el-Ramahi K M, al-Kawi M Z
Department of Medicine, King Faisal Specialist Hospital and Research Centre, Riyadh, Saudi Arabia.
J Neurol Neurosurg Psychiatry. 1991 Sep;54(9):826-9. doi: 10.1136/jnnp.54.9.826.
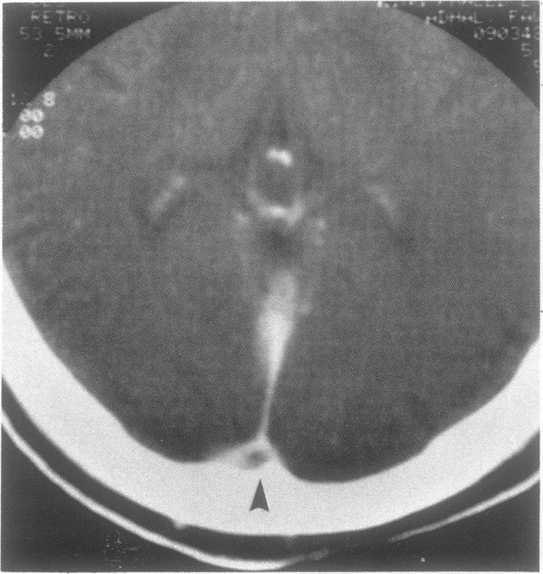
Behçet's disease is a multisystem disease characterised by the clinical triad of oral ulcers, genital ulcers and uveitis. Nervous system involvement is frequent and occasionally precedes other manifestations. Behcet's disease is not frequently considered in the differential diagnosis of papilloedema. We report four cases of Behcet's disease in which papilloedema occurred with or without dural sinus thrombosis. MRI is of great value in the investigation of such patients as it can demonstrate venous sinus thrombosis non-invasively or suggest the diagnosis by showing the associated parenchymal lesions secondary to small vessel pathology.