Suppr超能文献

颞下窝原发性非霍奇金淋巴瘤:一例罕见病例报告

Primary non-Hodgkin's lymphoma of the infratemporal fossa: a rare case report.

作者信息

Thakur Jagdeep S, Minhas Ravinder S, Mohindroo Narinder K, Sharma Dev R, Mohindroo Shobha, Thakur Anamika

机构信息

Department of Otolaryngology-Head & Neck Surgery, I. G. Medical College, Shimla, HP, 171001, India.

出版信息

Head Neck Oncol. 2009 Jun 21;1:20. doi: 10.1186/1758-3284-1-20.

Abstract

BACKGROUND

The head and neck are two of the most common sites of extranodal non-Hodgkin's lymphoma (NHL). However, primary tumors of the infratemporal fossa are infrequent, and NHL in this region is extremely rare.

CASE PRESENTATION

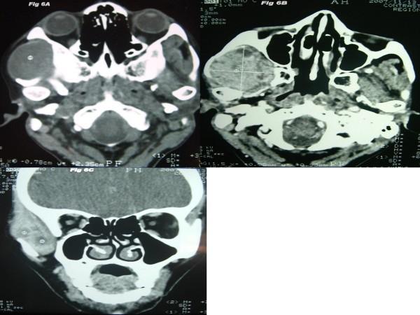
We present a case of a 41-year-old female that presented with swelling in the right preauricular region that had persisted for the past two years. The patient was diagnosed as having a small lymphocytic NHL. She initially underwent chemo-radiation but reported relapse. The tumor was excised and again the patient underwent chemotherapy. The patient remained symptomatic and developed a second primary squamous cell carcinoma in the right retromolar trigone.

DISCUSSION AND CONCLUSION

We discussed NHL with an emphasis on extranodal manifestations. Extranodal NHL that is limited to a single site can be managed by surgery and regular follow up. To the best of our knowledge, this is only the second case of primary NHL of the infratemporal fossa to be reported in the literature.

摘要

背景

头颈部是结外非霍奇金淋巴瘤(NHL)最常见的两个部位。然而,颞下窝原发性肿瘤并不常见,该区域的NHL极为罕见。

病例介绍

我们报告一例41岁女性患者,其右耳前区肿胀持续两年。该患者被诊断为小淋巴细胞性NHL。她最初接受了放化疗,但出现复发。肿瘤被切除,患者再次接受化疗。患者仍有症状,并在右磨牙后三角区发生了第二原发性鳞状细胞癌。

讨论与结论

我们讨论了NHL,重点是结外表现。局限于单一部位的结外NHL可通过手术和定期随访进行治疗。据我们所知,这是文献中报道的第二例颞下窝原发性NHL病例。

https://cdn.ncbi.nlm.nih.gov/pmc/blobs/156b/2711953/339d2721c81a/1758-3284-1-20-1.jpg

文献AI研究员

20分钟写一篇综述,助力文献阅读效率提升50倍。

立即体验

用中文搜PubMed

大模型驱动的PubMed中文搜索引擎

马上搜索

文档翻译

学术文献翻译模型,支持多种主流文档格式。

立即体验