Suppr超能文献

P311 在 IgA 肾病患者肾脏中的表达,P311 是一种转化生长因子β 潜伏相关蛋白结合蛋白。

Expression of P311, a transforming growth factor beta latency-associated protein-binding protein, in human kidneys with IgA nephropathy.

机构信息

Department of Nephrology, Sichuan University West China Hospital, No. 37 Guoxue Xiang, 610041 Wu Hou District, Chengdu, Sichuan Province, China.

出版信息

Int Urol Nephrol. 2010 Sep;42(3):811-9. doi: 10.1007/s11255-009-9681-3. Epub 2009 Nov 28.

Abstract

BACKGROUND

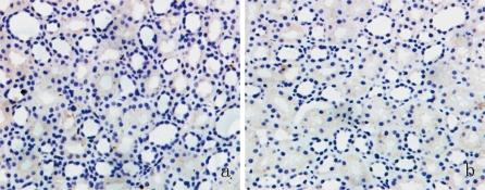
In cultured NIH3T3 cells, P311 binds to the transforming growth factor-beta (TGF-β)-1 latency-associated protein (LAP) and induces the myofibroblast phenotype. In this study, we determined the levels of P311 and TGF-β1 proteins in tubulointerstitial tissue of patients with different severities of immunoglobulin-A nephropathy (IgAN), and analyzed the relationships between P311 protein expression and clinical data.

METHODS

A total of 57 patients with IgAN and 5 controls (from partial nephrectomy) were included. P311 and TGF-β1 protein expression were measured by immunohistochemistry and clinical data (proteinuria, serum creatinine (Scr), eGFR and biopsy index) were recorded. The relationship between P311, TGF-β1, and clinical data was analyzed.

RESULTS

P311 expression was significantly higher in the kidneys of IgAN patients than in controls and was higher in patients with advanced pathological grades of IgAN. P311 protein expression in tubulointerstitial tissue correlated with TGF-β1 and proteinuria. P311 expression was higher in patients with Scr > 133 μmol/L than in patients with Scr < 133 μmol/L.

CONCLUSION

P311 protein expression in the kidneys of IgAN patients correlates with TGF-β1 expression and with proteinuria. P311 might be a key cytokine in renal fibrosis and be involved in the progression of IgAN.

摘要

背景

在培养的 NIH3T3 细胞中,P311 与转化生长因子-β(TGF-β)-1 潜伏相关蛋白(LAP)结合,诱导肌成纤维细胞表型。在这项研究中,我们测定了不同严重程度的免疫球蛋白 A 肾病(IgAN)患者肾小管间质组织中的 P311 和 TGF-β1 蛋白水平,并分析了 P311 蛋白表达与临床数据之间的关系。

方法

共纳入 57 例 IgAN 患者和 5 例对照(来自部分肾切除术)。采用免疫组化法测定 P311 和 TGF-β1 蛋白表达,并记录临床数据(蛋白尿、血清肌酐(Scr)、eGFR 和活检指标)。分析 P311 与 TGF-β1 与临床数据之间的关系。

结果

IgAN 患者肾脏中 P311 表达明显高于对照组,且 IgAN 患者的病理分级较高。肾小管间质组织中 P311 蛋白表达与 TGF-β1 和蛋白尿相关。Scr>133μmol/L 的患者 P311 表达高于 Scr<133μmol/L 的患者。

结论

IgAN 患者肾脏中 P311 蛋白表达与 TGF-β1 表达和蛋白尿相关。P311 可能是肾脏纤维化的关键细胞因子,并参与 IgAN 的进展。

https://cdn.ncbi.nlm.nih.gov/pmc/blobs/47b8/2974213/0aca17b24f4f/11255_2009_9681_Fig1_HTML.jpg

