• 文献检索
  • 文档翻译
  • 深度研究
  • 学术资讯
  • Suppr Zotero 插件Zotero 插件
  • 邀请有礼
  • 套餐&价格
  • 历史记录
应用&插件
Suppr Zotero 插件Zotero 插件浏览器插件Mac 客户端Windows 客户端微信小程序
定价
高级版会员购买积分包购买API积分包
服务
文献检索文档翻译深度研究API 文档MCP 服务
关于我们
关于 Suppr公司介绍联系我们用户协议隐私条款
关注我们

Suppr 超能文献

核心技术专利:CN118964589B侵权必究
粤ICP备2023148730 号-1Suppr @ 2026

文献检索

告别复杂PubMed语法,用中文像聊天一样搜索,搜遍4000万医学文献。AI智能推荐,让科研检索更轻松。

立即免费搜索

文件翻译

保留排版,准确专业,支持PDF/Word/PPT等文件格式,支持 12+语言互译。

免费翻译文档

深度研究

AI帮你快速写综述,25分钟生成高质量综述,智能提取关键信息,辅助科研写作。

立即免费体验

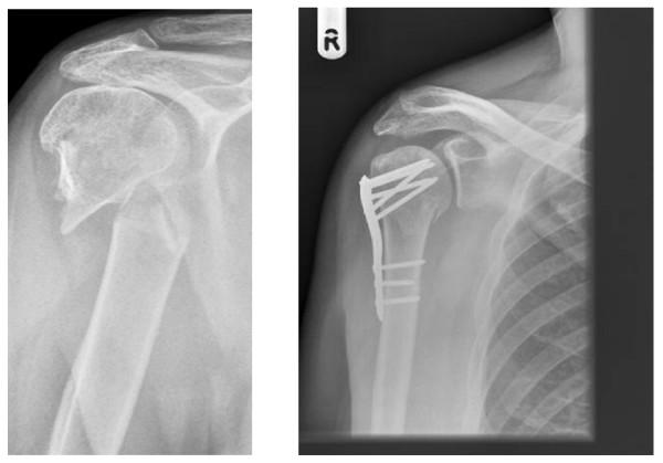
ProFHER(肱骨干近端骨折:随机评估)试验方案:一项针对成人肱骨干近端骨折手术与非手术治疗的实用多中心随机对照试验。

Protocol for the ProFHER (PROximal Fracture of the Humerus: Evaluation by Randomisation) trial: a pragmatic multi-centre randomised controlled trial of surgical versus non-surgical treatment for proximal fracture of the humerus in adults.

机构信息

Centre for Rehabilitation Sciences, Health Sciences and Social Care Institute, Teesside University, Middlesbrough, Tees Valley TS1 3BA, UK.

出版信息

BMC Musculoskelet Disord. 2009 Nov 16;10:140. doi: 10.1186/1471-2474-10-140.

DOI:10.1186/1471-2474-10-140
PMID:19917097
原文链接:https://pmc.ncbi.nlm.nih.gov/articles/PMC2780379/
Abstract

BACKGROUND

Proximal humeral fractures, which occur mainly in older adults, account for approximately 4 to 5% of all fractures. Approximately 40% of these fractures are displaced fractures involving the surgical neck. Management of this group of fractures is often challenging and the outcome is frequently unsatisfactory. In particular it is not clear whether surgery gives better outcomes than non-surgical management. Currently there is much variation in the use of surgery and a lack of good quality evidence to inform this decision.

METHODS/DESIGN: We aim to undertake a pragmatic UK-based multi-centre randomised controlled trial evaluating the effectiveness and cost-effectiveness of surgical versus standard non-surgical treatment for adults with an acute closed displaced fracture of the proximal humerus with involvement of the surgical neck. The choice of surgical intervention is left to the surgeon, who must use techniques that they are fully experienced with. This will avoid 'learning curve' problems. We will promote good standards of non-surgical care, similarly insisting on care-provider competence, and emphasize the need for comparable provision of rehabilitation for both groups of patients.We aim to recruit 250 patients from a minimum of 18 NHS trauma centres throughout the UK. These patients will be followed-up for 2 years. The primary outcome is the Oxford Shoulder Score, which will be collected via questionnaires completed by the trial participants at 6, 12 and 24 months. This is a 12-item condition-specific questionnaire providing a total score based on the person's subjective assessment of pain and activities of daily living impairment. We will also collect data for other outcomes, including general health measures and complications, and for an economic evaluation. Additionally, we plan a systematic collection of reasons for non-inclusion of eligible patients who were not recruited into the trial, and their baseline characteristics, treatment preferences and intended treatment.

