• 文献检索
  • 文档翻译
  • 深度研究
  • 学术资讯
  • Suppr Zotero 插件Zotero 插件
  • 邀请有礼
  • 套餐&价格
  • 历史记录
应用&插件
Suppr Zotero 插件Zotero 插件浏览器插件Mac 客户端Windows 客户端微信小程序
定价
高级版会员购买积分包购买API积分包
服务
文献检索文档翻译深度研究API 文档MCP 服务
关于我们
关于 Suppr公司介绍联系我们用户协议隐私条款
关注我们

Suppr 超能文献

核心技术专利:CN118964589B侵权必究
粤ICP备2023148730 号-1Suppr @ 2026

文献检索

告别复杂PubMed语法,用中文像聊天一样搜索,搜遍4000万医学文献。AI智能推荐,让科研检索更轻松。

立即免费搜索

文件翻译

保留排版,准确专业,支持PDF/Word/PPT等文件格式,支持 12+语言互译。

免费翻译文档

深度研究

AI帮你快速写综述,25分钟生成高质量综述,智能提取关键信息,辅助科研写作。

立即免费体验

糖尿病肾病中基底膜胶原链的差异表达

Differential expression of basement membrane collagen chains in diabetic nephropathy.

作者信息

Kim Y, Kleppel M M, Butkowski R, Mauer S M, Wieslander J, Michael A F

机构信息

Department of Pediatrics, University of Minnesota, Minneapolis 55455.

出版信息

Am J Pathol. 1991 Feb;138(2):413-20.

PMID:1992766
原文链接:https://pmc.ncbi.nlm.nih.gov/articles/PMC1886199/
Abstract

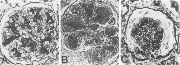
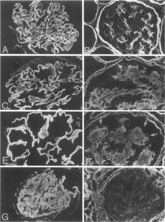
Diabetic nephropathy is characterized by progressive expansion of mesangial matrix and thickening of the glomerular basement membrane (GBM). Kidney tissues from 13 patients with insulin-dependent diabetes mellitus were studied by immunohistochemical techniques for the distribution of three recently described collagen peptides (M28+, M28 [Good-pasture antigen], and Alport antigen) and various components of classical type IV collagen [alpha 1(IV) noncollagenous (NC) globular domain, alpha 2(IV) NC, 7S, triple helix]. Recently M28 and M28+ were designated as NC monomers of alpha 3(IV) and alpha 4(IV) based on limited amino acid sequencing. During the course of the disease, the distribution of the M28 chains and the Alport peptide segregated completely from that of classical type IV collagen. In diabetic kidneys, antibodies to the M28 and Alport peptides reacted intensely with the thickened GBM but not with the mesangium. In contrast, the reactivity of antibodies to various components of classical type IV collagen was prominent within the expanded mesangial matrix with significant decrease in reactivity in the peripheral capillary wall. In hyalinized glomeruli, components of classical type IV collagen virtually disappeared, whereas the M28 and Alport peptides persisted in the collapsed GBM. These studies support the view that expansion of the mesangial matrix and thickening of the GBM involve separate and distinct collagen components. The differential expression of the M28 and Alport peptides compared with that of classical type IV collagen may be a consequence of differing sites of synthesis (classical type IV collagen from endothelial/mesangial cells and M28 and Alport chains from visceral epithelial cells), independent control mechanisms, and/or differences in degradation.

