• 文献检索
  • 文档翻译
  • 深度研究
  • 学术资讯
  • Suppr Zotero 插件Zotero 插件
  • 邀请有礼
  • 套餐&价格
  • 历史记录
应用&插件
Suppr Zotero 插件Zotero 插件浏览器插件Mac 客户端Windows 客户端微信小程序
定价
高级版会员购买积分包购买API积分包
服务
文献检索文档翻译深度研究API 文档MCP 服务
关于我们
关于 Suppr公司介绍联系我们用户协议隐私条款
关注我们

Suppr 超能文献

核心技术专利:CN118964589B侵权必究
粤ICP备2023148730 号-1Suppr @ 2026

文献检索

告别复杂PubMed语法,用中文像聊天一样搜索,搜遍4000万医学文献。AI智能推荐,让科研检索更轻松。

立即免费搜索

文件翻译

保留排版,准确专业,支持PDF/Word/PPT等文件格式,支持 12+语言互译。

免费翻译文档

深度研究

AI帮你快速写综述,25分钟生成高质量综述,智能提取关键信息,辅助科研写作。

立即免费体验

磷脂酶Cγ2在整合素和Fc受体介导的中性粒细胞功能以及自身免疫性关节炎效应阶段中的关键作用

Critical role of phospholipase Cgamma2 in integrin and Fc receptor-mediated neutrophil functions and the effector phase of autoimmune arthritis.

作者信息

Jakus Zoltán, Simon Edina, Frommhold David, Sperandio Markus, Mócsai Attila

机构信息

Department of Physiology, Semmelweis University School of Medicine, 1094 Budapest, Hungary.

出版信息

J Exp Med. 2009 Mar 16;206(3):577-93. doi: 10.1084/jem.20081859. Epub 2009 Mar 9.

DOI:10.1084/jem.20081859
PMID:19273622
原文链接:https://pmc.ncbi.nlm.nih.gov/articles/PMC2699137/
Abstract

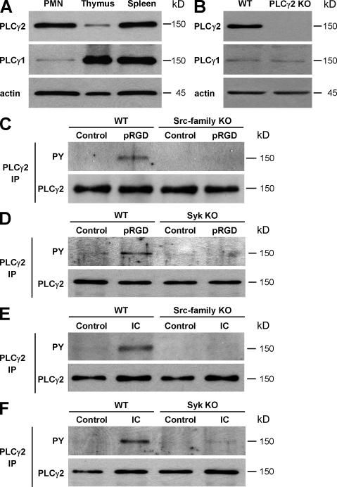
beta(2) integrins and Fcgamma receptors are critically involved in neutrophil activation at the site of inflammation. Both receptor types trigger a receptor-proximal tyrosine phosphorylation cascade through Src family kinases and Syk, but further downstream signaling events are poorly understood. We show that phospholipase C (PLC) gamma2 is phosphorylated downstream of Src family kinases and Syk during integrin or Fc receptor-mediated activation of neutrophils. PLCgamma2(-/-) neutrophils are completely defective in beta(2) integrin or Fcgamma receptor-mediated functional responses such as respiratory burst, degranulation, or cell spreading in vitro and show reduced adhesion/spreading in inflamed capillary venules in vivo. However, PLCgamma2(-/-) neutrophils respond normally to various other agonists, including chemokines, bacterial formyl peptides, Toll-like receptor ligands, or proinflammatory cytokines, and migrate normally both in vitro and in vivo. To confirm the in vivo relevance of these observations, the effect of the PLCgamma2(-/-) mutation was tested in the K/BxN serum transfer arthritis model, which is known to require beta(2) integrins, Fcgamma receptors, and neutrophils. PLCgamma2 deficiency completely protected mice from clinical signs and histological features of arthritis as well as from arthritis-induced loss of articular function. These results identify PLCgamma2 as a critical player of integrin and Fc receptor-mediated neutrophil functions and the neutrophil-mediated effector phase of autoimmune arthritis.

摘要

β(2)整合素和Fcγ受体在炎症部位的中性粒细胞激活过程中起着关键作用。这两种受体类型均通过Src家族激酶和Syk触发受体近端酪氨酸磷酸化级联反应,但对下游更远端的信号事件了解甚少。我们发现,在整合素或Fc受体介导的中性粒细胞激活过程中,磷脂酶C(PLC)γ2在Src家族激酶和Syk的下游被磷酸化。PLCγ2(-/-)中性粒细胞在β(2)整合素或Fcγ受体介导的功能反应中完全缺陷,如体外呼吸爆发、脱颗粒或细胞铺展,并在体内炎症毛细血管小静脉中显示出黏附/铺展减少。然而,PLCγ2(-/-)中性粒细胞对各种其他激动剂,包括趋化因子、细菌甲酰肽、Toll样受体配体或促炎细胞因子,反应正常,并且在体外和体内均能正常迁移。为了证实这些观察结果在体内的相关性,在已知需要β(2)整合素、Fcγ受体和中性粒细胞的K/BxN血清转移关节炎模型中测试了PLCγ2(-/-)突变的影响。PLCγ2缺陷使小鼠完全免受关节炎的临床症状和组织学特征以及关节炎引起的关节功能丧失的影响。这些结果确定PLCγ2是整合素和Fc受体介导的中性粒细胞功能以及自身免疫性关节炎中性粒细胞介导的效应阶段的关键参与者。

