Suppr超能文献

核仁素与表皮生长因子受体相互作用的结构-功能分析

Structure-function analysis of nucleolin and ErbB receptors interactions.

作者信息

Farin Keren, Di Segni Ayelet, Mor Adam, Pinkas-Kramarski Ronit

机构信息

Department of Neurobiology, Tel-Aviv University, Ramat-Aviv, Israel.

出版信息

PLoS One. 2009 Jul 3;4(7):e6128. doi: 10.1371/journal.pone.0006128.

Abstract

BACKGROUND

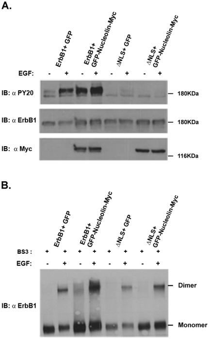
The ErbB receptor tyrosine kinases and nucleolin are major contributors to malignant transformation. Recently we have found that cell-surface ErbB receptors interact with nucleolin via their cytoplasmic tail. Overexpression of ErbB1 and nucleolin leads to receptor phosphorylation, dimerization and anchorage independent growth.

METHODOLOGY/PRINCIPAL FINDINGS: In the present study we explored the regions of nucleolin and ErbB responsible for their interaction. Using mutational analyses, we addressed the structure-function relationship of the interaction between ErbB1 and nucleolin. We identified the ErbB1 nuclear localization domain as nucleolin interacting region. This region is important for nucleolin-associated receptor activation. Notably, though the tyrosine kinase domain is important for nucleolin-associated receptor activation, it is not involved in nucleolin/ErbB interactions. In addition, we demonstrated that the 212 c-terminal portion of nucleolin is imperative for the interaction with ErbB1 and ErbB4. This region of nucleolin is sufficient to induce ErbB1 dimerization, phosphorylation and growth in soft agar.

CONCLUSIONS/SIGNIFICANCE: The oncogenic potential of ErbB depends on receptor levels and activation. Nucleolin affects ErbB dimerization and activation leading to enhanced cell growth. The C-terminal region of nucleolin and the ErbB1 NLS-domain mediate this interaction. Moreover, when the C-terminal 212 amino acids region of nucleolin is expressed with ErbB1, it can enhance anchorage independent cell growth. Taken together these results offer new insight into the role of ErbB1 and nucleolin interaction in malignant cells.

摘要

背景

表皮生长因子受体(ErbB)酪氨酸激酶和核仁素是恶性转化的主要促成因素。最近我们发现,细胞表面的ErbB受体通过其胞质尾部与核仁素相互作用。ErbB1和核仁素的过表达会导致受体磷酸化、二聚化以及不依赖贴壁生长。

方法/主要发现:在本研究中,我们探索了核仁素和ErbB中负责它们相互作用的区域。通过突变分析,我们研究了ErbB1与核仁素相互作用的结构-功能关系。我们确定ErbB1核定位结构域为核仁素相互作用区域。该区域对于与核仁素相关的受体激活很重要。值得注意的是,虽然酪氨酸激酶结构域对于与核仁素相关的受体激活很重要,但它不参与核仁素/ErbB相互作用。此外,我们证明核仁素的212个C末端部分对于与ErbB1和ErbB4的相互作用至关重要。核仁素的这一区域足以诱导ErbB1在软琼脂中发生二聚化、磷酸化和生长。

结论/意义:ErbB的致癌潜力取决于受体水平和激活。核仁素影响ErbB二聚化和激活,导致细胞生长增强。核仁素的C末端区域和ErbB1核定位信号结构域介导这种相互作用。此外,当核仁素的C末端212个氨基酸区域与ErbB1一起表达时,它可以增强不依赖贴壁的细胞生长。综上所述,这些结果为ErbB1与核仁素相互作用在恶性细胞中的作用提供了新的见解。

https://cdn.ncbi.nlm.nih.gov/pmc/blobs/e8c6/2700965/238c311faf0b/pone.0006128.g001.jpg

文献AI研究员

20分钟写一篇综述,助力文献阅读效率提升50倍。

立即体验

用中文搜PubMed

大模型驱动的PubMed中文搜索引擎

马上搜索

文档翻译

学术文献翻译模型,支持多种主流文档格式。

立即体验