Seol Sang-Hoon, Kim Dong-Soo, Han Yang-Chun, Kim Ki-Hun, Kim Young-Bok, Kim Dong-Kie, Yang Tae-Hyun, Kim Dae-Kyeong, Kim Doo-Il
Department of Medicine, Inje University College of Medicine, Busan Paik Hospital, Busan, Korea.
Cardiovasc Ultrasound. 2009 Sep 4;7:44. doi: 10.1186/1476-7120-7-44.
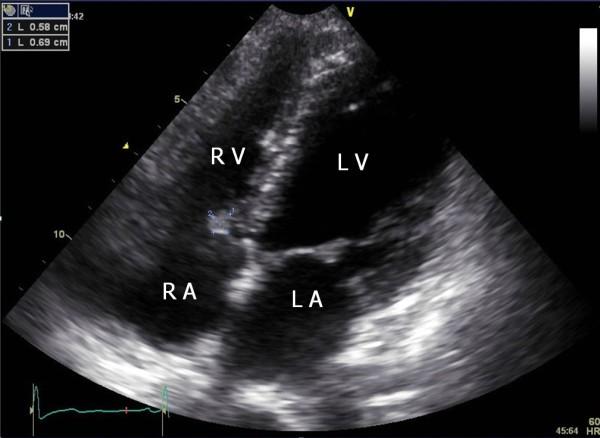
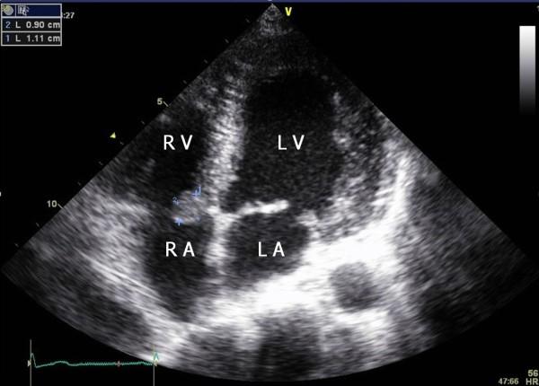
A 25-year-old woman with a history of kidney transplantation for lupus nephritis was referred for the evaluation and management of a mass incidentally found on echocardiography. An oval and pedunculated mass attached to the tricuspid valve was managed with nonsurgical treatment. No symptoms and complications attributable to the mass developed. Three years later, the size of the mass decreased. Here we report the case of a probable cardiac papillary fibroelastoma (PFE), a mobile mass, with a stalk on the septal leaflet of the tricuspid valve that was managed for three years without surgical treatment.
一名因狼疮性肾炎接受肾移植的25岁女性因超声心动图偶然发现的肿块前来进行评估和处理。一个附着于三尖瓣的椭圆形带蒂肿块采用非手术治疗。未出现与该肿块相关的症状和并发症。三年后,肿块尺寸减小。在此我们报告一例可能为心脏乳头状纤维弹性瘤(PFE)的病例,这是一个可移动的肿块,位于三尖瓣隔叶上并带有蒂,未进行手术治疗而处理了三年。