https://cdn.ncbi.nlm.nih.gov/pmc/blobs/7dea/2699137/08184896f22a/JEM_20081859R_RGB_Fig8.jpg
https://cdn.ncbi.nlm.nih.gov/pmc/blobs/7dea/2699137/e3c8570c5ade/JEM_20081859_GS_Fig1.jpg
https://cdn.ncbi.nlm.nih.gov/pmc/blobs/7dea/2699137/3214f014fa6a/JEM_20081859_RGB_Fig2.jpg
https://cdn.ncbi.nlm.nih.gov/pmc/blobs/7dea/2699137/2b21eae1b23f/JEM_20081859R_GS_Fig3.jpg
https://cdn.ncbi.nlm.nih.gov/pmc/blobs/7dea/2699137/957de1b17b48/JEM_20081859_RGB_Fig4.jpg
https://cdn.ncbi.nlm.nih.gov/pmc/blobs/7dea/2699137/68f26220129e/JEM_20081859_RGB_Fig5.jpg
https://cdn.ncbi.nlm.nih.gov/pmc/blobs/7dea/2699137/666ef2f0956a/JEM_20081859R_LW_Fig6.jpg
https://cdn.ncbi.nlm.nih.gov/pmc/blobs/7dea/2699137/9ab8daf366cf/JEM_20081859_RGB_Fig7.jpg
https://cdn.ncbi.nlm.nih.gov/pmc/blobs/7dea/2699137/08184896f22a/JEM_20081859R_RGB_Fig8.jpg
https://cdn.ncbi.nlm.nih.gov/pmc/blobs/7dea/2699137/e3c8570c5ade/JEM_20081859_GS_Fig1.jpg
https://cdn.ncbi.nlm.nih.gov/pmc/blobs/7dea/2699137/3214f014fa6a/JEM_20081859_RGB_Fig2.jpg
https://cdn.ncbi.nlm.nih.gov/pmc/blobs/7dea/2699137/2b21eae1b23f/JEM_20081859R_GS_Fig3.jpg
https://cdn.ncbi.nlm.nih.gov/pmc/blobs/7dea/2699137/957de1b17b48/JEM_20081859_RGB_Fig4.jpg
https://cdn.ncbi.nlm.nih.gov/pmc/blobs/7dea/2699137/68f26220129e/JEM_20081859_RGB_Fig5.jpg
https://cdn.ncbi.nlm.nih.gov/pmc/blobs/7dea/2699137/666ef2f0956a/JEM_20081859R_LW_Fig6.jpg
https://cdn.ncbi.nlm.nih.gov/pmc/blobs/7dea/2699137/9ab8daf366cf/JEM_20081859_RGB_Fig7.jpg
https://cdn.ncbi.nlm.nih.gov/pmc/blobs/7dea/2699137/08184896f22a/JEM_20081859R_RGB_Fig8.jpg

