• 文献检索
  • 文档翻译
  • 深度研究
  • 学术资讯
  • Suppr Zotero 插件Zotero 插件
  • 邀请有礼
  • 套餐&价格
  • 历史记录
应用&插件
Suppr Zotero 插件Zotero 插件浏览器插件Mac 客户端Windows 客户端微信小程序
定价
高级版会员购买积分包购买API积分包
服务
文献检索文档翻译深度研究API 文档MCP 服务
关于我们
关于 Suppr公司介绍联系我们用户协议隐私条款
关注我们

Suppr 超能文献

核心技术专利:CN118964589B侵权必究
粤ICP备2023148730 号-1Suppr @ 2026

文献检索

告别复杂PubMed语法,用中文像聊天一样搜索,搜遍4000万医学文献。AI智能推荐,让科研检索更轻松。

立即免费搜索

文件翻译

保留排版,准确专业,支持PDF/Word/PPT等文件格式,支持 12+语言互译。

免费翻译文档

深度研究

AI帮你快速写综述,25分钟生成高质量综述,智能提取关键信息,辅助科研写作。

立即免费体验

用源自葡萄糖-6-磷酸异构酶的免疫显性自身肽进行免疫接种可诱导DBA/1小鼠患关节炎。

Immunization with an immunodominant self-peptide derived from glucose-6-phosphate isomerase induces arthritis in DBA/1 mice.

作者信息

Bruns Lisa, Frey Oliver, Morawietz Lars, Landgraf Christiane, Volkmer Rudolf, Kamradt Thomas

机构信息

Universitätsklinikum Jena, Institut für Immunologie, Leutragraben 3, Jena, Germany.

出版信息

Arthritis Res Ther. 2009;11(4):R117. doi: 10.1186/ar2777. Epub 2009 Jul 29.

DOI:10.1186/ar2777
PMID:19640302
原文链接:https://pmc.ncbi.nlm.nih.gov/articles/PMC2745800/
Abstract

INTRODUCTION

T-helper (Th) lymphocytes are critically required for the pathogenesis of glucose-6-phosphate isomerase (G6PI)-induced arthritis, but neither the G6PI epitopes recognized by arthritogenic T cells nor their pathogenic effector functions have been fully elucidated to date. We aimed at identifying arthritogenic G6PI peptides.

METHODS

We used a library of overlapping peptides spanning the entire G6PI sequence to identify the epitopes recognized by G6PI-specific Th cells. Immunodominant peptides were then used to immunize mice. Arthritis development was evaluated clinically and histologically. The humoral and cellular immune responses upon peptide immunization were analyzed by ELISA and multiparameter flow cytometry, respectively.

RESULTS

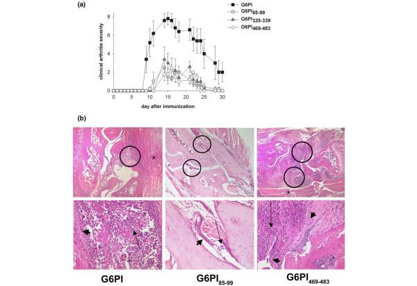
We identified six immunodominant T-cell epitopes in DBA/1 mice, of which three are arthritogenic. One of these peptides (G6PI469-483) is identical in man and mice. Immunization with this peptide induces arthritis, which is less severe and of shorter duration than arthritis induced by immunization with full-length G6PI. Upon immunization with either G6PI or peptide, the antigen-specific Th cells produce IL-17, RANKL, IFNgamma and TNFalpha.

CONCLUSIONS

We identified immunodominant and arthritogenic epitopes of G6PI. Not all immunodominant peptides are arthritogenic. This is the first description of arthritis induced by immunization with a self-peptide in mice.

