Suppr超能文献

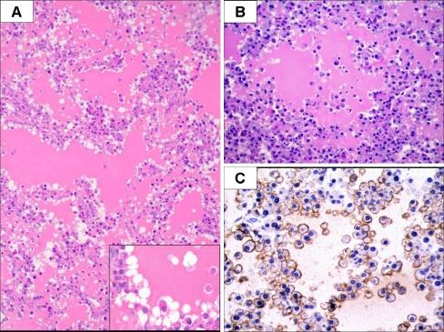
Well-differentiated (Marschalko-type) plasmacytoma resembling thyroid follicular structures.

作者信息

Lara-Torres César O, Ortiz-Hidalgo Carlos

机构信息

Department of Pathology, The American British Cowdray Medical Center, Mexico City, Mexico.

出版信息

J Hematop. 2008 Sep;1(2):127-9. doi: 10.1007/s12308-008-0015-7. Epub 2008 Aug 22.

Abstract
摘要
https://cdn.ncbi.nlm.nih.gov/pmc/blobs/1ca9/2713489/70e15635e803/12308_2008_15_Fig1_HTML.jpg

文献AI研究员

20分钟写一篇综述,助力文献阅读效率提升50倍。

立即体验

用中文搜PubMed

大模型驱动的PubMed中文搜索引擎

马上搜索

文档翻译

学术文献翻译模型,支持多种主流文档格式。

立即体验