相似文献

1
Critical role of phospholipase Cgamma2 in integrin and Fc receptor-mediated neutrophil functions and the effector phase of autoimmune arthritis.磷脂酶Cγ2在整合素和Fc受体介导的中性粒细胞功能以及自身免疫性关节炎效应阶段中的关键作用
J Exp Med. 2009 Mar 16;206(3):577-93. doi: 10.1084/jem.20081859. Epub 2009 Mar 9.
2
Vav/Phospholipase Cgamma2-mediated control of a neutrophil-dependent murine model of rheumatoid arthritis.Vav/磷脂酶Cγ2介导的对类风湿性关节炎中性粒细胞依赖性小鼠模型的调控
Arthritis Rheum. 2008 Sep;58(9):2712-22. doi: 10.1002/art.23757.
3
Tyrosine kinase Btk regulates E-selectin-mediated integrin activation and neutrophil recruitment by controlling phospholipase C (PLC) gamma2 and PI3Kgamma pathways.酪氨酸激酶 Btk 通过调控磷脂酶 C(PLC)γ2 和 PI3Kγ 通路调节 E-选择素介导的整合素激活和中性粒细胞募集。
Blood. 2010 Apr 15;115(15):3118-27. doi: 10.1182/blood-2009-11-254185. Epub 2010 Feb 18.
4
The Vav binding site of the non-receptor tyrosine kinase Syk at Tyr 348 is critical for beta2 integrin (CD11/CD18)-mediated neutrophil migration.非受体酪氨酸激酶Syk在酪氨酸348处的Vav结合位点对于β2整合素(CD11/CD18)介导的中性粒细胞迁移至关重要。
Blood. 2006 Dec 1;108(12):3919-27. doi: 10.1182/blood-2005-12-030387. Epub 2006 Aug 1.
5
Signaling through CD16b in human neutrophils involves the Tec family of tyrosine kinases.人类中性粒细胞中通过CD16b的信号传导涉及酪氨酸激酶的Tec家族。
J Leukoc Biol. 2005 Aug;78(2):524-32. doi: 10.1189/jlb.0804479. Epub 2005 May 17.
6
Deficiency of Src family kinases p59/61hck and p58c-fgr results in defective adhesion-dependent neutrophil functions.Src家族激酶p59/61hck和p58c-fgr的缺乏会导致依赖黏附的中性粒细胞功能缺陷。
J Cell Biol. 1996 May;133(4):895-910. doi: 10.1083/jcb.133.4.895.
7
The alpha2beta1 integrin is a necessary co-receptor for collagen-induced activation of Syk and the subsequent phosphorylation of phospholipase Cgamma2 in platelets.α2β1整合素是血小板中胶原蛋白诱导Syk激活以及随后磷脂酶Cγ2磷酸化所必需的共受体。
J Biol Chem. 1996 Oct 25;271(43):26668-76.
8
Syk is required for integrin signaling in neutrophils.Syk是中性粒细胞整合素信号传导所必需的。
Immunity. 2002 Apr;16(4):547-58. doi: 10.1016/s1074-7613(02)00303-5.
9
Reprint of Neutrophil cell surface receptors and their intracellular signal transduction pathways.《中性粒细胞细胞表面受体及其细胞内信号转导途径》重印版
Int Immunopharmacol. 2013 Dec;17(4):1185-97. doi: 10.1016/j.intimp.2013.11.010. Epub 2013 Nov 18.
10
Identification of FcgammaRIIa as the ITAM-bearing receptor mediating alphaIIbbeta3 outside-in integrin signaling in human platelets.鉴定FcγRIIa为在人血小板中介导αIIbβ3外向整合素信号传导的含免疫受体酪氨酸激活基序的受体。
Blood. 2008 Oct 1;112(7):2780-6. doi: 10.1182/blood-2008-02-142125. Epub 2008 Jul 18.

引用本文的文献

1
PLCγ2 controls neutrophil-like cell sensitivity through calcium oscillation and gates chemoattractant concentration range for chemotaxis.磷脂酶Cγ2通过钙振荡控制中性粒细胞样细胞的敏感性,并为趋化作用设定趋化因子浓度范围。
Front Immunol. 2025 Aug 1;16:1633390. doi: 10.3389/fimmu.2025.1633390. eCollection 2025.
2
PLCG2 modulates TREM2 expression and signaling in response to Alzheimer's disease pathology.磷脂酶Cγ2(PLCG2)可调节触发受体表达和信号传导,以应对阿尔茨海默病病理变化。
Alzheimers Dement. 2025 May;21(5):e70231. doi: 10.1002/alz.70231.
3
STIM1/2 maintain signaling competence at ER-PM contact sites during neutrophil spreading.

