Suppr超能文献

一名有儿童急性淋巴细胞白血病病史的年轻患者发生的肾甲状腺样滤泡癌。

Thyroid-like follicular carcinoma of the kidney in a young patient with history of pediatric acute lymphoblastic leukemia.

作者信息

Wu William W, Chu Julia T, Nael Ali, Rezk Sherif A, Romansky Stephen G, Shane Lisa

机构信息

Department of Pathology & Laboratory Medicine, University of California Irvine Medical Center, Orange, CA 92868, USA.

Department of Pathology, Long Beach Memorial Medical Center, 2801 Atlantic Avenue, Long Beach, CA 90801, USA.

出版信息

Case Rep Pathol. 2014;2014:313974. doi: 10.1155/2014/313974. Epub 2014 Jul 15.

Abstract

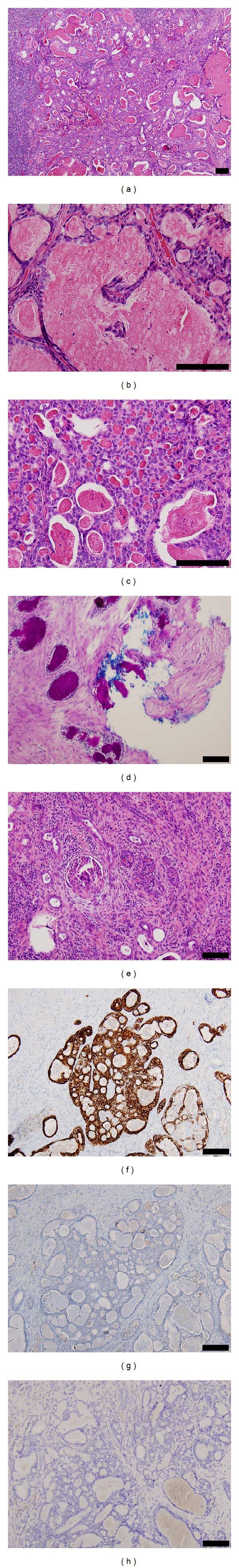
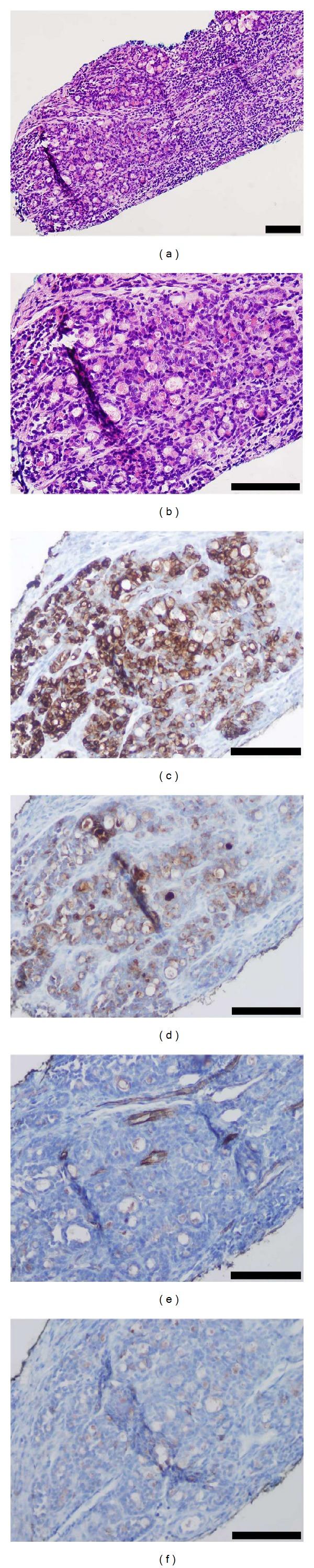
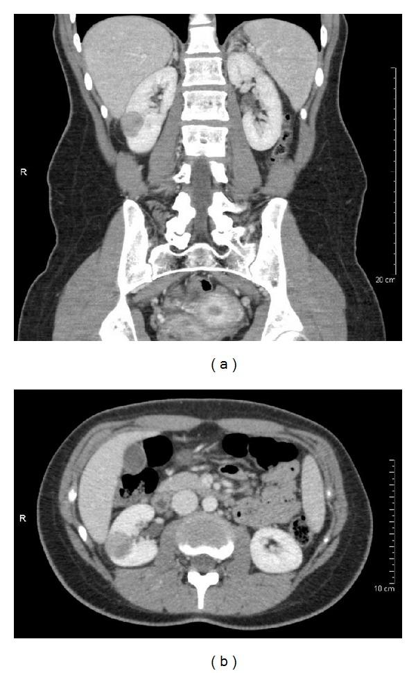
Thyroid-like follicular carcinoma of the kidney (TLFCK) is a rare histological variant of renal cell carcinoma not currently included in the World Health Organization classification of renal tumors. Only 24 previous cases of TLFCK have been reported to date. We report a case of TLFCK in a 19-year-old woman with history of pediatric acute lymphoblastic leukemia. This patient is the youngest with TLFCK to be reported to date and the first with history of lymphoblastic leukemia. The development of TLFCK in a young patient with history of lymphoblastic leukemia is interesting and suggests that genes involved in leukemogenesis may also be important for TLFCK pathogenesis. Recognition of TLFCK is important to distinguish it from other conditions that show thyroid-like features, as a misdiagnosis can result in adverse patient care.

摘要

肾甲状腺样滤泡癌(TLFCK)是肾细胞癌一种罕见的组织学变异型,目前未被纳入世界卫生组织肾肿瘤分类中。迄今为止,仅报道过24例TLFCK病例。我们报告了1例19岁患有儿童急性淋巴细胞白血病病史的女性TLFCK病例。该患者是迄今为止报道的最年轻的TLFCK患者,也是首例有淋巴细胞白血病病史的患者。一名有淋巴细胞白血病病史的年轻患者发生TLFCK很有意思,提示参与白血病发生的基因可能对TLFCK的发病机制也很重要。认识TLFCK对于将其与其他具有甲状腺样特征的疾病相鉴别很重要,因为误诊可能导致对患者不利的治疗。

https://cdn.ncbi.nlm.nih.gov/pmc/blobs/a634/4123569/3757a8aa83f6/CRIPA2014-313974.001.jpg

文献检索

告别复杂PubMed语法,用中文像聊天一样搜索,搜遍4000万医学文献。AI智能推荐,让科研检索更轻松。

立即免费搜索

文件翻译

保留排版,准确专业,支持PDF/Word/PPT等文件格式,支持 12+语言互译。

免费翻译文档

深度研究

AI帮你快速写综述,25分钟生成高质量综述,智能提取关键信息,辅助科研写作。

立即免费体验