• 文献检索
  • 文档翻译
  • 深度研究
  • 学术资讯
  • Suppr Zotero 插件Zotero 插件
  • 邀请有礼
  • 套餐&价格
  • 历史记录
应用&插件
Suppr Zotero 插件Zotero 插件浏览器插件Mac 客户端Windows 客户端微信小程序
定价
高级版会员购买积分包购买API积分包
服务
文献检索文档翻译深度研究API 文档MCP 服务
关于我们
关于 Suppr公司介绍联系我们用户协议隐私条款
关注我们

Suppr 超能文献

核心技术专利:CN118964589B侵权必究
粤ICP备2023148730 号-1Suppr @ 2026

文献检索

告别复杂PubMed语法,用中文像聊天一样搜索,搜遍4000万医学文献。AI智能推荐,让科研检索更轻松。

立即免费搜索

文件翻译

保留排版,准确专业,支持PDF/Word/PPT等文件格式,支持 12+语言互译。

免费翻译文档

深度研究

AI帮你快速写综述,25分钟生成高质量综述,智能提取关键信息,辅助科研写作。

立即免费体验

乙型肝炎表面抗原在肝细胞癌发生发展中的作用:淋巴样增强子结合因子1的调控

Role of hepatitis B surface antigen in the development of hepatocellular carcinoma: regulation of lymphoid enhancer-binding factor 1.

作者信息

Tian Xiaochen, Li Jinjun, Ma Zhang-Mei, Zhao Chao, Wan Da-Fang, Wen Yu-Mei

机构信息

Key Laboratory of Medical Molecular Virology, Shanghai Medical College, Fudan University, Shanghai, PR China.

出版信息

J Exp Clin Cancer Res. 2009 Apr 29;28(1):58. doi: 10.1186/1756-9966-28-58.

DOI:10.1186/1756-9966-28-58
PMID:19402906
原文链接:https://pmc.ncbi.nlm.nih.gov/articles/PMC2678988/
Abstract

BACKGROUND

There are around 350 million of hepatitis B surface antigen (HBsAg) carriers worldwide, and among them, high risk of developing hepatocellular carcinoma (HCC) has been identified by epidemiological studies. To date, the molecular role of HBsAg in HCC development has not been fully studied. We have previously reported that in cell cultures, HBsAg up-regulated the expression of lymphoid enhancer-binding factor 1 (LEF-1), a key component of the Wnt pathway. In this study we aimed to study this effect of HBsAg on LEF-1 in the development of HCC.

METHODS

Expression of HBsAg, LEF-1 and its downstream effector genes were compared among 30 HCCs, their peritumor tissue counterparts and 9 normal control liver tissues by quantitative real-time PCR. In addition, immunohistochemical staining studies on HBsAg and LEF-1 expression were conducted among these samples.

RESULTS

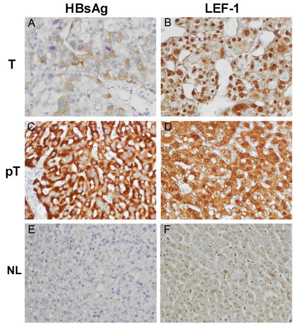
The expression of LEF-1 was compared between 13 HBsAg positive HCC tissues and 17 HBsAg negative HCC tissues. Simultaneous detection of LEF-1 and HBsAg was observed in HBsAg positive HCC tissues and, additionally, the simultaneous detection of HBsAg and LEF-1 was more pronounced in peritumor tissues, compared to that in the tumor tissues. The distribution of cellular LEF-1 in peritumor tissues was predominantly in the cytoplasm; while LEF-1 in the tumor tissues was located either exclusively in the nucleus or both in the nucleus and cytoplasm. By real-time PCR, the expression levels of LEF-1 downstream effector genes cyclin D1 and c-myc were higher in peritumor cells compared to that of the tumor cells. However, a 38 kDa truncated isoform of LEF-1, rather than the 55 kDa wild-type LEF-1, was significantly elevated in the HBsAg positive tumor cells.

CONCLUSION

Data indicate that deregulation of the Wnt pathway by HBsAg occurred in HBV-associated HCCs, but was more pronounced in the peritumor cells. It is speculated that HBsAg could stimulate proliferation and functional modification of hepatocytes via LEF-1 through the Wnt pathway at the pre-malignant stage.

