Suppr超能文献

谷胱甘肽在肌红蛋白尿性急性肾衰竭动物模型中的作用。

Role of glutathione in an animal model of myoglobinuric acute renal failure.

作者信息

Abul-Ezz S R, Walker P D, Shah S V

机构信息

Tulane University School of Medicine, Department of Medicine, New Orleans, LA 70112.

出版信息

Proc Natl Acad Sci U S A. 1991 Nov 1;88(21):9833-7. doi: 10.1073/pnas.88.21.9833.

Abstract

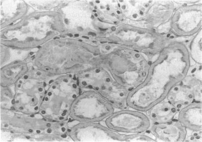
In a previous study we have shown a role for reactive oxygen metabolites in glycerol-induced acute renal failure, a well-established model for myoglobinuric acute renal failure. In the present study we examined the role of glutathione in this model of acute renal failure. Administration of 50% (vol/vol) glycerol at a dose of 10 ml/kg of body weight to rats intramuscularly resulted in significant renal failure associated with depletion of total kidney glutathione (GSH) from 2.6 +/- 0.1 mumol/g (mean +/- SEM control level) to 1.7 +/- 0.1 mumol/g after 6 hr (P less than 0.001). If GSH were important in glycerol-induced acute renal failure, one would anticipate that exogenously administered GSH should afford protection, while injury should be potentiated if endogenous GSH is depleted. We examined the effect of i.p. administration of L-buthionine-(S,R)-sulfoximine (BSO) at 2 mmol/kg (which results in depletion of kidney GSH) and the effect of increasing renal GSH by i.v. administration of reduced GSH (2 mmol/kg every 3 hr) on kidney function in glycerol-treated rats. Glycerol-injected rats treated with BSO showed significantly worse renal failure than did rats given glycerol alone, while administration of GSH resulted in significant amelioration of glycerol-induced acute renal failure [glycerol treatment alone, blood urea nitrogen (BUN) = 96 +/- 10 and creatinine = 2.5 +/- 0.4 mg/dl; BSO + glycerol treatment, BUN = 123 +/- 7 and creatinine = 3.5 +/- 0.1 mg/dl (n = 9, P less than 0.05); GSH + glycerol treatment, BUN = 78 +/- 10 and creatinine = 1.25 +/- 0.2 mg/dl (n = 8, P less than 0.05)]. In separate experiments 1,3-bis(chloroethyl)-1-nitrosourea (BCNU) [which interferes with the enzyme GSH reductase and prevents recycling of oxidized GSH (GSSG) into GSH] resulted in worsening of glycerol-induced acute renal failure similar to that produced by BSO. These functional differences between GSH-depleted and GSH-repleted rats were further substantiated by significant histological differences in tubular injury. Taken together, these results provide evidence for an important role of GSH in glycerol-induced acute renal failure.

摘要

在先前的一项研究中,我们已经表明活性氧代谢产物在甘油诱导的急性肾衰竭中发挥作用,甘油诱导的急性肾衰竭是肌红蛋白尿性急性肾衰竭的一个成熟模型。在本研究中,我们研究了谷胱甘肽在该急性肾衰竭模型中的作用。给大鼠肌肉注射剂量为10 ml/kg体重的50%(体积/体积)甘油,会导致显著的肾衰竭,同时肾脏总谷胱甘肽(GSH)从2.6±0.1 μmol/g(平均±标准误,为对照水平)在6小时后降至1.7±0.1 μmol/g(P<0.001)。如果GSH在甘油诱导的急性肾衰竭中起重要作用,那么可以预期外源性给予GSH应能提供保护,而如果内源性GSH被耗尽,损伤应会加重。我们研究了腹腔注射2 mmol/kg的L-丁硫氨酸-(S,R)-亚砜亚胺(BSO)(这会导致肾脏GSH耗尽)的效果,以及通过静脉注射还原型GSH(每3小时2 mmol/kg)增加肾脏GSH对甘油处理大鼠肾功能的影响。用BSO处理的甘油注射大鼠显示出比仅给予甘油的大鼠更严重的肾衰竭,而给予GSH则导致甘油诱导的急性肾衰竭显著改善[仅甘油处理组,血尿素氮(BUN)=96±10,肌酐=2.5±0.4 mg/dl;BSO+甘油处理组,BUN=123±7,肌酐=3.5±0.1 mg/dl(n=9,P<0.05);GSH+甘油处理组,BUN=78±10,肌酐=1.25±0.2 mg/dl(n=8,P<0.05)]。在单独的实验中,1,3-双(氯乙基)-1-亚硝基脲(BCNU)[它会干扰谷胱甘肽还原酶并阻止氧化型谷胱甘肽(GSSG)再循环为GSH]导致甘油诱导的急性肾衰竭恶化程度与BSO产生的类似。肾小管损伤的显著组织学差异进一步证实了GSH耗尽和GSH补充的大鼠之间的这些功能差异。综上所述,这些结果为GSH在甘油诱导的急性肾衰竭中起重要作用提供了证据。

https://cdn.ncbi.nlm.nih.gov/pmc/blobs/c203/52815/ab3e200db7af/pnas01071-0469-a.jpg

文献检索

告别复杂PubMed语法,用中文像聊天一样搜索,搜遍4000万医学文献。AI智能推荐,让科研检索更轻松。

立即免费搜索

文件翻译

保留排版,准确专业,支持PDF/Word/PPT等文件格式,支持 12+语言互译。

免费翻译文档

深度研究

AI帮你快速写综述,25分钟生成高质量综述,智能提取关键信息,辅助科研写作。

立即免费体验