摘要

糖尿病肾病的特征是系膜基质进行性扩张和肾小球基底膜(GBM)增厚。采用免疫组织化学技术,对13例胰岛素依赖型糖尿病患者的肾组织进行研究,观察三种最近描述的胶原肽(M28 +、M28[古德帕斯丘抗原]和奥尔波特抗原)以及经典IV型胶原的各种成分[α1(IV)非胶原(NC)球状结构域、α2(IV) NC、7S、三螺旋]的分布情况。最近,基于有限的氨基酸测序,M28和M28 +被指定为α3(IV)和α4(IV)的NC单体。在疾病过程中,M28链和奥尔波特肽的分布与经典IV型胶原的分布完全分离。在糖尿病肾中,针对M28和奥尔波特肽的抗体与增厚的GBM强烈反应,但与系膜无反应。相反,针对经典IV型胶原各种成分的抗体反应在扩张的系膜基质中很突出,而在外周毛细血管壁中的反应性显著降低。在玻璃样变的肾小球中,经典IV型胶原成分几乎消失,而M28和奥尔波特肽仍存在于塌陷的GBM中。这些研究支持这样一种观点,即系膜基质的扩张和GBM的增厚涉及不同的胶原成分。与经典IV型胶原相比,M28和奥尔波特肽的差异表达可能是由于合成部位不同(经典IV型胶原由内皮/系膜细胞合成,M28和奥尔波特链由脏层上皮细胞合成)、独立的控制机制和/或降解差异所致。

https://cdn.ncbi.nlm.nih.gov/pmc/blobs/d93f/1886199/25b2b53de74f/amjpathol00098-0160-a.jpg
https://cdn.ncbi.nlm.nih.gov/pmc/blobs/d93f/1886199/e9cc4b54e095/amjpathol00098-0159-a.jpg
https://cdn.ncbi.nlm.nih.gov/pmc/blobs/d93f/1886199/8fc4c7394018/amjpathol00098-0159-b.jpg
https://cdn.ncbi.nlm.nih.gov/pmc/blobs/d93f/1886199/224cdd9c4e04/amjpathol00098-0156-a.jpg
https://cdn.ncbi.nlm.nih.gov/pmc/blobs/d93f/1886199/d33f355654c2/amjpathol00098-0157-a.jpg
https://cdn.ncbi.nlm.nih.gov/pmc/blobs/d93f/1886199/322e9ca0f683/amjpathol00098-0158-a.jpg
https://cdn.ncbi.nlm.nih.gov/pmc/blobs/d93f/1886199/25b2b53de74f/amjpathol00098-0160-a.jpg
https://cdn.ncbi.nlm.nih.gov/pmc/blobs/d93f/1886199/e9cc4b54e095/amjpathol00098-0159-a.jpg
https://cdn.ncbi.nlm.nih.gov/pmc/blobs/d93f/1886199/8fc4c7394018/amjpathol00098-0159-b.jpg
https://cdn.ncbi.nlm.nih.gov/pmc/blobs/d93f/1886199/224cdd9c4e04/amjpathol00098-0156-a.jpg
https://cdn.ncbi.nlm.nih.gov/pmc/blobs/d93f/1886199/d33f355654c2/amjpathol00098-0157-a.jpg
https://cdn.ncbi.nlm.nih.gov/pmc/blobs/d93f/1886199/322e9ca0f683/amjpathol00098-0158-a.jpg
https://cdn.ncbi.nlm.nih.gov/pmc/blobs/d93f/1886199/25b2b53de74f/amjpathol00098-0160-a.jpg