DISCUSSION

This article presents the protocol for a multi-centre randomised controlled trial. It gives extensive details of, and the basis for, the chosen methods, and describes the key measures taken to avoid bias and to ensure validity.

TRIAL REGISTRATION

Current Controlled Trials ISRCTN50850043.

摘要

背景

肱骨近端骨折主要发生于老年人,约占所有骨折的 4%至 5%。其中约 40%为涉及外科颈的移位骨折。这类骨折的治疗往往具有挑战性,且治疗效果常常不尽如人意。特别是,手术治疗是否优于非手术治疗尚不清楚。目前,手术的应用存在很大差异,且缺乏高质量的证据来支持这一决策。

方法/设计:我们旨在开展一项基于英国的实用、多中心随机对照试验,评估手术与标准非手术治疗成人急性闭合性移位性肱骨近端骨折伴外科颈受累的有效性和成本效益。手术干预的选择由外科医生决定,外科医生必须使用他们完全熟练掌握的技术。这将避免“学习曲线”问题。我们将促进非手术治疗的良好标准,同样坚持护理人员的能力,强调两组患者都需要进行可比较的康复治疗。我们计划从英国至少 18 家 NHS 创伤中心招募 250 名患者。这些患者将随访 2 年。主要结局指标为牛津肩肘评分,通过试验参与者在 6、12 和 24 个月时完成的问卷进行收集。这是一个 12 项的特定于疾病的问卷,根据个人对疼痛和日常生活活动障碍的主观评估提供总分。我们还将收集其他结局数据,包括一般健康指标和并发症,以及进行经济性评估。此外,我们计划系统地收集未纳入试验的合格患者未被招募的原因,以及他们的基线特征、治疗偏好和预期治疗。

讨论

本文介绍了一项多中心随机对照试验的方案。它详细介绍了所选方法的依据,并描述了为避免偏倚和确保有效性而采取的关键措施。

试验注册

当前对照试验 ISRCTN50850043。

https://cdn.ncbi.nlm.nih.gov/pmc/blobs/4dbc/2780379/b265ec40bb7b/1471-2474-10-140-2.jpg
https://cdn.ncbi.nlm.nih.gov/pmc/blobs/4dbc/2780379/7449334345ca/1471-2474-10-140-1.jpg
https://cdn.ncbi.nlm.nih.gov/pmc/blobs/4dbc/2780379/b265ec40bb7b/1471-2474-10-140-2.jpg
https://cdn.ncbi.nlm.nih.gov/pmc/blobs/4dbc/2780379/7449334345ca/1471-2474-10-140-1.jpg
https://cdn.ncbi.nlm.nih.gov/pmc/blobs/4dbc/2780379/b265ec40bb7b/1471-2474-10-140-2.jpg