摘要

背景

全球约有3.5亿乙肝表面抗原(HBsAg)携带者,流行病学研究已确定他们患肝细胞癌(HCC)的风险很高。迄今为止,HBsAg在HCC发生发展中的分子作用尚未得到充分研究。我们之前报道过,在细胞培养中,HBsAg上调了淋巴样增强子结合因子1(LEF-1)的表达,LEF-1是Wnt信号通路的关键组成部分。在本研究中,我们旨在研究HBsAg对LEF-1在HCC发生发展中的影响。

方法

通过定量实时PCR比较30例HCC及其癌旁组织对应物和9例正常对照肝组织中HBsAg、LEF-1及其下游效应基因的表达。此外,对这些样本进行了HBsAg和LEF-1表达的免疫组化染色研究。

结果

比较了13例HBsAg阳性HCC组织和17例HBsAg阴性HCC组织中LEF-1的表达。在HBsAg阳性HCC组织中观察到LEF-1和HBsAg的同时检测,此外,与肿瘤组织相比,癌旁组织中HBsAg和LEF-1的同时检测更为明显。细胞LEF-1在癌旁组织中的分布主要在细胞质中;而肿瘤组织中的LEF-1要么仅位于细胞核中,要么同时位于细胞核和细胞质中。通过实时PCR,与肿瘤细胞相比,癌旁细胞中LEF-1下游效应基因细胞周期蛋白D1和c-myc的表达水平更高。然而,在HBsAg阳性肿瘤细胞中,显著升高的是38 kDa截短异构体的LEF-1,而非55 kDa野生型LEF-1。

结论

数据表明,HBsAg对Wnt信号通路的失调发生在HBV相关的HCC中,但在癌旁细胞中更为明显。推测HBsAg可在癌前阶段通过Wnt信号通路经LEF-1刺激肝细胞的增殖和功能改变。

https://cdn.ncbi.nlm.nih.gov/pmc/blobs/f9e9/2678988/78b27c531aca/1756-9966-28-58-4.jpg
https://cdn.ncbi.nlm.nih.gov/pmc/blobs/f9e9/2678988/4f99a616ee2f/1756-9966-28-58-1.jpg
https://cdn.ncbi.nlm.nih.gov/pmc/blobs/f9e9/2678988/5c2332fba4a3/1756-9966-28-58-2.jpg
https://cdn.ncbi.nlm.nih.gov/pmc/blobs/f9e9/2678988/06820c2073ef/1756-9966-28-58-3.jpg
https://cdn.ncbi.nlm.nih.gov/pmc/blobs/f9e9/2678988/78b27c531aca/1756-9966-28-58-4.jpg
https://cdn.ncbi.nlm.nih.gov/pmc/blobs/f9e9/2678988/4f99a616ee2f/1756-9966-28-58-1.jpg
https://cdn.ncbi.nlm.nih.gov/pmc/blobs/f9e9/2678988/5c2332fba4a3/1756-9966-28-58-2.jpg
https://cdn.ncbi.nlm.nih.gov/pmc/blobs/f9e9/2678988/06820c2073ef/1756-9966-28-58-3.jpg
https://cdn.ncbi.nlm.nih.gov/pmc/blobs/f9e9/2678988/78b27c531aca/1756-9966-28-58-4.jpg