相似文献

1
Differential expression of basement membrane collagen chains in diabetic nephropathy.糖尿病肾病中基底膜胶原链的差异表达
Am J Pathol. 1991 Feb;138(2):413-20.
2
Differential expression of basement membrane collagen in membranous nephropathy.膜性肾病中基底膜胶原蛋白的差异表达
Am J Pathol. 1991 Dec;139(6):1381-8.
3
Distribution of familial nephritis antigen in normal tissue and renal basement membranes of patients with homozygous and heterozygous Alport familial nephritis. Relationship of familial nephritis and Goodpasture antigens to novel collagen chains and type IV collagen.家族性肾炎抗原在正常组织以及纯合子和杂合子Alport家族性肾炎患者肾基底膜中的分布。家族性肾炎和Goodpasture抗原与新型胶原链及IV型胶原的关系。
Lab Invest. 1989 Sep;61(3):278-89.
4
Differential distribution of type IV collagen chains in patients with diabetic nephropathy in non-insulin-dependent diabetes mellitus.非胰岛素依赖型糖尿病患者糖尿病肾病中IV型胶原链的差异分布
Nephron. 1995;70(1):42-8. doi: 10.1159/000188542.
5
Immunoreactivity of the JK-132 monoclonal antibody directed against basement membrane collagen in normal and diabetic glomeruli.抗正常及糖尿病肾小球基底膜胶原蛋白的JK-132单克隆抗体的免疫反应性
Virchows Arch. 1994;424(3):235-41. doi: 10.1007/BF00194606.
6
Characterization of type IV collagen NC1 monomers and Goodpasture antigen in human renal basement membranes.人肾基底膜中IV型胶原NC1单体及Goodpasture抗原的特性分析
J Lab Clin Med. 1990 Mar;115(3):365-73.
7
Application of electron microscopic immunocytochemistry to the human kidney: distribution of type IV and type VI collagen in normal human kidney.电子显微镜免疫细胞化学在人肾脏中的应用:正常人肾脏中IV型和VI型胶原的分布
J Histochem Cytochem. 1994 May;42(5):577-84. doi: 10.1177/42.5.8157929.
8
Immunohistologic studies of type IV collagen in anterior lens capsules of patients with Alport syndrome.阿尔波特综合征患者晶状体前囊膜中IV型胶原的免疫组织学研究。
Lab Invest. 1994 Apr;70(4):553-7.
9
Expression of glomerular extracellular matrix components in human diabetic nephropathy: decrease of heparan sulphate in the glomerular basement membrane.人糖尿病肾病中肾小球细胞外基质成分的表达:肾小球基底膜中硫酸乙酰肝素的减少。
Diabetologia. 1994 Mar;37(3):313-20. doi: 10.1007/BF00398060.
10
Human tissue distribution of novel basement membrane collagen.新型基底膜胶原蛋白的人体组织分布
Am J Pathol. 1989 Apr;134(4):813-25.

引用本文的文献

1
Circulating Protein and Metabolite Correlates of Histologically Confirmed Diabetic Kidney Disease.经组织学确诊的糖尿病肾病的循环蛋白和代谢物关联
Kidney Med. 2024 Oct 16;6(12):100920. doi: 10.1016/j.xkme.2024.100920. eCollection 2024 Dec.
2
A comprehensive review of Alport syndrome: definition, pathophysiology, clinical manifestations, and diagnostic considerations.奥尔波特综合征综合综述:定义、病理生理学、临床表现及诊断要点
Kidney Res Clin Pract. 2024 Sep 26. doi: 10.23876/j.krcp.24.065.
3
Diabetic fibrosis.糖尿病性纤维化

