Suppr超能文献

人肾中的两种脂肪酸结合蛋白。分离、特性鉴定及定位

Two types of fatty acid-binding protein in human kidney. Isolation, characterization and localization.

作者信息

Maatman R G, Van Kuppevelt T H, Veerkamp J H

机构信息

Department of Biochemistry, University of Nijmegen, The Netherlands.

出版信息

Biochem J. 1991 Feb 1;273 ( Pt 3)(Pt 3):759-66. doi: 10.1042/bj2730759.

Abstract

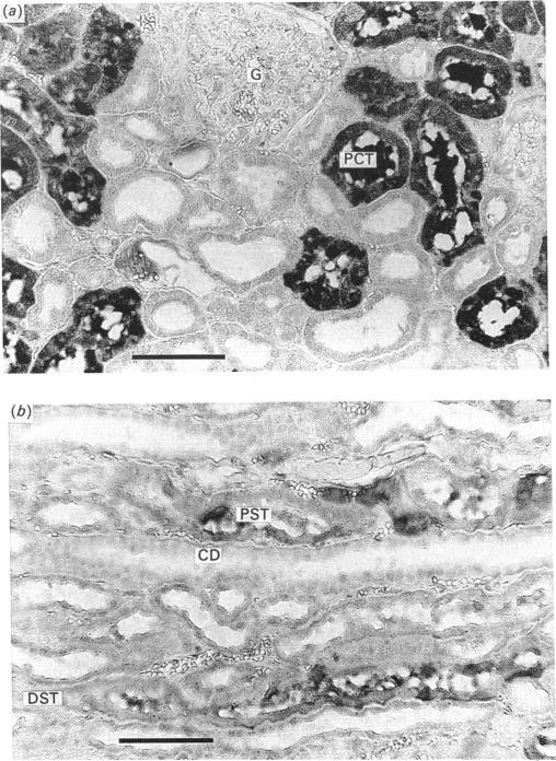
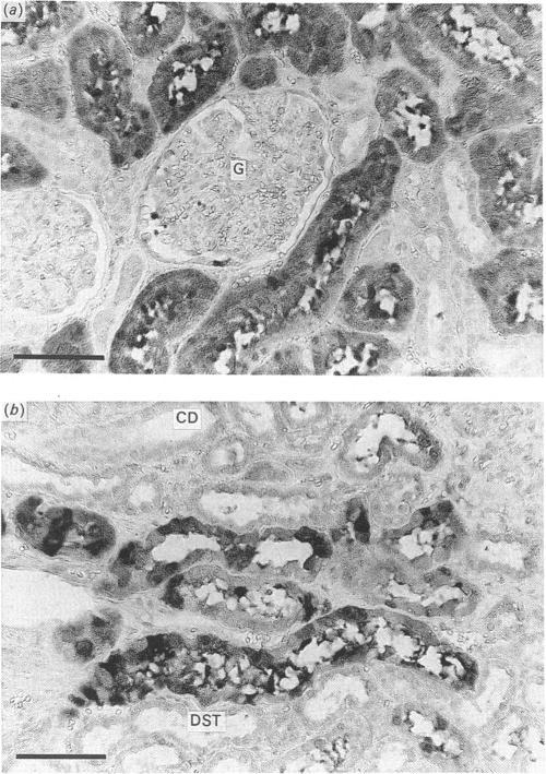
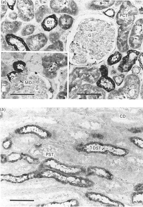
Two types of fatty acid-binding protein (FABP) were isolated from human kidney by gel filtration and ion-exchange chromatography. Northern-blot analysis showed the presence of two FABP transcripts in total kidney RNA, hybridizing with cDNA of human liver and muscle FABP respectively. Characterisation based on molecular mass, isoelectric point, fluorescence with dansylaminoundecanoic acid and immunological cross-reactivity showed that one, type B, was fairly similar to human heart FABP. The other, type A, showed, like human liver FABP, a high fluorescence enhancement and a wavelength shift with dansylaminoundecanoic acid as well as the binding of a variety of ligands. Antibodies raised against FABP type A and against liver FABP markedly cross-reacted in e.l.i.s.a., in Western blotting and in indirect immunoperoxidase staining on kidney and liver sections. Differences in amino acid composition and isoelectric points, however, indicate that type A is a new kidney-specific FABP type. The FABP type A is more abundant in kidney than the B type and is predominantly localized in the cortex, especially in the cells of the proximal tubules. The FABP type B is mainly present in the cells of the distal tubules. In conclusion, this study shows the presence of two types of FABP in the kidney. One type seems to be related to heart FABP, while the other type resembles, but is not identical with, liver FABP. Both types have a characteristic cellular distribution along the nephron.

摘要

通过凝胶过滤和离子交换色谱法从人肾中分离出两种脂肪酸结合蛋白(FABP)。Northern印迹分析表明,在总肾RNA中存在两种FABP转录本,分别与人肝和肌肉FABP的cDNA杂交。基于分子量、等电点、丹磺酰氨基十一烷酸荧光和免疫交叉反应性的表征表明,其中一种B型与人心FABP相当相似。另一种A型,与人肝FABP一样,丹磺酰氨基十一烷酸具有高荧光增强和波长偏移以及多种配体的结合。针对A型FABP和肝FABP产生的抗体在酶联免疫吸附测定(ELISA)、蛋白质印迹法以及肾和肝切片的间接免疫过氧化物酶染色中均有明显的交叉反应。然而,氨基酸组成和等电点的差异表明,A型是一种新的肾特异性FABP类型。A型FABP在肾中的含量比B型丰富,主要定位于皮质,尤其是近端小管的细胞中。B型FABP主要存在于远端小管的细胞中。总之,本研究表明肾中存在两种类型的FABP。一种类型似乎与心FABP相关,而另一种类型与肝FABP相似,但并不相同。两种类型在肾单位中均有特征性的细胞分布。

https://cdn.ncbi.nlm.nih.gov/pmc/blobs/aa43/1149828/b955784c3576/biochemj00166-0259-a.jpg

文献检索

告别复杂PubMed语法,用中文像聊天一样搜索,搜遍4000万医学文献。AI智能推荐,让科研检索更轻松。

立即免费搜索

文件翻译

保留排版,准确专业,支持PDF/Word/PPT等文件格式,支持 12+语言互译。

免费翻译文档

深度研究

AI帮你快速写综述,25分钟生成高质量综述,智能提取关键信息,辅助科研写作。

立即免费体验