相似文献

1
Protocol for the ProFHER (PROximal Fracture of the Humerus: Evaluation by Randomisation) trial: a pragmatic multi-centre randomised controlled trial of surgical versus non-surgical treatment for proximal fracture of the humerus in adults.ProFHER(肱骨干近端骨折:随机评估)试验方案:一项针对成人肱骨干近端骨折手术与非手术治疗的实用多中心随机对照试验。
BMC Musculoskelet Disord. 2009 Nov 16;10:140. doi: 10.1186/1471-2474-10-140.
2
The ProFHER (PROximal Fracture of the Humerus: Evaluation by Randomisation) trial - a pragmatic multicentre randomised controlled trial evaluating the clinical effectiveness and cost-effectiveness of surgical compared with non-surgical treatment for proximal fracture of the humerus in adults.肱骨近端骨折:随机化评估(ProFHER)试验——一项实用的多中心随机对照试验,旨在评估手术治疗与非手术治疗对成人肱骨近端骨折的临床有效性和成本效益。
Health Technol Assess. 2015 Mar;19(24):1-280. doi: 10.3310/hta19240.
3
Surgical vs nonsurgical treatment of adults with displaced fractures of the proximal humerus: the PROFHER randomized clinical trial.手术与非手术治疗成年人移位性肱骨近端骨折:PROFHER 随机临床试验。
JAMA. 2015 Mar 10;313(10):1037-47. doi: 10.1001/jama.2015.1629.
4
Reverse shoulder arthroplasty versus hemiarthroplasty versus non-surgical treatment for older adults with acute 3- or 4-part fractures of the proximal humerus: study protocol for a randomised controlled trial (PROFHER-2: PROximal Fracture of Humerus Evaluation by Randomisation - Trial Number 2).反向肩关节置换术与半肩关节置换术与非手术治疗老年急性 3 或 4 部分肱骨近端骨折:一项随机对照试验的研究方案 (PROFHER-2:通过随机化评估肱骨近端骨折 - 试验编号 2)。
Trials. 2023 Apr 13;24(1):270. doi: 10.1186/s13063-023-07259-3.
5
Interventions for treating proximal humeral fractures in adults.成人肱骨近端骨折的治疗干预措施。
Cochrane Database Syst Rev. 2015 Nov 11(11):CD000434. doi: 10.1002/14651858.CD000434.pub4.
6
Reverse Shoulder Arthroplasty for the treatment of Proximal humeral fractures in the Elderly (ReShAPE trial) : study protocol for a multicentre combined randomised controlled and observational trial.用于治疗老年肱骨近端骨折的反肩关节置换术(ReShAPE试验):一项多中心联合随机对照和观察性试验的研究方案
Trials. 2017 Feb 28;18(1):91. doi: 10.1186/s13063-017-1826-6.
7
Open reduction internal fixation vs non-operative management in proximal humerus fractures: a prospective, randomized controlled trial protocol.肱骨近端骨折切开复位内固定术与非手术治疗的比较:一项前瞻性随机对照试验方案
BMC Musculoskelet Disord. 2018 Aug 18;19(1):299. doi: 10.1186/s12891-018-2223-3.
8
Conservative management versus open reduction and internal fixation for mid-shaft clavicle fractures in adults--the Clavicle Trial: study protocol for a multicentre randomized controlled trial.成人中段锁骨骨折的保守治疗与切开复位内固定的比较——锁骨试验:一项多中心随机对照试验的研究方案。
Trials. 2011 Feb 28;12:57. doi: 10.1186/1745-6215-12-57.
9
Cost effectiveness of surgical versus non-surgical treatment of adults with displaced fractures of the proximal humerus: economic evaluation alongside the PROFHER trial.成人肱骨近端移位骨折手术与非手术治疗的成本效益:PROFHER试验同期的经济学评估
Bone Joint J. 2016 Feb;98-B(2):152-9. doi: 10.1302/0301-620X.98B2.36614.
10
Surgical versus non-surgical management of lateral compression type-1 pelvic fracture in adults 60 years and older: the L1FE RCT.成年人 60 岁及以上外侧压缩型 1 型骨盆骨折的手术与非手术治疗:L1FE RCT。
Health Technol Assess. 2024 Mar;28(15):1-67. doi: 10.3310/LAPW3412.

引用本文的文献

1
A new classification for dislocated and displaced proximal humeral fractures.肱骨近端骨折脱位和移位的新分类
J Orthop Surg Res. 2025 Jan 7;20(1):18. doi: 10.1186/s13018-024-05423-2.
2
Comparison of intramedullary nail and plate osteosynthesis in humerus surgical neck fracture.肱骨外科颈骨折髓内钉与钢板内固定的比较。
Ulus Travma Acil Cerrahi Derg. 2023 Jul;29(7):824-829. doi: 10.14744/tjtes.2023.64225.
3
Effect of structured rehabilitation versus non-structured rehabilitation following non-surgical management of displaced proximal humerus fractures: a protocol for a randomised clinical trial.