摘要

引言

辅助性T(Th)淋巴细胞在6-磷酸葡萄糖异构酶(G6PI)诱导的关节炎发病机制中起着关键作用,但迄今为止,致关节炎T细胞识别的G6PI表位及其致病效应功能均未完全阐明。我们旨在鉴定致关节炎的G6PI肽段。

方法

我们使用了一个覆盖整个G6PI序列的重叠肽库,以鉴定G6PI特异性Th细胞识别的表位。然后使用免疫显性肽免疫小鼠。通过临床和组织学评估关节炎的发展。分别通过ELISA和多参数流式细胞术分析肽免疫后的体液和细胞免疫反应。

结果

我们在DBA/1小鼠中鉴定出六个免疫显性T细胞表位,其中三个具有致关节炎作用。这些肽段之一(G6PI469-483)在人和小鼠中是相同的。用该肽免疫可诱导关节炎,其严重程度低于全长G6PI免疫诱导的关节炎,且持续时间较短。用G6PI或肽免疫后,抗原特异性Th细胞产生IL-17、RANKL、IFNγ和TNFα。

结论

我们鉴定了G6PI的免疫显性和致关节炎表位。并非所有免疫显性肽都具有致关节炎作用。这是首次在小鼠中描述用自身肽免疫诱导的关节炎。

https://cdn.ncbi.nlm.nih.gov/pmc/blobs/7424/2745800/bb8dcd24b232/ar2777-4.jpg
https://cdn.ncbi.nlm.nih.gov/pmc/blobs/7424/2745800/f492e7a45ee8/ar2777-1.jpg
https://cdn.ncbi.nlm.nih.gov/pmc/blobs/7424/2745800/a9e268bff6e8/ar2777-2.jpg
https://cdn.ncbi.nlm.nih.gov/pmc/blobs/7424/2745800/044320b40617/ar2777-3.jpg
https://cdn.ncbi.nlm.nih.gov/pmc/blobs/7424/2745800/bb8dcd24b232/ar2777-4.jpg
https://cdn.ncbi.nlm.nih.gov/pmc/blobs/7424/2745800/f492e7a45ee8/ar2777-1.jpg
https://cdn.ncbi.nlm.nih.gov/pmc/blobs/7424/2745800/a9e268bff6e8/ar2777-2.jpg
https://cdn.ncbi.nlm.nih.gov/pmc/blobs/7424/2745800/044320b40617/ar2777-3.jpg
https://cdn.ncbi.nlm.nih.gov/pmc/blobs/7424/2745800/bb8dcd24b232/ar2777-4.jpg