相似文献

1
Role of hepatitis B surface antigen in the development of hepatocellular carcinoma: regulation of lymphoid enhancer-binding factor 1.乙型肝炎表面抗原在肝细胞癌发生发展中的作用:淋巴样增强子结合因子1的调控
J Exp Clin Cancer Res. 2009 Apr 29;28(1):58. doi: 10.1186/1756-9966-28-58.
2
Coordinated expression of cyclin D1 and LEF-1/TCF transcription factor is restricted to a subset of hepatocellular carcinoma.细胞周期蛋白D1与LEF-1/TCF转录因子的协同表达仅限于一部分肝细胞癌。
Liver Int. 2005 Aug;25(4):839-47. doi: 10.1111/j.1478-3231.2005.01069.x.
3
Expression of transforming growth factor-alpha and hepatitis B surface antigen in human hepatocellular carcinoma tissues and its significance.转化生长因子-α及乙型肝炎表面抗原在人肝细胞癌组织中的表达及其意义
World J Gastroenterol. 2004 Mar 15;10(6):830-3. doi: 10.3748/wjg.v10.i6.830.
4
HBsAg/β2GPI activates the NF‑κB pathway via the TLR4/MyD88/IκBα axis in hepatocellular carcinoma.HBsAg/β2GPI 通过 TLR4/MyD88/IκBα 轴激活肝癌中的 NF-κB 通路。
Oncol Rep. 2018 Aug;40(2):1035-1045. doi: 10.3892/or.2018.6507. Epub 2018 Jun 19.
5
Aberrant expression and function of TCF4 in the proliferation of hepatocellular carcinoma cell line BEL-7402.TCF4在肝癌细胞系BEL-7402增殖中的异常表达及功能
Cell Res. 2004 Feb;14(1):74-80. doi: 10.1038/sj.cr.7290205.
6
Significance of hepatitis B virus surface antigen, hepatitis C virus expression in hepatocellular carcinoma and pericarcinomatous tissues.乙型肝炎病毒表面抗原、丙型肝炎病毒在肝细胞癌及癌旁组织中的表达意义。
World J Gastroenterol. 2007 Mar 28;13(12):1870-4. doi: 10.3748/wjg.v13.i12.1870.
7
Methylprednisolone suppresses the Wnt signaling pathway in chronic lymphocytic leukemia cell line MEC-1 regulated by LEF-1 expression.甲泼尼龙抑制由LEF-1表达调控的慢性淋巴细胞白血病细胞系MEC-1中的Wnt信号通路。
Int J Clin Exp Pathol. 2015 Jul 1;8(7):7921-8. eCollection 2015.
8
Lef-1 isoforms regulate different target genes and reduce cellular adhesion.Lef-1 异构体调节不同的靶基因并减少细胞黏附。
Int J Cancer. 2010 Mar 1;126(5):1109-20. doi: 10.1002/ijc.24802.
9
HBsAg-negative hepatitis B virus infections in hepatitis C virus-associated hepatocellular carcinoma.丙型肝炎病毒相关肝细胞癌中的乙肝表面抗原阴性乙肝病毒感染
J Viral Hepat. 2005 May;12(3):325-9. doi: 10.1111/j.1365-2893.2005.00586.x.
10
Hepatic expression of oncogenes Bmi1 and Dkk1 is up-regulated in hepatitis B virus surface antigen-transgenic mice and can be induced by treatment with HBV particles or lipopolysaccharides in vitro.乙型肝炎病毒表面抗原转基因小鼠的肝组织中癌基因 Bmi1 和 Dkk1 的表达上调,并且在体外可以通过 HBV 颗粒或脂多糖的处理诱导其表达。
Int J Cancer. 2017 Jul 15;141(2):354-363. doi: 10.1002/ijc.30742. Epub 2017 May 8.

引用本文的文献

1
Hepatitis B surface antigen: carcinogenesis mechanisms and clinical implications in hepatocellular carcinoma.乙型肝炎表面抗原:在肝细胞癌中的致癌机制及临床意义
Exp Hematol Oncol. 2025 Mar 26;14(1):44. doi: 10.1186/s40164-025-00642-7.
2
Wnt Pathway-Targeted Therapy in Gastrointestinal Cancers: Integrating Benchside Insights with Bedside Applications.胃肠道癌症中的Wnt信号通路靶向治疗:将实验室见解与临床应用相结合
Cells. 2025 Jan 24;14(3):178. doi: 10.3390/cells14030178.
3
Comparative Proteomic Analysis of Huh7 Cells Transfected with Sub-Saharan African Hepatitis B Virus (Sub)genotypes Reveals Potential Oncogenic Factors.

