Suppr超能文献

纳米级三氧化二砷/四氧化三铁复合物对实验性小鼠肿瘤的热化疗作用及其对CD44v6、血管内皮生长因子C(VEGF-C)和基质金属蛋白酶-9(MMP-9)表达的影响

Thermochemotherapy effect of nanosized As2O3/Fe3O4 complex on experimental mouse tumors and its influence on the expression of CD44v6, VEGF-C and MMP-9.

作者信息

Du Yiqun, Zhang Dongsheng, Liu Hui, Lai Rensheng

机构信息

Department of Pathology and Pathophysiology, School of Basic Medical Sciences, Southeast University, Nanjing, PR China.

出版信息

BMC Biotechnol. 2009 Oct 5;9:84. doi: 10.1186/1472-6750-9-84.

Abstract

BACKGROUND

Both thermotherapy and arsenic have been shown to be active against a broad spectrum of cancers. To reduce the limitations of conventional thermotherapy, improve therapeutic anticancer activity, reduce the toxicity of arsenic on normal tissue, and increase tissue-specific delivery, we prepared a nanosized As2O3/Fe3O4 complex (Fe3O4 magnetic nanoparticles encapsulated in As2O3). We assessed the thermodynamic characteristics of this complex and validated the hyperthermia effect, when combined with magnetic fluid hyperthermia (MFH), on xenograft HeLa cells (human cervical cancer cell line) in nude mice. We also measured the effect on the expression of CD44v6, VEGF-C, and MMP-9 which were related to cancer and/or metastasis.

RESULTS

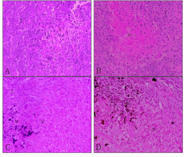
The nanosized As2O3/Fe3O4 particles were approximately spherical, had good dispersibility as evidenced by TEM, and an average diameter of about 50 nm. With different concentrations of the nanosized As2O3/Fe3O4 complex, the correspondingsuspension of magnetic particles could attain a steady temperature ranging from 42 degrees C to 65 degrees C when placed in AMF for 40 min. Thermochemotherapy with the nanosized As2O3/Fe3O4 complex showed a significant inhibitory effect on the mass (88.21%) and volume (91.57%) of xenograft cervical tumors (p < 0.05 for each measurement, compared with control). In addition, thermochemotherapy with the nanosized As2O3/Fe3O4 complex significantly inhibited the expression of CD44v6, VEGF-C, and MMP-9 mRNA (p < 0.05 for each).

CONCLUSION

As2O3/Fe3O4 complex combined with MFH had is a promising technique for the minimally invasive elimination of solid tumors and may be have anticancerometastasic effect by inhibiting the expression of CD44v6, VEGF-C, and MMP-9.

摘要

背景

热疗和砷已被证明对多种癌症有效。为了减少传统热疗的局限性,提高治疗抗癌活性,降低砷对正常组织的毒性,并增加组织特异性递送,我们制备了一种纳米级的As2O3/Fe3O4复合物(包裹在As2O3中的Fe3O4磁性纳米颗粒)。我们评估了该复合物的热力学特性,并验证了其与磁流体热疗(MFH)联合使用时对裸鼠异种移植HeLa细胞(人宫颈癌细胞系)的热疗效果。我们还测量了其对与癌症和/或转移相关的CD44v6、VEGF-C和MMP-9表达的影响。

结果

纳米级As2O3/Fe3O4颗粒近似球形,透射电子显微镜(TEM)显示其具有良好的分散性,平均直径约为50nm。使用不同浓度的纳米级As2O3/Fe3O4复合物时,相应的磁性颗粒悬浮液在置于交变磁场(AMF)中40分钟后,能够达到42℃至65℃的稳定温度。纳米级As2O3/Fe3O4复合物的热化疗对异种移植宫颈肿瘤的质量(88.21%)和体积(91.57%)显示出显著的抑制作用(每次测量p<0.05,与对照组相比)。此外,纳米级As2O3/Fe3O4复合物的热化疗显著抑制了CD44v6、VEGF-C和MMP-9 mRNA的表达(每次p<0.05)。

结论

As2O3/Fe3O4复合物与MFH联合使用是一种有前景的微创消除实体瘤的技术,并且可能通过抑制CD44v6、VEGF-C和MMP-9的表达而具有抗癌转移作用。

https://cdn.ncbi.nlm.nih.gov/pmc/blobs/0de1/2765420/c8513314c86c/1472-6750-9-84-1.jpg

文献AI研究员

20分钟写一篇综述,助力文献阅读效率提升50倍。

立即体验

用中文搜PubMed

大模型驱动的PubMed中文搜索引擎

马上搜索

文档翻译

学术文献翻译模型,支持多种主流文档格式。

立即体验