Suppr超能文献

病理性朊病毒蛋白聚集体的免疫纯化。

Immunopurification of pathological prion protein aggregates.

机构信息

Dulbecco Telethon Institute, Milan, Italy.

出版信息

PLoS One. 2009 Nov 12;4(11):e7816. doi: 10.1371/journal.pone.0007816.

Abstract

BACKGROUND

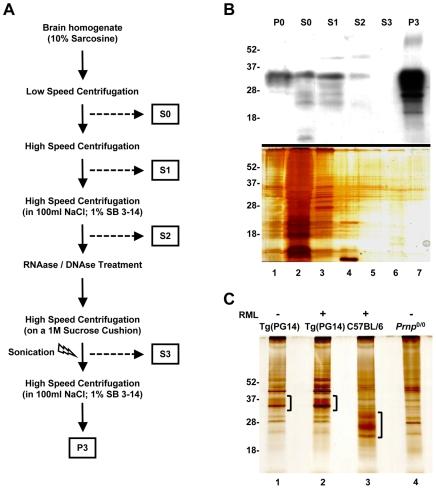
Prion diseases are fatal neurodegenerative disorders that can arise sporadically, be genetically inherited or acquired through infection. The key event in these diseases is misfolding of the cellular prion protein (PrP(C)) into a pathogenic isoform that is rich in beta-sheet structure. This conformational change may result in the formation of PrP(Sc), the prion isoform of PrP, which propagates itself by imprinting its aberrant conformation onto PrP(C) molecules. A great deal of effort has been devoted to developing protocols for purifying PrP(Sc) for structural studies, and testing its biological properties. Most procedures rely on protease digestion, allowing efficient purification of PrP27-30, the protease-resistant core of PrP(Sc). However, protease treatment cannot be used to isolate abnormal forms of PrP lacking conventional protease resistance, such as those found in several genetic and atypical sporadic cases.

PRINCIPAL FINDINGS

We developed a method for purifying pathological PrP molecules based on sequential centrifugation and immunoprecipitation with a monoclonal antibody selective for aggregated PrP. With this procedure we purified full-length PrP(Sc) and mutant PrP aggregates at electrophoretic homogeneity. PrP(Sc) purified from prion-infected mice was able to seed misfolding of PrP(C) in a protein misfolding cyclic amplification reaction, and mutant PrP aggregates from transgenic mice were toxic to cultured neurons.

SIGNIFICANCE

The immunopurification protocol described here isolates biologically active forms of aggregated PrP. These preparations may be useful for investigating the structural and chemico-physical properties of infectious and neurotoxic PrP aggregates.

摘要

背景

朊病毒病是致命的神经退行性疾病,可由遗传因素、感染或偶发因素引起。这些疾病的关键事件是细胞朊蛋白(PrP(C))错误折叠成富含β-折叠结构的致病性异构体。这种构象变化可能导致 PrP 的朊病毒异构体 PrP(Sc)的形成,其通过将自身异常构象印记到 PrP(C)分子上来传播。人们已经投入大量精力来开发用于纯化 PrP(Sc)以进行结构研究并测试其生物学特性的方案。大多数程序依赖于蛋白酶消化,从而可以有效地纯化 PrP27-30,即 PrP(Sc)的蛋白酶抗性核心。然而,蛋白酶处理不能用于分离缺乏传统蛋白酶抗性的异常形式的 PrP,例如在几种遗传和非典型散发性病例中发现的那些形式。

主要发现

我们开发了一种基于顺序离心和用选择性聚集 PrP 的单克隆抗体进行免疫沉淀的方法来纯化病理性 PrP 分子。通过该程序,我们以电泳均一性纯化全长 PrP(Sc)和突变 PrP 聚集体。从朊病毒感染的小鼠中纯化的 PrP(Sc)能够在蛋白错误折叠循环扩增反应中引发 PrP(C)的错误折叠,并且来自转基因小鼠的突变 PrP 聚集体对培养的神经元有毒。

意义

这里描述的免疫纯化方案分离出具有生物活性的聚集 PrP 形式。这些制剂可能有助于研究传染性和神经毒性 PrP 聚集体的结构和化学物理特性。

https://cdn.ncbi.nlm.nih.gov/pmc/blobs/1b57/2773113/f79d5ba69ab6/pone.0007816.g001.jpg

文献检索

告别复杂PubMed语法,用中文像聊天一样搜索,搜遍4000万医学文献。AI智能推荐,让科研检索更轻松。

立即免费搜索

文件翻译

保留排版,准确专业,支持PDF/Word/PPT等文件格式,支持 12+语言互译。

免费翻译文档

深度研究

AI帮你快速写综述,25分钟生成高质量综述,智能提取关键信息,辅助科研写作。

立即免费体验