Suppr超能文献

创伤性颈椎损伤中椎管狭窄与神经功能预后的关系:基于巴氏比值、脊髓面积和椎管面积的分析。

The relationship between spinal stenosis and neurological outcome in traumatic cervical spine injury: an analysis using Pavlov's ratio, spinal cord area, and spinal canal area.

机构信息

Department of Orthopedic Surgery, College of Medicine, Research Institute of Clinical Medicine, Chonbuk National University, Jeonju, Korea.

出版信息

Clin Orthop Surg. 2009 Mar;1(1):11-8. doi: 10.4055/cios.2009.1.1.11. Epub 2009 Feb 6.

Abstract

BACKGROUND

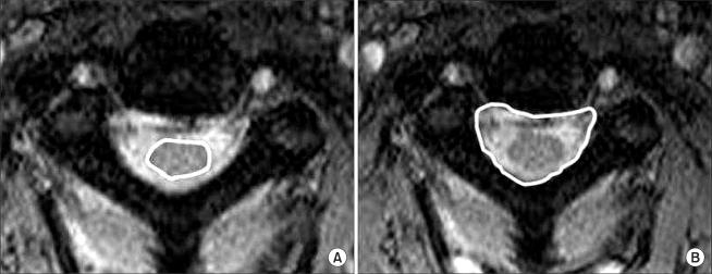
This study examined the relationship between four radiological parameters (Pavlov's ratio, sagittal diameter, spinal cord area, and spinal canal area) in patients with a traumatic cervical spine injury, as well as the correlation between these parameters and the neurological outcome.

METHODS

A total of 212 cervical spinal levels in 53 patients with a distractive-extension injury were examined. The following four parameters were measured: Pavlov's ratio on the plain lateral radiographs, the sagittal diameter, the spinal cord area, and the spinal canal area on the MRI scans. The Pearson correlation coefficients between the parameters at each level and between the levels of each parameter were evaluated. The correlation between the radiological parameters and the spinal cord injury status classified into four categories, A (complete), B (incomplete), C (radiculopathy), and D (normal) was assessed.

RESULTS

The mean Pavlov's ratio, sagittal diameter, spinal cord area and spinal canal area was 0.84, 12.9 mm, 82.8 mm(2) and 236.8 mm(2), respectively. An examination of the correlation between the radiological spinal stenosis and clinical spinal cord injury revealed an increase in the values of the four radiological parameters from cohorts A to D. Pavlov's ratio was the only parameter showing statistically significant correlation with the clinical status (p = 0.006).

CONCLUSIONS

There was a correlation between the underlying spinal stenosis and the development of neurological impairment after a traumatic cervical spine injury. In addition, it is believed that Pavlov's ratio can be used to help determine and predict the neurological outcome.

摘要

背景

本研究探讨了外伤性颈椎损伤患者的 4 项影像学参数(巴氏比、矢状径、脊髓面积和椎管面积)之间的关系,以及这些参数与神经功能预后的相关性。

方法

共检查了 53 例牵张-伸展损伤患者的 212 个颈椎节段。测量了以下 4 个参数:平片侧位片上的巴氏比、MRI 扫描上的矢状径、脊髓面积和椎管面积。评估了各节段参数之间以及各参数节段之间的 Pearson 相关系数。评估了影像学参数与脊髓损伤程度(分为 A 型(完全性)、B 型(不完全性)、C 型(根性神经病)和 D 型(正常))之间的相关性。

结果

巴氏比、矢状径、脊髓面积和椎管面积的平均值分别为 0.84、12.9mm、82.8mm²和 236.8mm²。对影像学椎管狭窄与临床脊髓损伤之间的相关性进行检查,发现 4 项影像学参数的数值从 A 组到 D 组逐渐增加。巴氏比是唯一与临床状态具有统计学显著相关性的参数(p=0.006)。

结论

外伤性颈椎损伤后,脊柱狭窄与神经功能损害的发展之间存在相关性。此外,巴氏比可能可用于帮助确定和预测神经功能预后。

https://cdn.ncbi.nlm.nih.gov/pmc/blobs/51ec/2766695/9938092ba96e/cios-1-11-g001.jpg

文献检索

告别复杂PubMed语法,用中文像聊天一样搜索,搜遍4000万医学文献。AI智能推荐,让科研检索更轻松。

立即免费搜索

文件翻译

保留排版,准确专业,支持PDF/Word/PPT等文件格式,支持 12+语言互译。

免费翻译文档

深度研究

AI帮你快速写综述,25分钟生成高质量综述,智能提取关键信息,辅助科研写作。

立即免费体验