2008 Apr;134(4):1252-4. doi: 10.1053/j.gastro.2008.02.074.
4
Progenitors of interstitial cells of cajal in the postnatal murine stomach.出生后小鼠胃中卡哈尔间质细胞的祖细胞。
Gastroenterology. 2008 Apr;134(4):1083-93. doi: 10.1053/j.gastro.2008.01.036. Epub 2008 Jan 18.
5
Interstitial Cajal-like cells in rat mesentery: an ultrastructural and immunohistochemical approach.大鼠肠系膜中的间质 Cajal 样细胞:超微结构和免疫组织化学研究方法
J Cell Mol Med. 2008 Jan-Feb;12(1):260-70. doi: 10.1111/j.1582-4934.2008.00226.x. Epub 2007 Jan 9.
6
Human placenta: de visu demonstration of interstitial Cajal-like cells.人胎盘:间质性 Cajal 样细胞的直观展示。
J Cell Mol Med. 2007 May-Jun;11(3):590-7. doi: 10.1111/j.1582-4934.2007.00058.x.
7
Morphology of the interstitial cells of Cajal of the human ileum from foetal to neonatal life.从胎儿期到新生儿期人类回肠中Cajal间质细胞的形态学
J Cell Mol Med. 2007 May-Jun;11(3):482-94. doi: 10.1111/j.1582-4934.2007.00043.x.
8
Interstitial Cajal-like cells in human gallbladder.人类胆囊中的间质 Cajal 样细胞。
J Mol Histol. 2007 Aug;38(4):275-84. doi: 10.1007/s10735-007-9099-0. Epub 2007 May 31.
9
Interstitial Cajal-like cells in human uterus and fallopian tube.人子宫和输卵管中的间质 Cajal 样细胞。
Ann N Y Acad Sci. 2007 Apr;1101:139-65. doi: 10.1196/annals.1389.022. Epub 2007 Mar 14.
10
Interstitial cells of Cajal in health and disease. Part II: ICC and gastrointestinal stromal tumours.健康与疾病状态下的 Cajal 间质细胞。第二部分:Cajal 间质细胞与胃肠道间质瘤。
Histopathology. 2007 Jan;50(2):190-202. doi: 10.1111/j.1365-2559.2006.02497.x.