本文引用的文献

1
Biochemical properties of human glomerular basement membrane in normal and diabetic kidneys.正常及糖尿病肾脏中人类肾小球基底膜的生化特性
J Clin Invest. 1974 Feb;53(2):403-7. doi: 10.1172/JCI107573.
2
Increased concentration of albumin in kidney basement membranes in diabetes mellitus.糖尿病患者肾基底膜中白蛋白浓度升高。
Diabetes. 1981 Oct;30(10):843-6. doi: 10.2337/diab.30.10.843.
3
Preservation of mesangium and immunohistochemically defined antigens in glomerular basement membrane isolated by detergent extraction.通过去污剂提取分离的肾小球基底膜中系膜及免疫组织化学鉴定抗原的保存。
Biochim Biophys Acta Mol Basis Dis. 2021 Apr 1;1867(4):166044. doi: 10.1016/j.bbadis.2020.166044. Epub 2020 Dec 28.
4
Inhibition of Akt/mTOR/p70S6K Signaling Activity With Huangkui Capsule Alleviates the Early Glomerular Pathological Changes in Diabetic Nephropathy.黄葵胶囊抑制Akt/mTOR/p70S6K信号活性减轻糖尿病肾病早期肾小球病理改变
Front Pharmacol. 2018 May 23;9:443. doi: 10.3389/fphar.2018.00443. eCollection 2018.
5
Cobalt treatment does not prevent glomerular morphological alterations in type 1 diabetic rats.钴处理不能预防 1 型糖尿病大鼠肾小球形态改变。
Naunyn Schmiedebergs Arch Pharmacol. 2018 Sep;391(9):933-944. doi: 10.1007/s00210-018-1511-7. Epub 2018 Jun 2.
6
Effect of the Administration of Fruit on Prevention of Diabetic Nephropathy in Streptozotocin-induced Diabetic Rats.水果给药对链脲佐菌素诱导的糖尿病大鼠糖尿病肾病的预防作用。
Pharmacognosy Res. 2017 Oct-Dec;9(4):325-332. doi: 10.4103/pr.pr_47_17.
7
A comprehensive analysis and annotation of human normal urinary proteome.全面分析和注释人类正常尿蛋白质组。
Sci Rep. 2017 Jun 8;7(1):3024. doi: 10.1038/s41598-017-03226-6.
8
Plasma and Urinary Type IV Collagen Levels for Early Detection of Nephropathy in Type 2 Diabetes Mellitus Patients.血浆和尿液IV型胶原蛋白水平用于2型糖尿病患者肾病的早期检测
Int J Health Sci (Qassim). 2016 Oct;10(4):492-498.
9
Podocyte-specific Nox4 deletion affords renoprotection in a mouse model of diabetic nephropathy.足细胞特异性Nox4缺失在糖尿病肾病小鼠模型中提供肾脏保护作用。
Diabetologia. 2016 Feb;59(2):379-89. doi: 10.1007/s00125-015-3796-0. Epub 2015 Oct 28.
10
PF-03882845, a non-steroidal mineralocorticoid receptor antagonist, prevents renal injury with reduced risk of hyperkalemia in an animal model of nephropathy.PF-03882845,一种非甾体类盐皮质激素受体拮抗剂,可预防肾病动物模型的肾损伤,同时降低高钾血症风险。
Front Pharmacol. 2013 Oct 14;4:115. doi: 10.3389/fphar.2013.00115. eCollection 2013.
J Clin Invest. 1982 May;69(5):1169-75. doi: 10.1172/jci110553.
4
Formation of basement membranes in the embryonic kidney: an immunohistological study.胚胎肾中基底膜的形成:一项免疫组织学研究。
J Cell Biol. 1981 Oct;91(1):1-10. doi: 10.1083/jcb.91.1.1.
5
Methods in laboratory investigation. Monoclonal antibodies to type IV collagen: probes for the study of structure and function of basement membranes.实验室研究方法。抗IV型胶原单克隆抗体:用于研究基底膜结构与功能的探针。
Lab Invest. 1983 May;48(5):639-49.
6
Stages of renal ontogenesis identified by monoclonal antibodies reactive with lymphohemopoietic differentiation antigens.通过与淋巴细胞造血分化抗原发生反应的单克隆抗体鉴定的肾脏发育阶段。
J Exp Med. 1983 Jan 1;157(1):155-72. doi: 10.1084/jem.157.1.155.
7
Structural-functional relationships in diabetic nephropathy.糖尿病肾病中的结构-功能关系
J Clin Invest. 1984 Oct;74(4):1143-55. doi: 10.1172/JCI111523.
8
Polyantigenic expansion of basement membrane constituents in diabetic nephropathy.糖尿病肾病中基底膜成分的多抗原性扩增。
Diabetes. 1983 May;32 Suppl 2:34-9. doi: 10.2337/diab.32.2.s34.
9
Selective binding of IgG4 and other negatively charged plasma proteins in normal and diabetic human kidneys.IgG4及其他带负电荷血浆蛋白在正常和糖尿病患者人肾脏中的选择性结合
Am J Pathol. 1984 Jun;115(3):443-6.
10
Monoclonal antibody to type IV collagen with selective basement membrane localization.具有选择性基底膜定位的IV型胶原单克隆抗体。
Lab Invest. 1984 Jan;50(1):101-12.