Suppr超能文献

通过TvFL3、FL10、FL11和Ss-LrpB的DNA结合特异性揭示的古菌 feast/famine调节蛋白共享的DNA识别模式。

The DNA-recognition mode shared by archaeal feast/famine-regulatory proteins revealed by the DNA-binding specificities of TvFL3, FL10, FL11 and Ss-LrpB.

作者信息

Yokoyama Katsushi, Nogami Hideki, Kabasawa Mamiko, Ebihara Sonomi, Shimowasa Ai, Hashimoto Keiko, Kawashima Tsuyoshi, Ishijima Sanae A, Suzuki Masashi

机构信息

National Institute of Advanced Industrial Science and Technology, Tsukuba Center 6-10, Tsukuba 305-8566, Japan.

出版信息

Nucleic Acids Res. 2009 Jul;37(13):4407-19. doi: 10.1093/nar/gkp378. Epub 2009 May 25.

Abstract

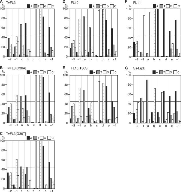
The DNA-binding mode of archaeal feast/famine-regulatory proteins (FFRPs), i.e. paralogs of the Esherichia coli leucine-responsive regulatory protein (Lrp), was studied. Using the method of systematic evolution of ligands by exponential enrichment (SELEX), optimal DNA duplexes for interacting with TvFL3, FL10, FL11 and Ss-LrpB were identified as TACGA[AAT/ATT]TCGTA, GTTCGA[AAT/ATT]TCGAAC, CCGAAA[AAT/ATT]TTTCGG and TTGCAA[AAT/ATT]TTGCAA, respectively, all fitting into the form abcdeWWWedcba. Here W is A or T, and e.g. a and a are bases complementary to each other. Apparent equilibrium binding constants of the FFRPs and various DNA duplexes were determined, thereby confirming the DNA-binding specificities of the FFRPs. It is likely that these FFRPs recognize DNA in essentially the same way, since their DNA-binding specificities were all explained by the same pattern of relationship between amino-acid positions and base positions to form chemical interactions. As predicted from this relationship, when Gly36 of TvFL3 was replaced by Thr, the b base in the optimal DNA duplex changed from A to T, and, when Thr36 of FL10 was replaced by Ser, the b base changed from T to G/A. DNA-binding characteristics of other archaeal FFRPs, Ptr1, Ptr2, Ss-Lrp and LysM, are also consistent with the relationship.

摘要

对古菌中饱/饥调节蛋白(FFRP)(即大肠杆菌亮氨酸应答调节蛋白(Lrp)的旁系同源物)的DNA结合模式进行了研究。采用指数富集配体系统进化(SELEX)方法,确定了与TvFL3、FL10、FL11和Ss-LrpB相互作用的最佳DNA双链体分别为TACGA[AAT/ATT]TCGTA、GTTCGA[AAT/ATT]TCGAAC、CCGAAA[AAT/ATT]TTTCGG和TTGCAA[AAT/ATT]TTGCAA,它们均符合abcdeWWWedcba的形式。这里W为A或T,例如a和a是相互互补的碱基。测定了FFRP与各种DNA双链体的表观平衡结合常数,从而证实了FFRP的DNA结合特异性。这些FFRP很可能以基本相同的方式识别DNA,因为它们的DNA结合特异性都可以通过氨基酸位置与碱基位置之间形成化学相互作用的相同关系模式来解释。根据这种关系预测,当TvFL3的Gly36被Thr取代时,最佳DNA双链体中的b碱基从A变为T;当FL10的Thr36被Ser取代时,b碱基从T变为G/A。其他古菌FFRP,即Ptr1、Ptr2、Ss-Lrp和LysM的DNA结合特性也与这种关系一致。

https://cdn.ncbi.nlm.nih.gov/pmc/blobs/712c/2715240/5487a5b45a09/gkp378f1.jpg

文献检索

告别复杂PubMed语法,用中文像聊天一样搜索,搜遍4000万医学文献。AI智能推荐,让科研检索更轻松。

立即免费搜索

文件翻译

保留排版,准确专业,支持PDF/Word/PPT等文件格式,支持 12+语言互译。

免费翻译文档

深度研究

AI帮你快速写综述,25分钟生成高质量综述,智能提取关键信息,辅助科研写作。

立即免费体验