• 文献检索
  • 文档翻译
  • 深度研究
  • 学术资讯
  • Suppr Zotero 插件Zotero 插件
  • 邀请有礼
  • 套餐&价格
  • 历史记录
应用&插件
Suppr Zotero 插件Zotero 插件浏览器插件Mac 客户端Windows 客户端微信小程序
定价
高级版会员购买积分包购买API积分包
服务
文献检索文档翻译深度研究API 文档MCP 服务
关于我们
关于 Suppr公司介绍联系我们用户协议隐私条款
关注我们

Suppr 超能文献

核心技术专利:CN118964589B侵权必究
粤ICP备2023148730 号-1Suppr @ 2026

文献检索

告别复杂PubMed语法,用中文像聊天一样搜索,搜遍4000万医学文献。AI智能推荐,让科研检索更轻松。

立即免费搜索

文件翻译

保留排版,准确专业,支持PDF/Word/PPT等文件格式,支持 12+语言互译。

免费翻译文档

深度研究

AI帮你快速写综述,25分钟生成高质量综述,智能提取关键信息,辅助科研写作。

立即免费体验

源自小鼠腹侧吻端后脑的原代神经球的特征分析

Characterization of primary neurospheres generated from mouse ventral rostral hindbrain.

作者信息

Osterberg Nadja, Roussa Eleni

机构信息

Department for Neuroanatomy, Georg-August-University Goettingen, Kreuzbergring 36, 37075, Goettingen, Germany.

出版信息

Cell Tissue Res. 2009 Apr;336(1):11-20. doi: 10.1007/s00441-008-0743-0. Epub 2009 Feb 18.

DOI:10.1007/s00441-008-0743-0
PMID:19224248
原文链接:https://pmc.ncbi.nlm.nih.gov/articles/PMC2714903/
Abstract

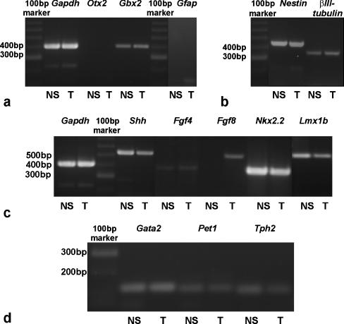
Serotonergic (5-HT) neurons of the reticular formation play a key role in the modulation of behavior, and their dysfunction is associated with severe neurological and psychiatric disorders, such as depression and schizophrenia. However, the molecular mechanisms underlying the differentiation of the progenitor cells and the specification of the 5-HT phenotype are not fully understood. A primary neurosphere cell-culture system from mouse ventral rostral hindbrain at embryonic day 12 was therefore established. The generated primary neurospheres comprised progenitor cells and fully differentiated neurons. Bromodeoxyuridine incorporation experiments in combination with immunocytochemistry for neural markers revealed the proliferation capacity of the neural multipotent hindbrain progenitors within neurospheres and their ability to differentiate toward the neuronal lineage and serotonergic phenotype. Gene expression analysis by reverse transcription with the polymerase chain reaction showed that the neurospheres were regionally specified, as reflected by the expression of the transcription factors Gata2 and Pet1. Treatment of dissociated primary neurospheres with exogenous Shh significantly increased the number of 5-HT-immunopositive cells compared with controls, whereas neutralization of endogenous Shh significantly decreased the number of 5-HT neurons. Thus, the primary neurosphere culture system presented here allows the expansion of hindbrain progenitor cells and the experimental control of their differentiation toward the serotonergic phenotype. This culture system is therefore a useful model for in vitro studies dealing with the development of 5-HT neurons.

摘要

网状结构的5-羟色胺能(5-HT)神经元在行为调节中起关键作用,其功能障碍与严重的神经和精神疾病相关,如抑郁症和精神分裂症。然而,祖细胞分化和5-HT表型特化的分子机制尚未完全明确。因此,建立了来自胚胎第12天小鼠腹侧延髓后脑的原代神经球细胞培养系统。所产生的原代神经球包含祖细胞和完全分化的神经元。将溴脱氧尿苷掺入实验与神经标志物的免疫细胞化学相结合,揭示了神经球内神经多能后脑祖细胞的增殖能力及其向神经元谱系和5-羟色胺能表型分化的能力。通过聚合酶链反应逆转录进行的基因表达分析表明,神经球在区域上是特化的,这通过转录因子Gata2和Pet1的表达得以体现。与对照组相比,用外源性Shh处理解离的原代神经球显著增加了5-HT免疫阳性细胞的数量,而中和内源性Shh则显著减少了5-HT神经元的数量。因此,本文介绍的原代神经球培养系统能够扩增后脑祖细胞,并对其向5-羟色胺能表型的分化进行实验控制。所以,该培养系统是用于研究5-HT神经元发育的体外研究的有用模型。

