Suppr超能文献

NOD2、RIP2和IRF5在结核分枝杆菌的I型干扰素反应中起关键作用。

NOD2, RIP2 and IRF5 play a critical role in the type I interferon response to Mycobacterium tuberculosis.

作者信息

Pandey Amit K, Yang Yibin, Jiang Zhaozhao, Fortune Sarah M, Coulombe Francois, Behr Marcel A, Fitzgerald Katherine A, Sassetti Christopher M, Kelliher Michelle A

机构信息

Department of Molecular Genetics and Microbiology, University of Massachusetts Medical School, Worcester, MA, USA.

出版信息

PLoS Pathog. 2009 Jul;5(7):e1000500. doi: 10.1371/journal.ppat.1000500. Epub 2009 Jul 3.

Abstract

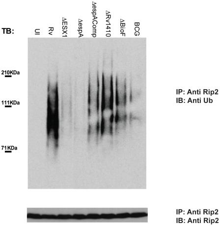
While the recognition of microbial infection often occurs at the cell surface via Toll-like receptors, the cytosol of the cell is also under surveillance for microbial products that breach the cell membrane. An important outcome of cytosolic recognition is the induction of IFNalpha and IFNbeta, which are critical mediators of immunity against both bacteria and viruses. Like many intracellular pathogens, a significant fraction of the transcriptional response to Mycobacterium tuberculosis infection depends on these type I interferons, but the recognition pathways responsible remain elusive. In this work, we demonstrate that intraphagosomal M. tuberculosis stimulates the cytosolic Nod2 pathway that responds to bacterial peptidoglycan, and this event requires membrane damage that is actively inflicted by the bacterium. Unexpectedly, this recognition triggers the expression of type I interferons in a Tbk1- and Irf5-dependent manner. This response is only partially impaired by the loss of Irf3 and therefore, differs fundamentally from those stimulated by bacterial DNA, which depend entirely on this transcription factor. This difference appears to result from the unusual peptidoglycan produced by mycobacteria, which we show is a uniquely potent agonist of the Nod2/Rip2/Irf5 pathway. Thus, the Nod2 system is specialized to recognize bacteria that actively perturb host membranes and is remarkably sensitive to mycobacteria, perhaps reflecting the strong evolutionary pressure exerted by these pathogens on the mammalian immune system.

摘要

虽然微生物感染的识别通常通过Toll样受体在细胞表面发生,但细胞溶质也在监测突破细胞膜的微生物产物。胞质识别的一个重要结果是诱导IFNα和IFNβ,它们是抵抗细菌和病毒的关键免疫介质。与许多细胞内病原体一样,结核分枝杆菌感染的转录反应很大一部分取决于这些I型干扰素,但负责的识别途径仍然难以捉摸。在这项工作中,我们证明吞噬体内的结核分枝杆菌刺激对细菌肽聚糖作出反应的胞质Nod2途径,并且这一事件需要细菌主动造成的膜损伤。出乎意料的是,这种识别以Tbk1和Irf5依赖的方式触发I型干扰素的表达。这种反应仅因Irf3的缺失而部分受损,因此,与由细菌DNA刺激的反应有根本不同,后者完全依赖于该转录因子。这种差异似乎源于分枝杆菌产生的不寻常肽聚糖,我们证明它是Nod2/Rip2/Irf5途径的独特强效激动剂。因此,Nod2系统专门用于识别主动干扰宿主膜的细菌,并且对分枝杆菌非常敏感,这可能反映了这些病原体对哺乳动物免疫系统施加的强大进化压力。

https://cdn.ncbi.nlm.nih.gov/pmc/blobs/3c9b/2698121/a8b6e4e1a6ea/ppat.1000500.g001.jpg

文献AI研究员

20分钟写一篇综述,助力文献阅读效率提升50倍。

立即体验

用中文搜PubMed

大模型驱动的PubMed中文搜索引擎

马上搜索

文档翻译

学术文献翻译模型,支持多种主流文档格式。

立即体验