本文引用的文献

1
COOH-terminal truncated HBV X protein plays key role in hepatocarcinogenesis.羧基末端截短的乙肝病毒X蛋白在肝癌发生过程中起关键作用。
Clin Cancer Res. 2008 Aug 15;14(16):5061-8. doi: 10.1158/1078-0432.CCR-07-5082.
2
Common dysregulation of Wnt/Frizzled receptor elements in human hepatocellular carcinoma.人类肝细胞癌中Wnt/Frizzled受体元件的常见失调
Br J Cancer. 2008 Jul 8;99(1):143-50. doi: 10.1038/sj.bjc.6604422. Epub 2008 Jun 24.
3
Proteomic analysis of cellular protein alterations using a hepatitis B virus-producing cellular model.
撒哈拉以南非洲乙型肝炎病毒(亚)基因型转染 Huh7 细胞的比较蛋白质组学分析揭示潜在的致癌因素。
Viruses. 2024 Jun 29;16(7):1052. doi: 10.3390/v16071052.
4
Wnt/β-Catenin signaling pathway in hepatocellular carcinoma: pathogenic role and therapeutic target.肝细胞癌中的Wnt/β-连环蛋白信号通路:致病作用与治疗靶点
Front Oncol. 2024 Apr 2;14:1367364. doi: 10.3389/fonc.2024.1367364. eCollection 2024.
5
ZMIZ2 facilitates hepatocellular carcinoma progression via LEF1 mediated activation of Wnt/β-catenin pathway.ZMIZ2通过LEF1介导的Wnt/β-连环蛋白信号通路激活促进肝细胞癌进展。
Exp Hematol Oncol. 2024 Jan 22;13(1):5. doi: 10.1186/s40164-024-00475-w.
6
Infectious Agents Induce Wnt/β-Catenin Pathway Deregulation in Primary Liver Cancers.感染因子导致原发性肝癌中Wnt/β-连环蛋白信号通路失调。
Microorganisms. 2023 Jun 22;11(7):1632. doi: 10.3390/microorganisms11071632.
7
Canonical WNT Signaling Activated by WNT7B Contributes to L-HBs-Mediated Sorafenib Resistance in Hepatocellular Carcinoma by Inhibiting Mitophagy.由WNT7B激活的经典WNT信号通路通过抑制线粒体自噬促进L-HBs介导的肝癌索拉非尼耐药。
Cancers (Basel). 2022 Nov 24;14(23):5781. doi: 10.3390/cancers14235781.
8
Wnt signaling in liver regeneration, disease, and cancer.Wnt 信号在肝脏再生、疾病和癌症中的作用。
Clin Mol Hepatol. 2023 Jan;29(1):33-50. doi: 10.3350/cmh.2022.0058. Epub 2022 Jul 4.
9
Molecular pathways in viral hepatitis-associated liver carcinogenesis: An update.病毒性肝炎相关肝癌发生的分子途径:最新进展
World J Clin Cases. 2021 Jul 6;9(19):4890-4917. doi: 10.12998/wjcc.v9.i19.4890.
10
Immunotherapy for Hepatocellular Carcinoma: A 2021 Update.肝细胞癌的免疫治疗:2021年最新进展
Cancers (Basel). 2020 Oct 4;12(10):2859. doi: 10.3390/cancers12102859.
利用乙型肝炎病毒产生细胞模型对细胞蛋白质改变进行蛋白质组学分析。
Proteomics. 2008 May;8(10):2012-23. doi: 10.1002/pmic.200700849.
4
Gene-expression profiles of a hepatitis B small surface antigen-secreting cell line reveal upregulation of lymphoid enhancer-binding factor 1.一种分泌乙型肝炎小表面抗原的细胞系的基因表达谱显示淋巴样增强子结合因子1上调。
J Gen Virol. 2007 Nov;88(Pt 11):2966-2976. doi: 10.1099/vir.0.83108-0.
5
The hepatitis B virus protein MHBs(t) sensitizes hepatoma cells to TRAIL-induced apoptosis through ERK2.乙肝病毒蛋白MHBs(t)通过ERK2使肝癌细胞对TRAIL诱导的凋亡敏感。
Apoptosis. 2007 Oct;12(10):1827-36. doi: 10.1007/s10495-007-0114-4.
6
Hepatitis B virus-induced oncogenesis.乙型肝炎病毒诱导的肿瘤发生。
World J Gastroenterol. 2007 Jan 7;13(1):74-81. doi: 10.3748/wjg.v13.i1.74.
7
Hepatitis B virus pre-S mutants, endoplasmic reticulum stress and hepatocarcinogenesis.乙型肝炎病毒前S区突变体、内质网应激与肝癌发生
Cancer Sci. 2006 Aug;97(8):683-8. doi: 10.1111/j.1349-7006.2006.00235.x.
8
Hepatitis B virus infection: current status.乙型肝炎病毒感染:现状
Am J Med. 2005 Dec;118(12):1413. doi: 10.1016/j.amjmed.2005.06.021.
9
Wnt/Frizzled signaling in hepatocellular carcinoma.肝细胞癌中的Wnt/Frizzled信号传导
Front Biosci. 2006 May 1;11:1901-15. doi: 10.2741/1933.
10
Erk associates with and primes GSK-3beta for its inactivation resulting in upregulation of beta-catenin.Erk与GSK-3β结合并使其磷酸化从而导致其失活,进而引起β-连环蛋白的上调。
Mol Cell. 2005 Jul 22;19(2):159-70. doi: 10.1016/j.molcel.2005.06.009.