https://cdn.ncbi.nlm.nih.gov/pmc/blobs/c4d6/2714903/0849f16efc3a/441_2008_743_Fig5_HTML.jpg
https://cdn.ncbi.nlm.nih.gov/pmc/blobs/c4d6/2714903/46dc913004d2/441_2008_743_Fig1_HTML.jpg
https://cdn.ncbi.nlm.nih.gov/pmc/blobs/c4d6/2714903/8a35588cc623/441_2008_743_Fig2_HTML.jpg
https://cdn.ncbi.nlm.nih.gov/pmc/blobs/c4d6/2714903/ac7677a36e56/441_2008_743_Fig3_HTML.jpg
https://cdn.ncbi.nlm.nih.gov/pmc/blobs/c4d6/2714903/4d53a87e2a66/441_2008_743_Fig4_HTML.jpg
https://cdn.ncbi.nlm.nih.gov/pmc/blobs/c4d6/2714903/0849f16efc3a/441_2008_743_Fig5_HTML.jpg
https://cdn.ncbi.nlm.nih.gov/pmc/blobs/c4d6/2714903/46dc913004d2/441_2008_743_Fig1_HTML.jpg
https://cdn.ncbi.nlm.nih.gov/pmc/blobs/c4d6/2714903/8a35588cc623/441_2008_743_Fig2_HTML.jpg
https://cdn.ncbi.nlm.nih.gov/pmc/blobs/c4d6/2714903/ac7677a36e56/441_2008_743_Fig3_HTML.jpg
https://cdn.ncbi.nlm.nih.gov/pmc/blobs/c4d6/2714903/4d53a87e2a66/441_2008_743_Fig4_HTML.jpg
https://cdn.ncbi.nlm.nih.gov/pmc/blobs/c4d6/2714903/0849f16efc3a/441_2008_743_Fig5_HTML.jpg

相似文献

1
Characterization of primary neurospheres generated from mouse ventral rostral hindbrain.源自小鼠腹侧吻端后脑的原代神经球的特征分析
Cell Tissue Res. 2009 Apr;336(1):11-20. doi: 10.1007/s00441-008-0743-0. Epub 2009 Feb 18.
2
Generation of caudal-type serotonin neurons and hindbrain-fate organoids from hPSCs.从人多能干细胞生成尾型 5-羟色胺神经元和后脑命运类器官。
Stem Cell Reports. 2021 Aug 10;16(8):1938-1952. doi: 10.1016/j.stemcr.2021.06.006. Epub 2021 Jul 8.
3
Gata2 specifies serotonergic neurons downstream of sonic hedgehog.Gata2在音猬因子下游指定5-羟色胺能神经元。
Development. 2004 Mar;131(5):1165-73. doi: 10.1242/dev.01024.
4
A new role of hindbrain boundaries as pools of neural stem/progenitor cells regulated by Sox2.后脑边界作为由Sox2调控的神经干细胞/祖细胞池的新作用。
BMC Biol. 2016 Jul 8;14:57. doi: 10.1186/s12915-016-0277-y.
5
Growth hormone promotes proliferation of adult neurosphere cultures.生长激素可促进成体神经球培养物的增殖。
Growth Horm IGF Res. 2009 Jun;19(3):212-8. doi: 10.1016/j.ghir.2008.09.003. Epub 2008 Oct 30.
6
Glial commitment of mesencephalic neural precursor cells expanded as neurospheres precludes their engagement in niche-dependent dopaminergic neurogenesis.神经球扩增的中脑神经前体细胞的神经胶质分化使其无法参与依赖龛的多巴胺能神经发生。
Stem Cells Dev. 2012 May 1;21(7):1047-58. doi: 10.1089/scd.2011.0241. Epub 2011 Jul 6.
7
Generation of Schwann cell-derived multipotent neurospheres isolated from intact sciatic nerve.从完整的坐骨神经中分离出雪旺细胞来源的多能神经球的生成。
Stem Cell Rev Rep. 2012 Dec;8(4):1178-87. doi: 10.1007/s12015-012-9387-2.
8
Requirement for neurogenesis to proceed through the division of neuronal progenitors following differentiation of epidermal growth factor and fibroblast growth factor-2-responsive human neural stem cells.在表皮生长因子和成纤维细胞生长因子-2反应性人类神经干细胞分化后,神经发生需要通过神经元祖细胞的分裂来进行。
Stem Cells. 2004;22(5):798-811. doi: 10.1634/stemcells.22-5-798.
9
TGF-β Signaling Regulates Development of Midbrain Dopaminergic and Hindbrain Serotonergic Neuron Subgroups.TGF-β 信号通路调控中脑多巴胺能神经元和后脑 5-羟色胺能神经元亚群的发育。
Neuroscience. 2018 Jun 15;381:124-137. doi: 10.1016/j.neuroscience.2018.04.019. Epub 2018 Apr 22.
10
Insm1 (IA-1) is an essential component of the regulatory network that specifies monoaminergic neuronal phenotypes in the vertebrate hindbrain.Insm1(IA-1)是脊椎动物后脑单胺能神经元表型特化调控网络的重要组成部分。
Development. 2009 Jul;136(14):2477-85. doi: 10.1242/dev.034546.

