Suppr超能文献

表现为伴有腹膜后延伸的肾窦肿瘤的慢性肾盂肾炎:一例报告

Chronic pyelonephritis presenting as a renal sinus tumor with retroperitoneal extension: a case report.

作者信息

Papadopoulos Georgios I, Mountanos Ioannis G, Manolakakis Stylianos I, Chrysanthakopoulos Georgios, Papaliodi Eugenia, Farmakis Antonios D

出版信息

J Med Case Rep. 2009 Sep 15;3:9054. doi: 10.4076/1752-1947-3-9054.

Abstract

INTRODUCTION

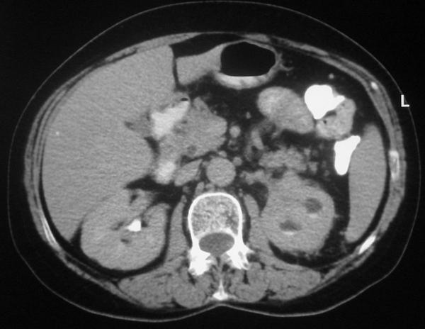
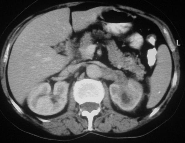
Chronic pyelonephritis is associated with progressive renal scarring and occurs, most of the time, in patients with major anatomical anomalies, including urinary tract obstruction, calculi, renal dysplasia or vesicoureteric reflux. We report the computed tomography imaging findings of a patient with chronic pyelonephritis appearing as a renal sinus mass. To our knowledge, it is the first time that such a case has been published in the literature.

CASE PRESENTATION

We present a case of a 68-year-old woman who underwent a computed tomography scan of the abdomen in the work-up for recently diagnosed hypertension. A non-enhancing left renal sinus mass was detected extending to the para-aortic space. The initial diagnosis was that of a tumor of the collecting system. Nephro-ureterectomy was performed and the pathology results revealed changes of chronic pyelonephritis.

CONCLUSION

Chronic pyelonephritis presenting as a renal sinus mass is reported for the first time in the literature. This may lead to the conclusion that diagnostic ureteropyeloscopy and biopsy should be performed prior to radical surgery for possible upper tract urothelial tumors.

摘要

引言

慢性肾盂肾炎与进行性肾瘢痕形成相关,且多数情况下发生于存在重大解剖结构异常的患者,包括尿路梗阻、结石、肾发育异常或膀胱输尿管反流。我们报告了一例表现为肾窦肿块的慢性肾盂肾炎患者的计算机断层扫描成像结果。据我们所知,这是该病例首次在文献中发表。

病例介绍

我们呈现了一例68岁女性患者,其因近期诊断为高血压而接受腹部计算机断层扫描。检查发现一个无强化的左肾窦肿块延伸至腹主动脉旁间隙。初步诊断为集合系统肿瘤。实施了肾输尿管切除术,病理结果显示为慢性肾盂肾炎改变。

结论

文献中首次报道了表现为肾窦肿块的慢性肾盂肾炎。这可能得出结论,对于可能的上尿路尿路上皮肿瘤,在根治性手术前应进行诊断性输尿管肾盂镜检查和活检。

https://cdn.ncbi.nlm.nih.gov/pmc/blobs/86f0/2767150/199ccfe6d197/1752-1947-0003-0000009054-1.jpg

文献检索

告别复杂PubMed语法,用中文像聊天一样搜索,搜遍4000万医学文献。AI智能推荐,让科研检索更轻松。

立即免费搜索

文件翻译

保留排版,准确专业,支持PDF/Word/PPT等文件格式,支持 12+语言互译。

免费翻译文档

深度研究

AI帮你快速写综述,25分钟生成高质量综述,智能提取关键信息,辅助科研写作。

立即免费体验