Suppr超能文献

胰岛素样生长因子-1 受体(IGF-IR)依赖性 Survivin 表达对于 T 抗原介导的神经祖细胞抗凋亡和增殖是必需的。

IGF-IR-dependent expression of Survivin is required for T-antigen-mediated protection from apoptosis and proliferation of neural progenitors.

机构信息

Department of Neuroscience, Center for Neurovirology, Temple University School of Medicine, Philadelphia, PA, USA.

出版信息

Cell Death Differ. 2010 Mar;17(3):439-51. doi: 10.1038/cdd.2009.146. Epub 2009 Oct 16.

Abstract

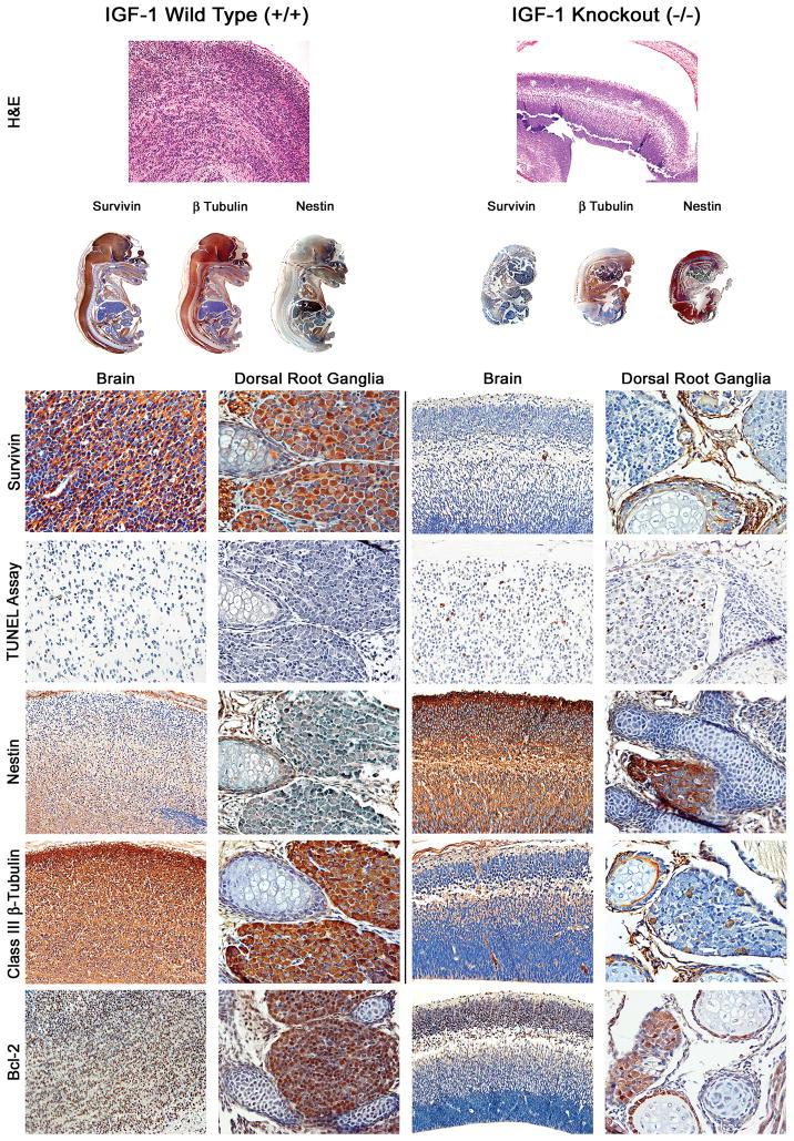
The insulin-like growth factor-1 receptor (IGF-IR) and the human polyomavirus JCV protein, T-antigen cooperate in the transformation of neuronal precursors in the cerebellum, which may be a contributing factor in the development of brain tumors. Because it is not clear why T-antigen requires IGF-IR for transformation, we investigated this process in neural progenitors from IGF-IR knockout embryos (ko-IGF-IR) and from their wild-type nontransgenic littermates (wt-IGF-IR). In contrast to wt-IGF-IR, the brain and dorsal root ganglia of ko-IGF-IR embryos showed low levels of the antiapoptotic protein Survivin, accompanied by elevated numbers of apoptotic neurons and an earlier differentiation phenotype. In wt-IGF-IR neural progenitors in vitro, induction of T-antigen expression tripled the expression of Survivin and accelerated cell proliferation. In ko-IGF-IR progenitors induction of T-antigen failed to increase Survivin, resulting in massive apoptosis. Importantly, ectopic expression of Survivin protected ko-IGF-IR progenitor cells from apoptosis and siRNA inhibition of Survivin activated apoptosis in wt-IGF-IR progenitors expressing T-antigen. Our results indicate that reactivation of the antiapoptotic Survivin may be a critical step in JCV T-antigen-induced transformation, which in neural progenitors requires IGF-IR.

摘要

胰岛素样生长因子-1 受体(IGF-1R)和人类多瘤病毒 JCV 蛋白 T 抗原合作转化小脑神经元前体,这可能是脑肿瘤发展的一个因素。由于不清楚 T 抗原为何需要 IGF-1R 进行转化,我们在 IGF-1R 敲除胚胎(ko-IGF-1R)和其野生型非转基因同窝仔(wt-IGF-1R)的神经前体细胞中研究了这个过程。与 wt-IGF-1R 相比,ko-IGF-1R 胚胎的大脑和背根神经节中抗凋亡蛋白 Survivin 的水平较低,伴随着凋亡神经元数量增加和更早的分化表型。在 wt-IGF-1R 体外神经前体细胞中,T 抗原表达的诱导使 Survivin 的表达增加两倍,并加速细胞增殖。在 ko-IGF-1R 前体细胞中,T 抗原的诱导未能增加 Survivin,导致大量细胞凋亡。重要的是,Survivin 的异位表达保护了 ko-IGF-1R 祖细胞免受凋亡,而 Survivin 的 siRNA 抑制则激活了表达 T 抗原的 wt-IGF-1R 祖细胞中的凋亡。我们的结果表明,抗凋亡 Survivin 的再激活可能是 JCV T 抗原诱导转化的关键步骤,在神经前体细胞中需要 IGF-1R。

https://cdn.ncbi.nlm.nih.gov/pmc/blobs/08cc/2822053/39da578e9ba9/nihms144145f1.jpg

文献检索

告别复杂PubMed语法,用中文像聊天一样搜索,搜遍4000万医学文献。AI智能推荐,让科研检索更轻松。

立即免费搜索

文件翻译

保留排版,准确专业,支持PDF/Word/PPT等文件格式,支持 12+语言互译。

免费翻译文档

深度研究

AI帮你快速写综述,25分钟生成高质量综述,智能提取关键信息,辅助科研写作。

立即免费体验