本文引用的文献

1
Methods and processes of the CONSORT Group: example of an extension for trials assessing nonpharmacologic treatments.CONSORT 小组的方法和流程:评估非药物治疗试验的扩展示例。
Ann Intern Med. 2008 Feb 19;148(4):W60-6. doi: 10.7326/0003-4819-148-4-200802190-00008-w1.
2
The Oxford shoulder score revisited.再谈牛津肩部评分。
Arch Orthop Trauma Surg. 2009 Jan;129(1):119-23. doi: 10.1007/s00402-007-0549-7. Epub 2008 Jan 9.
3
Proximal humerus fracture rehabilitation.肱骨近端骨折康复
移位性肱骨近端骨折非手术治疗后结构化康复与非结构化康复的效果比较:一项随机临床试验方案。
BMJ Open. 2022 Oct 17;12(10):e064156. doi: 10.1136/bmjopen-2022-064156.
4
Interventions for treating proximal humeral fractures in adults.成人肱骨近端骨折的治疗干预措施。
Cochrane Database Syst Rev. 2022 Jun 21;6(6):CD000434. doi: 10.1002/14651858.CD000434.pub5.
5
High-Energy Proximal Humerus Fractures in Geriatric Patients: A Review.老年患者高能近端肱骨骨折:综述
Geriatr Orthop Surg Rehabil. 2020 Dec 10;11:2151459320971568. doi: 10.1177/2151459320971568. eCollection 2020.
6
The impact of surgeon and patient treatment preferences in an orthopaedic trauma surgery trial.外科医生和患者治疗偏好对骨科创伤手术试验的影响。
Trials. 2019 Sep 18;20(1):570. doi: 10.1186/s13063-019-3631-x.
7
New fixation approach for transverse metacarpal neck fracture: a biomechanical study.掌骨颈横行骨折的新型固定方法:一项生物力学研究。
J Orthop Surg Res. 2018 Jul 25;13(1):183. doi: 10.1186/s13018-018-0890-2.
8
We are operating too much.我们做得太过了。
J Orthop Traumatol. 2017 Dec;18(4):289-292. doi: 10.1007/s10195-017-0471-x. Epub 2017 Sep 6.
9
Five-year follow-up results of the PROFHER trial comparing operative and non-operative treatment of adults with a displaced fracture of the proximal humerus.PROFHER试验的五年随访结果:比较成人肱骨近端移位骨折的手术治疗与非手术治疗
Bone Joint J. 2017 Mar;99-B(3):383-392. doi: 10.1302/0301-620X.99B3.BJJ-2016-1028.
10
Operative versus non-operative treatment in complex proximal humeral fractures: a meta-analysis of randomized controlled trials.复杂肱骨近端骨折的手术治疗与非手术治疗:一项随机对照试验的荟萃分析
Springerplus. 2015 Nov 25;4(1):728. doi: 10.1186/s40064-015-1522-5. eCollection 2015.
Clin Orthop Relat Res. 2006 Jan;442:131-8.
4
Update in the epidemiology of proximal humeral fractures.肱骨近端骨折流行病学的最新进展。
Clin Orthop Relat Res. 2006 Jan;442:87-92. doi: 10.1097/01.blo.0000194672.79634.78.
5
Interventions for treating proximal humeral fractures in adults.成人肱骨近端骨折的治疗干预措施。
Cochrane Database Syst Rev. 2003(4):CD000434. doi: 10.1002/14651858.CD000434.
6
Four-segment classification of proximal humeral fractures: purpose and reliable use.肱骨近端骨折的四段分类:目的及可靠应用
J Shoulder Elbow Surg. 2002 Jul-Aug;11(4):389-400. doi: 10.1067/mse.2002.124346.
7
Increasing response rates to postal questionnaires: systematic review.提高邮寄问卷的回复率:系统评价
BMJ. 2002 May 18;324(7347):1183. doi: 10.1136/bmj.324.7347.1183.
8
The epidemiology of proximal humeral fractures.肱骨近端骨折的流行病学
Acta Orthop Scand. 2001 Aug;72(4):365-71. doi: 10.1080/000164701753542023.
9
The benefits of using patient-based methods of assessment. Medium-term results of an observational study of shoulder surgery.使用基于患者的评估方法的益处。一项肩部手术观察性研究的中期结果。
J Bone Joint Surg Br. 2001 Aug;83(6):877-82. doi: 10.1302/0301-620x.83b6.11316.
10
Complex proximal humeral fractures in adults--a systematic review of management.成人复杂肱骨近端骨折——治疗的系统评价
Injury. 2001 Jun;32(5):363-72. doi: 10.1016/s0020-1383(00)00242-4.