Suppr超能文献

急性纤维素性机化性肺炎:一例病例报告及文献综述

Acute fibrinous and organising pneumonia: a case report and review of the literature.

作者信息

Tzouvelekis Argyris, Koutsopoulos Anastasios, Oikonomou Anastasia, Froudarakis Marios, Zarogoulidis Pavlos, Steiropoulos Paschalis, Mikroulis Dimitrios, Antoniades Antonis, Bouros Demosthenes

机构信息

Department of Pneumonology, Medical School, Democritus University of Thrace, Alexandroupolis 68100, Greece.

出版信息

J Med Case Rep. 2009 Oct 12;3:74. doi: 10.1186/1752-1947-3-74.

Abstract

INTRODUCTION

Organising pneumonia is a distinct histopathological entity characterized by intra-alveolar buds of granulation tissue, called Masson bodies, which mainly comprise of activated fibroblasts and loose connective tissue. This histopathologic pattern has been described in idiopathic cases, characterizing cryptogenic organising pneumonia as well as in the context of pulmonary infection, drug-induced pneumonitis and following lung transplantation. Although distinct as a clinical and pathological entity, community organising pneumonia may present with atypical clinical and pathological features, such as intra-alveolar fillings of fibrin balls and organising tissue that resembles acute respiratory distress syndrome or diffuse alveolar damage. The latter characteristics constitute a recently described anatomoclinical entity called acute fibrinous and organising pneumonia.

CASE PRESENTATION

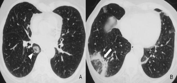
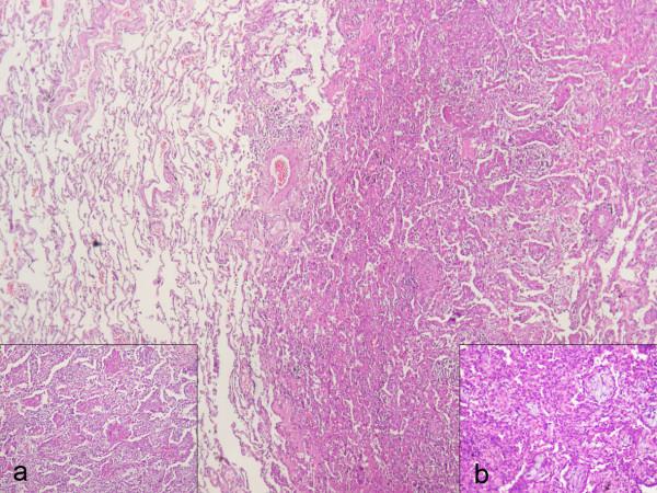
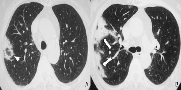
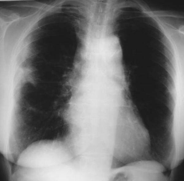
Here, we describe a rare case of acute fibrinous and organising pneumonia, in an otherwise healthy 65-year-old Greek woman who complained of dry cough, fever, weight loss and progressive dyspnoea. She had never been a smoker. Her clinical symptoms showed a rapid deterioration in the two weeks before admission, despite a course of oral antibiotics. After excluding infection and malignancy with routine laboratory tests and flexible bronchoscopy, high resolution computed tomography and video assisted thoracoscopic lung biopsy were performed. Diagnosis was based on radiological features typical of community organising pneumonia coupled with pathologic features characteristic of acute fibrinous and organising pneumonia. The patient was treated with corticosteroids and showed excellent clinical and radiological response three months after treatment initiation.

CONCLUSION

Acute fibrinous and organising pneumonia is an extremely rare pathologic entity, often misdiagnosed as typical community organising pneumonia. To our knowledge, this is the seventh case of acute fibrinous and organising pneumonia in the literature, with no identifiable cause or association in a female patient, with no underlying lung disease or known exposures and with an unremarkable previous medical history. We highlight the need for careful review of lung biopsies from patients with clinical and radiologic characteristics typical of community organising pneumonia. Although it remains uncertain whether fibrin alters the favourable prognosis and treatment response of community organising pneumonia, it becomes obvious that a thorough pathologic review, apart from establishing the diagnosis of acute fibrinous and organising pneumonia, may predict a more unfavorable outcome therefore alerting the clinician to administer more aggressive and prolonged therapeutic regimens.

摘要

引言

机化性肺炎是一种独特的组织病理学实体,其特征为肺泡内出现肉芽组织芽,即马松小体,主要由活化的成纤维细胞和疏松结缔组织组成。这种组织病理学模式已在特发性病例中被描述,表现为隐源性机化性肺炎,也见于肺部感染、药物性肺炎以及肺移植后。尽管作为一种临床和病理实体具有独特性,但社区获得性机化性肺炎可能呈现非典型的临床和病理特征,如肺泡内充满纤维蛋白球以及类似急性呼吸窘迫综合征或弥漫性肺泡损伤的机化组织。后一种特征构成了最近描述的一种解剖临床实体,称为急性纤维蛋白性和机化性肺炎。

病例介绍

在此,我们描述一例罕见的急性纤维蛋白性和机化性肺炎病例,患者为一名65岁健康的希腊女性,主诉干咳、发热、体重减轻和进行性呼吸困难。她从不吸烟。尽管接受了口服抗生素治疗,但在入院前两周她的临床症状迅速恶化。通过常规实验室检查和可弯曲支气管镜检查排除感染和恶性肿瘤后,进行了高分辨率计算机断层扫描和电视辅助胸腔镜肺活检。诊断基于社区获得性机化性肺炎的典型放射学特征以及急性纤维蛋白性和机化性肺炎的特征性病理特征。患者接受了皮质类固醇治疗,治疗开始三个月后临床和放射学反应良好。

结论

急性纤维蛋白性和机化性肺炎是一种极其罕见的病理实体,常被误诊为典型的社区获得性机化性肺炎。据我们所知,这是文献中第七例急性纤维蛋白性和机化性肺炎病例,该女性患者无明确病因或关联因素,无潜在肺部疾病或已知暴露史,既往病史无异常。我们强调对于具有社区获得性机化性肺炎典型临床和放射学特征的患者,需要仔细复查肺活检结果。尽管纤维蛋白是否会改变社区获得性机化性肺炎的良好预后和治疗反应仍不确定,但很明显,除了确立急性纤维蛋白性和机化性肺炎的诊断外,全面的病理复查可能预示预后更差,从而提醒临床医生采用更积极和延长的治疗方案。

https://cdn.ncbi.nlm.nih.gov/pmc/blobs/947c/2783073/b53151b78034/1752-1947-3-74-1.jpg

文献AI研究员

20分钟写一篇综述,助力文献阅读效率提升50倍。

立即体验

用中文搜PubMed

大模型驱动的PubMed中文搜索引擎

马上搜索

文档翻译

学术文献翻译模型,支持多种主流文档格式。

立即体验