引用本文的文献

1
Modeling Schizophrenia In Vitro: Challenges and Insights on Studying Brain Cells.在体模拟精神分裂症:研究脑细胞的挑战与启示。
Adv Exp Med Biol. 2022;1400:35-51. doi: 10.1007/978-3-030-97182-3_3.
2
Generation of High-Yield, Functional Oligodendrocytes from a c- Immortalized Neural Cell Line, Endowed with Staminal Properties.从具有干细胞特性的永生化神经细胞系中高效生成功能性少突胶质细胞。
Int J Mol Sci. 2021 Jan 23;22(3):1124. doi: 10.3390/ijms22031124.
3
Neural stem cells deriving from chick embryonic hindbrain recapitulate hindbrain development in culture.

本文引用的文献

1
Neurosphere-derived neural cells show region-specific behaviour in vitro.源自神经球的神经细胞在体外表现出区域特异性行为。
Neuroreport. 2007 Oct 8;18(15):1539-42. doi: 10.1097/WNR.0b013e3282f03d54.
2
Lmx1b is required for maintenance of central serotonergic neurons and mice lacking central serotonergic system exhibit normal locomotor activity.Lmx1b是维持中枢5-羟色胺能神经元所必需的,缺乏中枢5-羟色胺能系统的小鼠表现出正常的运动活性。
J Neurosci. 2006 Dec 6;26(49):12781-8. doi: 10.1523/JNEUROSCI.4143-06.2006.
3
Transforming growth factor beta is required for differentiation of mouse mesencephalic progenitors into dopaminergic neurons in vitro and in vivo: ectopic induction in dorsal mesencephalon.
鸡胚后脑来源的神经干细胞在培养中再现后脑发育。
Sci Rep. 2018 Sep 17;8(1):13920. doi: 10.1038/s41598-018-32203-w.
4
Inhibition of APP gamma-secretase restores Sonic Hedgehog signaling and neurogenesis in the Ts65Dn mouse model of Down syndrome.抑制淀粉样前体蛋白(APP)γ-分泌酶可恢复唐氏综合征Ts65Dn小鼠模型中的音猬因子(Sonic Hedgehog)信号传导和神经发生。
Neurobiol Dis. 2015 Oct;82:385-396. doi: 10.1016/j.nbd.2015.08.001. Epub 2015 Aug 5.
转化生长因子β是小鼠中脑祖细胞在体外和体内分化为多巴胺能神经元所必需的:在中脑背侧的异位诱导
Stem Cells. 2006 Sep;24(9):2120-9. doi: 10.1634/stemcells.2005-0514. Epub 2006 Jun 1.
4
Loss-of-function mutation in tryptophan hydroxylase-2 identified in unipolar major depression.在单相重度抑郁症中发现色氨酸羟化酶-2功能丧失突变。
Neuron. 2005 Jan 6;45(1):11-6. doi: 10.1016/j.neuron.2004.12.014.
5
Ascl1/Mash1 is required for the development of central serotonergic neurons.Ascl1/Mash1是中枢5-羟色胺能神经元发育所必需的。
Nat Neurosci. 2004 Jun;7(6):589-95. doi: 10.1038/nn1247. Epub 2004 May 9.
6
Gata2 specifies serotonergic neurons downstream of sonic hedgehog.Gata2在音猬因子下游指定5-羟色胺能神经元。
Development. 2004 Mar;131(5):1165-73. doi: 10.1242/dev.01024.
7
Lmx1b, Pet-1, and Nkx2.2 coordinately specify serotonergic neurotransmitter phenotype.Lmx1b、Pet-1和Nkx2.2共同决定5-羟色胺能神经递质表型。
J Neurosci. 2003 Nov 5;23(31):9961-7. doi: 10.1523/JNEUROSCI.23-31-09961.2003.
8
Location and size of dopaminergic and serotonergic cell populations are controlled by the position of the midbrain-hindbrain organizer.多巴胺能和5-羟色胺能细胞群的位置和大小由中脑-后脑组织者的位置控制。
J Neurosci. 2003 May 15;23(10):4199-207. doi: 10.1523/JNEUROSCI.23-10-04199.2003.
9
Coordinated temporal and spatial control of motor neuron and serotonergic neuron generation from a common pool of CNS progenitors.来自中枢神经系统祖细胞共同库的运动神经元和5-羟色胺能神经元生成的协调时空控制。
Genes Dev. 2003 Mar 15;17(6):729-37. doi: 10.1101/gad.255803.
10
Regional specification of neurosphere cultures derived from subregions of the embryonic telencephalon.源自胚胎端脑亚区域的神经球培养物的区域特化。
Mol Cell Neurosci. 2002 Dec;21(4):645-56. doi: 10.1006/mcne.2002.1204.