本文引用的文献

1
Phospholipase Cgamma2 is necessary for separation of blood and lymphatic vasculature in mice.磷脂酶Cγ2对小鼠血液和淋巴管系统的分离是必需的。
Development. 2009 Jan;136(2):191-5. doi: 10.1242/dev.025353. Epub 2008 Dec 4.
2
Phospholipase Cgamma2 mediates RANKL-stimulated lymph node organogenesis and osteoclastogenesis.磷脂酶Cγ2介导RANKL刺激的淋巴结器官发生和破骨细胞生成。
J Biol Chem. 2008 Oct 24;283(43):29593-601. doi: 10.1074/jbc.M802493200. Epub 2008 Aug 26.
3
rac regulates its effector phospholipase Cgamma2 through interaction with a split pleckstrin homology domain.
在中性粒细胞铺展过程中,STIM1/2在内质网-质膜接触位点维持信号传导能力。
J Cell Biol. 2025 May 5;224(5). doi: 10.1083/jcb.202406053. Epub 2025 Mar 21.
4
Uptake of small extracellular vesicles by recipient cells is facilitated by paracrine adhesion signaling.旁分泌黏附信号促进受体细胞对小细胞外囊泡的摄取。
Nat Commun. 2025 Mar 12;16(1):2419. doi: 10.1038/s41467-025-57617-9.
5
Time-restricted feeding alleviates arthritis symptoms augmented by high-fat diet.限时进食可缓解高脂饮食加剧的关节炎症状。
Front Immunol. 2025 Feb 13;16:1512328. doi: 10.3389/fimmu.2025.1512328. eCollection 2025.
6
Unveiling Differential Responses of Granulocytes to Distinct Immunostimulants with Implications in Autoimmune Uveitis.揭示粒细胞对不同免疫刺激剂的差异反应及其在自身免疫性葡萄膜炎中的意义。
Biomedicines. 2023 Dec 20;12(1):19. doi: 10.3390/biomedicines12010019.
7
The selective inhibition of the Syk tyrosine kinase ameliorates experimental autoimmune arthritis.选择性抑制 Syk 酪氨酸激酶可改善实验性自身免疫性关节炎。
Front Immunol. 2023 Dec 4;14:1279155. doi: 10.3389/fimmu.2023.1279155. eCollection 2023.
8
A subset of type-II collagen-binding antibodies prevents experimental arthritis by inhibiting FCGR3 signaling in neutrophils.Ⅱ型胶原结合抗体亚类通过抑制中性粒细胞中 FCGR3 信号转导预防实验性关节炎。
Nat Commun. 2023 Sep 23;14(1):5949. doi: 10.1038/s41467-023-41561-7.
9
Single-Cell Analysis of ADSC Interactions with Fibroblasts and Endothelial Cells in Scleroderma Skin.硬皮病皮肤中脂肪间充质干细胞与成纤维细胞和内皮细胞的相互作用的单细胞分析。
Cells. 2023 Jul 5;12(13):1784. doi: 10.3390/cells12131784.
10
Lacking ARHGAP25 mitigates the symptoms of autoantibody-induced arthritis in mice.缺乏 ARHGAP25 可减轻自身抗体诱导关节炎小鼠的症状。
Front Immunol. 2023 May 10;14:1182278. doi: 10.3389/fimmu.2023.1182278. eCollection 2023.
Rac通过与一个分裂的普列克底物蛋白同源结构域相互作用来调节其效应物磷脂酶Cγ2。
J Biol Chem. 2008 Oct 31;283(44):30351-62. doi: 10.1074/jbc.M803316200. Epub 2008 Aug 26.
4
Developmental neuronal death in hippocampus requires the microglial CD11b integrin and DAP12 immunoreceptor.海马体中发育性神经元死亡需要小胶质细胞的CD11b整合素和DAP12免疫受体。
J Neurosci. 2008 Aug 6;28(32):8138-43. doi: 10.1523/JNEUROSCI.1006-08.2008.
5
Sialyltransferase ST3Gal-IV controls CXCR2-mediated firm leukocyte arrest during inflammation.唾液酸转移酶ST3Gal-IV在炎症过程中控制CXCR2介导的白细胞牢固黏附。
J Exp Med. 2008 Jun 9;205(6):1435-46. doi: 10.1084/jem.20070846. Epub 2008 Jun 2.
6
Destructive arthritis in the absence of both FcgammaRI and FcgammaRIII.在缺乏FcγRI和FcγRIII的情况下出现的破坏性关节炎。
J Immunol. 2008 Apr 1;180(7):5083-91. doi: 10.4049/jimmunol.180.7.5083.
7
Critical but overlapping role of FcgammaRIII and FcgammaRIV in activation of murine neutrophils by immobilized immune complexes.FcγRIII和FcγRIV在固定化免疫复合物激活小鼠中性粒细胞中的关键但重叠作用
J Immunol. 2008 Jan 1;180(1):618-29. doi: 10.4049/jimmunol.180.1.618.
8
Spleen tyrosine kinase Syk is critical for sustained leukocyte adhesion during inflammation in vivo.脾酪氨酸激酶Syk对于体内炎症期间白细胞的持续黏附至关重要。
BMC Immunol. 2007 Nov 28;8:31. doi: 10.1186/1471-2172-8-31.
9
Mast cell deficiency in Kit(W-sh) mice does not impair antibody-mediated arthritis.Kit(W-sh)小鼠中的肥大细胞缺陷不会损害抗体介导的关节炎。
J Exp Med. 2007 Nov 26;204(12):2797-802. doi: 10.1084/jem.20071391. Epub 2007 Nov 6.
10
An ITAM-signaling pathway controls cross-presentation of particulate but not soluble antigens in dendritic cells.免疫受体酪氨酸激活基序(ITAM)信号通路控制树突状细胞中颗粒性抗原而非可溶性抗原的交叉呈递。
J Exp Med. 2007 Nov 26;204(12):2889-97. doi: 10.1084/jem.20071283. Epub 2007 Nov 5.