相似文献

1
Immunization with an immunodominant self-peptide derived from glucose-6-phosphate isomerase induces arthritis in DBA/1 mice.用源自葡萄糖-6-磷酸异构酶的免疫显性自身肽进行免疫接种可诱导DBA/1小鼠患关节炎。
Arthritis Res Ther. 2009;11(4):R117. doi: 10.1186/ar2777. Epub 2009 Jul 29.
2
The role and clinical implications of G6PI in experimental models of rheumatoid arthritis.G6PI在类风湿性关节炎实验模型中的作用及临床意义。
Arthritis Res Ther. 2005;7(1):20-8. doi: 10.1186/ar1476. Epub 2004 Nov 30.
3
Immunization with glucose-6-phosphate isomerase induces T cell-dependent peripheral polyarthritis in genetically unaltered mice.用葡萄糖-6-磷酸异构酶进行免疫接种可在基因未改变的小鼠中诱发T细胞依赖性外周多关节炎。
J Immunol. 2004 Apr 1;172(7):4503-9. doi: 10.4049/jimmunol.172.7.4503.
4
Ameliorated course of glucose-6-phosphate isomerase (G6PI)-induced arthritis in IFN-γ receptor knockout mice exposes an arthritis-promoting role of IFN-γ.IFN-γ 受体敲除小鼠中葡萄糖-6-磷酸异构酶(G6PI)诱导关节炎的改善病程揭示了 IFN-γ 在关节炎中的促进作用。
J Autoimmun. 2011 Mar;36(2):161-9. doi: 10.1016/j.jaut.2010.12.006. Epub 2011 Jan 22.
5
Regulatory T cells control the transition from acute into chronic inflammation in glucose-6-phosphate isomerase-induced arthritis.调节性 T 细胞控制着葡萄糖-6-磷酸异构酶诱导性关节炎中急性向慢性炎症的转变。
Ann Rheum Dis. 2010 Aug;69(8):1511-8. doi: 10.1136/ard.2009.123422. Epub 2010 May 24.
6
A glucose-6-phosphate isomerase peptide induces T and B cell-dependent chronic arthritis in C57BL/10 mice: arthritis without reactive oxygen species and complement.葡萄糖-6-磷酸异构酶肽诱导 C57BL/10 小鼠 T 和 B 细胞依赖性慢性关节炎:无活性氧和补体的关节炎。
Am J Pathol. 2013 Oct;183(4):1144-1155. doi: 10.1016/j.ajpath.2013.06.019. Epub 2013 Jul 30.
7
Inducible costimulator (ICOS) blockade inhibits accumulation of polyfunctional T helper 1/T helper 17 cells and mitigates autoimmune arthritis.诱导共刺激因子 (ICOS) 阻断可抑制多功能辅助性 T 细胞 1/辅助性 T 细胞 17 细胞的积累,并减轻自身免疫性关节炎。
Ann Rheum Dis. 2010 Aug;69(8):1495-501. doi: 10.1136/ard.2009.119164. Epub 2010 May 24.
8
Arthritogenic T cell epitope in glucose-6-phosphate isomerase-induced arthritis.葡萄糖-6-磷酸异构酶诱导性关节炎中的致关节炎T细胞表位
Arthritis Res Ther. 2008;10(6):R130. doi: 10.1186/ar2545. Epub 2008 Nov 7.
9
Altered peptide ligands inhibit arthritis induced by glucose-6-phosphate isomerase peptide.改变的肽配体抑制葡萄糖-6-磷酸异构酶肽诱导的关节炎。
Arthritis Res Ther. 2009;11(6):R167. doi: 10.1186/ar2854. Epub 2009 Nov 9.
10
Induction of a B-cell-dependent chronic arthritis with glucose-6-phosphate isomerase.用葡萄糖-6-磷酸异构酶诱导B细胞依赖性慢性关节炎。
Arthritis Res Ther. 2005;7(6):R1316-24. doi: 10.1186/ar1829. Epub 2005 Sep 20.

引用本文的文献

1
Preparation of mesoporous silica nanocarriers targeting glucose-6-phosphate isomerase inhibition and application in the treatment of rheumatoid arthritis.靶向葡萄糖-6-磷酸异构酶抑制的介孔硅纳米载体的制备及其在类风湿关节炎治疗中的应用。
Clin Exp Immunol. 2023 Mar 8;211(1):46-56. doi: 10.1093/cei/uxac116.
2
Autoantibodies as Diagnostic Markers and Mediator of Joint Inflammation in Arthritis.自身抗体作为关节炎关节炎症的诊断标志物和介质。
Mediators Inflamm. 2019 Oct 27;2019:6363086. doi: 10.1155/2019/6363086. eCollection 2019.
3
Lactate Buildup at the Site of Chronic Inflammation Promotes Disease by Inducing CD4 T Cell Metabolic Rewiring.