相似文献

3
P311 binds to the latency associated protein and downregulates the expression of TGF-beta1 and TGF-beta2.
Biochem Biophys Res Commun. 2004 Mar 19;315(4):1104-9. doi: 10.1016/j.bbrc.2004.01.171.
4
P311 Promotes Lung Fibrosis via Stimulation of Transforming Growth Factor-β1, -β2, and -β3 Translation.
Am J Respir Cell Mol Biol. 2019 Feb;60(2):221-231. doi: 10.1165/rcmb.2018-0028OC.
6
Toll-like receptor 4 is involved in a protective effect of rhein on immunoglobulin A nephropathy.
Indian J Pharmacol. 2015 Jan-Feb;47(1):27-33. doi: 10.4103/0253-7613.150319.
7
Role of P311 in interleukin-1α-induced epithelial to myofibroblast transition in kidney tubular epithelial cells.
Ren Fail. 2015;37(8):1384-9. doi: 10.3109/0886022X.2015.1073557. Epub 2015 Sep 3.
8
The Role of Renal Macrophage, AIM, and TGF-β1 Expression in Renal Fibrosis Progression in IgAN Patients.
Front Immunol. 2021 Jun 14;12:646650. doi: 10.3389/fimmu.2021.646650. eCollection 2021.
10
Blood TGF-β1 and miRNA-21-5p levels predict renal fibrosis and outcome in IgA nephropathy.
Int Urol Nephrol. 2023 Jun;55(6):1557-1564. doi: 10.1007/s11255-023-03464-w. Epub 2023 Jan 17.

引用本文的文献

1
RNA-binding proteins and their role in kidney disease.
Nat Rev Nephrol. 2022 Mar;18(3):153-170. doi: 10.1038/s41581-021-00497-1. Epub 2021 Nov 3.
2
P311, Friend, or Foe of Tissue Fibrosis?
Front Pharmacol. 2018 Oct 12;9:1151. doi: 10.3389/fphar.2018.01151. eCollection 2018.
3
P311 promotes renal fibrosis via TGFβ1/Smad signaling.
Sci Rep. 2015 Nov 30;5:17032. doi: 10.1038/srep17032.
4
The role of the TGF-β family in wound healing, burns and scarring: a review.
Int J Burns Trauma. 2012;2(1):18-28. Epub 2012 Feb 5.

本文引用的文献

1
Latency associated peptide has in vitro and in vivo immune effects independent of TGF-beta1.
PLoS One. 2008 Apr 2;3(4):e1914. doi: 10.1371/journal.pone.0001914.
2
Integrins and the activation of latent transforming growth factor beta1 - an intimate relationship.
Eur J Cell Biol. 2008 Sep;87(8-9):601-15. doi: 10.1016/j.ejcb.2008.01.012. Epub 2008 Mar 14.
3
Mesangial autoantigens in IgA nephropathy: matrix synthesis and localization.
J Lab Clin Med. 2006 Jun;147(6):301-9. doi: 10.1016/j.lab.2006.02.001.
4
Mechanisms of tubulointerstitial fibrosis.
Curr Opin Nephrol Hypertens. 2004 May;13(3):279-84. doi: 10.1097/00041552-200405000-00003.
5
P311 binds to the latency associated protein and downregulates the expression of TGF-beta1 and TGF-beta2.
Biochem Biophys Res Commun. 2004 Mar 19;315(4):1104-9. doi: 10.1016/j.bbrc.2004.01.171.
8
P311 induces a TGF-beta1-independent, nonfibrogenic myofibroblast phenotype.
J Clin Invest. 2002 Nov;110(9):1349-58. doi: 10.1172/JCI15614.
9
Tubular phenotypic change in progressive tubulointerstitial fibrosis in human glomerulonephritis.
Am J Kidney Dis. 2001 Oct;38(4):761-9. doi: 10.1053/ajkd.2001.27693.
10
Regulation of renal proximal tubular epithelial cell fibroblast growth factor-2 generation by heparin.
Am J Kidney Dis. 2001 Sep;38(3):597-609. doi: 10.1053/ajkd.2001.26886.

文献AI研究员

20分钟写一篇综述,助力文献阅读效率提升50倍。

立即体验

用中文搜PubMed

大模型驱动的PubMed中文搜索引擎

马上搜索

文档翻译

学术文献翻译模型,支持多种主流文档格式。

立即体验