• 文献检索
  • 文档翻译
  • 深度研究
  • 学术资讯
  • Suppr Zotero 插件Zotero 插件
  • 邀请有礼
  • 套餐&价格
  • 历史记录
应用&插件
Suppr Zotero 插件Zotero 插件浏览器插件Mac 客户端Windows 客户端微信小程序
定价
高级版会员购买积分包购买API积分包
服务
文献检索文档翻译深度研究API 文档MCP 服务
关于我们
关于 Suppr公司介绍联系我们用户协议隐私条款
关注我们

Suppr 超能文献

核心技术专利:CN118964589B侵权必究
粤ICP备2023148730 号-1Suppr @ 2026

文献检索

告别复杂PubMed语法,用中文像聊天一样搜索,搜遍4000万医学文献。AI智能推荐,让科研检索更轻松。

立即免费搜索

文件翻译

保留排版,准确专业,支持PDF/Word/PPT等文件格式,支持 12+语言互译。

免费翻译文档

深度研究

AI帮你快速写综述,25分钟生成高质量综述,智能提取关键信息,辅助科研写作。

立即免费体验

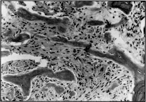
胫骨远端骨旁骨肉瘤

Parosteal osteosarcoma of the distal tibia.

作者信息

Fleming W K

机构信息

Medical College of Virginia, Richmond.

出版信息

J Natl Med Assoc. 1991 Jan;83(1):81-4.

PMID:1994072
原文链接:https://pmc.ncbi.nlm.nih.gov/articles/PMC2627013/
Abstract

We report on the case of a 24-year-old black male who presented to the orthopedic service with a parosteal osteosarcoma of the distal tibia. There have been 206 cases reported on this tumor in all the world's literature, with the distal femur being the most common location; this case report is rare, therefore, because of the unusual location of the tumor. This article was prepared in order to familiarize the general medical community with the occurrence of the tumor and to provide some general background information and treatment recommendations for parosteal osteosarcoma.

摘要

我们报告了一例24岁黑人男性患者,其因胫骨远端骨旁骨肉瘤就诊于骨科。在全世界的文献中,关于这种肿瘤的报道有206例,最常见的发病部位是股骨远端;因此,本病例报告较为罕见,因为肿瘤的发病部位不同寻常。撰写本文是为了让普通医学界了解该肿瘤的发病情况,并提供一些关于骨旁骨肉瘤的一般背景信息和治疗建议。

https://cdn.ncbi.nlm.nih.gov/pmc/blobs/804c/2627013/a123ee5507c2/jnma00879-0101-b.jpg
https://cdn.ncbi.nlm.nih.gov/pmc/blobs/804c/2627013/3cab9fcd9d88/jnma00879-0100-a.jpg
https://cdn.ncbi.nlm.nih.gov/pmc/blobs/804c/2627013/240dc089aaab/jnma00879-0100-b.jpg
https://cdn.ncbi.nlm.nih.gov/pmc/blobs/804c/2627013/ad6194fa9e83/jnma00879-0101-a.jpg
https://cdn.ncbi.nlm.nih.gov/pmc/blobs/804c/2627013/a123ee5507c2/jnma00879-0101-b.jpg
https://cdn.ncbi.nlm.nih.gov/pmc/blobs/804c/2627013/3cab9fcd9d88/jnma00879-0100-a.jpg
https://cdn.ncbi.nlm.nih.gov/pmc/blobs/804c/2627013/240dc089aaab/jnma00879-0100-b.jpg
https://cdn.ncbi.nlm.nih.gov/pmc/blobs/804c/2627013/ad6194fa9e83/jnma00879-0101-a.jpg
https://cdn.ncbi.nlm.nih.gov/pmc/blobs/804c/2627013/a123ee5507c2/jnma00879-0101-b.jpg

相似文献

1
Parosteal osteosarcoma of the distal tibia.胫骨远端骨旁骨肉瘤
J Natl Med Assoc. 1991 Jan;83(1):81-4.
2
Parosteal osteosarcoma.骨旁骨肉瘤
J Kans Med Soc. 1982 May;83(5):233-5.
3
Osteoblastoma-like osteosarcoma of the distal tibia.胫骨远端骨母细胞瘤样骨肉瘤
Skeletal Radiol. 2002 Mar;31(3):179-82. doi: 10.1007/s00256-001-0458-8. Epub 2002 Jan 23.
4
[The rare types of parosteal osteosarcoma (report of 3 cases)].[骨旁骨肉瘤的罕见类型(3例报告)]
Zhonghua Fang She Xue Za Zhi. 1986 Feb;20(1):8-11.
5
The radiographic spectrum of periosteal osteosarcoma.骨膜骨肉瘤的影像学表现谱
Radiology. 1978 Apr;127(1):123-9. doi: 10.1148/127.1.123.
6
[Local spreading of osteogenic sarcoma according to complex radiographic data].[根据复杂影像学数据分析骨肉瘤的局部扩散情况]
Vestn Rentgenol Radiol. 1982 Nov-Dec(6):35-41.
7
Case report 214. Osteosarcoma (high grade) of the upper end of the tibia.病例报告214. 胫骨上端骨肉瘤(高级别)。
Skeletal Radiol. 1982;9(2):129-31. doi: 10.1007/BF00360498.
8
Parosteal osteosarcoma: a case report.骨旁骨肉瘤:一例报告。
Zhonghua Yi Xue Za Zhi (Taipei). 1991 Oct;48(4):318-21.
9
Intracortical osteosarcoma of the tibia in a 14-year-old girl.一名14岁女孩的胫骨皮质内骨肉瘤。
J Pediatr Orthop B. 2011 Jul;20(4):249-51. doi: 10.1097/BPB.0b013e32834410ab.
10
Epiphyseal osteosarcoma revisited: four illustrative cases with unusual histopathology and literature review.骨骺骨肉瘤再探讨:四例具有不寻常组织病理学表现的病例及文献综述
APMIS. 2015 Jan;123(1):9-17. doi: 10.1111/apm.12300. Epub 2014 Sep 22.

本文引用的文献

1
Parosteal osteoma of bone: a new entity.骨旁骨瘤:一种新的实体。
Ann Surg. 1951 Jun;133(6):790-807. doi: 10.1097/00000658-195106000-00006.
2
The surgical treatment of parosteal osteosarcoma in long bones.长骨骨旁骨肉瘤的外科治疗
J Bone Joint Surg Am. 1985 Jan;67(1):125-35.
3
Osteosarcomas arising on the surfaces of long bones.发生于长骨表面的骨肉瘤。
J Bone Joint Surg Am. 1988 Apr;70(4):555-64.