本文引用的文献

1
Rheumatoid arthritis.类风湿关节炎
Lancet. 2009 Feb 21;373(9664):659-72. doi: 10.1016/S0140-6736(09)60008-8. Epub 2009 Jan 20.
2
Arthritogenic T cell epitope in glucose-6-phosphate isomerase-induced arthritis.葡萄糖-6-磷酸异构酶诱导性关节炎中的致关节炎T细胞表位
Arthritis Res Ther. 2008;10(6):R130. doi: 10.1186/ar2545. Epub 2008 Nov 7.
3
High affinity glycosaminoglycan and autoantigen interaction explains joint specificity in a mouse model of rheumatoid arthritis.高亲和力糖胺聚糖与自身抗原的相互作用解释了类风湿性关节炎小鼠模型中的关节特异性。
慢性炎症部位的乳酸堆积通过诱导 CD4 T 细胞代谢重编程促进疾病发生。
Cell Metab. 2019 Dec 3;30(6):1055-1074.e8. doi: 10.1016/j.cmet.2019.10.004. Epub 2019 Nov 7.
4
Amelioration of experimental arthritis by stroke-induced immunosuppression is independent of Treg cell function.中风诱导的免疫抑制对实验性关节炎的改善作用与调节性T细胞功能无关。
Ann Rheum Dis. 2014 Dec;73(12):2183-91. doi: 10.1136/annrheumdis-2013-204148. Epub 2013 Dec 10.
5
Activation of Invariant NKT cells with glycolipid ligand α-galactosylceramide ameliorates glucose-6-phosphate isomerase peptide-induced arthritis.糖脂配体 α-半乳糖神经酰胺激活不变自然杀伤 T 细胞可改善葡萄糖-6-磷酸异构酶肽诱导的关节炎。
PLoS One. 2012;7(12):e51215. doi: 10.1371/journal.pone.0051215. Epub 2012 Dec 12.
6
Multivariate analysis of flow cytometric data using decision trees.使用决策树对流式细胞术数据进行多变量分析。
Front Microbiol. 2012 Apr 2;3:114. doi: 10.3389/fmicb.2012.00114. eCollection 2012.
7
B cell depletion reduces the number of autoreactive T helper cells and prevents glucose-6-phosphate isomerase-induced arthritis.B 细胞耗竭减少了自身反应性 T 辅助细胞的数量,并防止了葡萄糖-6-磷酸异构酶诱导的关节炎。
PLoS One. 2011;6(9):e24718. doi: 10.1371/journal.pone.0024718. Epub 2011 Sep 8.
J Biol Chem. 2009 Jan 23;284(4):2354-62. doi: 10.1074/jbc.M806458200. Epub 2008 Oct 22.
4
Increased frequency of EBV-specific effector memory CD8+ T cells correlates with higher viral load in rheumatoid arthritis.EBV特异性效应记忆CD8+ T细胞频率增加与类风湿性关节炎中更高的病毒载量相关。
J Immunol. 2008 Jul 15;181(2):991-1000. doi: 10.4049/jimmunol.181.2.991.
5
Therapeutic effects of antibodies to tumor necrosis factor-alpha, interleukin-6 and cytotoxic T-lymphocyte antigen 4 immunoglobulin in mice with glucose-6-phosphate isomerase induced arthritis.肿瘤坏死因子-α、白细胞介素-6抗体及细胞毒性T淋巴细胞抗原4免疫球蛋白对葡萄糖-6-磷酸异构酶诱导性关节炎小鼠的治疗作用
Arthritis Res Ther. 2008;10(3):R66. doi: 10.1186/ar2437. Epub 2008 Jun 5.
6
Results of a two-year followup study of patients with rheumatoid arthritis who received a combination of abatacept and methotrexate.对接受阿巴西普和甲氨蝶呤联合治疗的类风湿性关节炎患者进行的为期两年的随访研究结果。
Arthritis Rheum. 2008 Apr;58(4):953-63. doi: 10.1002/art.23397.
7
Crucial role of the interleukin-6/interleukin-17 cytokine axis in the induction of arthritis by glucose-6-phosphate isomerase.白细胞介素-6/白细胞介素-17细胞因子轴在6-磷酸葡萄糖异构酶诱导关节炎中的关键作用。
Arthritis Rheum. 2008 Mar;58(3):754-63. doi: 10.1002/art.23222.
8
Ex vivo cytokine and memory T cell responses to the 42-kDa fragment of Plasmodium falciparum merozoite surface protein-1 in vaccinated volunteers.接种疫苗志愿者体内对恶性疟原虫裂殖子表面蛋白-1 42-kDa片段的体外细胞因子和记忆性T细胞反应
J Immunol. 2008 Feb 1;180(3):1451-61. doi: 10.4049/jimmunol.180.3.1451.
9
Characterization of a subset of antigen-specific human central memory CD4+ T lymphocytes producing effector cytokines.产生效应细胞因子的抗原特异性人类中枢记忆CD4+T淋巴细胞亚群的特征分析
Eur J Immunol. 2008 Jan;38(1):273-82. doi: 10.1002/eji.200737611.
10
Murine antigen-induced arthritis.小鼠抗原诱导性关节炎
Methods Mol Med. 2007;136:243-53. doi: 10.1007/978-1-59745-402-5_18.