• 文献检索
  • 文档翻译
  • 深度研究
  • 学术资讯
  • Suppr Zotero 插件Zotero 插件
  • 邀请有礼
  • 套餐&价格
  • 历史记录
应用&插件
Suppr Zotero 插件Zotero 插件浏览器插件Mac 客户端Windows 客户端微信小程序
定价
高级版会员购买积分包购买API积分包
服务
文献检索文档翻译深度研究API 文档MCP 服务
关于我们
关于 Suppr公司介绍联系我们用户协议隐私条款
关注我们

Suppr 超能文献

核心技术专利:CN118964589B侵权必究
粤ICP备2023148730 号-1Suppr @ 2026

文献检索

告别复杂PubMed语法,用中文像聊天一样搜索,搜遍4000万医学文献。AI智能推荐,让科研检索更轻松。

立即免费搜索

文件翻译

保留排版,准确专业,支持PDF/Word/PPT等文件格式,支持 12+语言互译。

免费翻译文档

深度研究

AI帮你快速写综述,25分钟生成高质量综述,智能提取关键信息,辅助科研写作。

立即免费体验

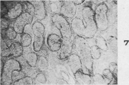
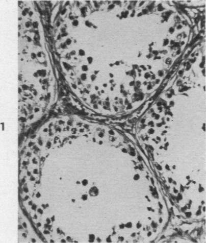
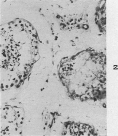
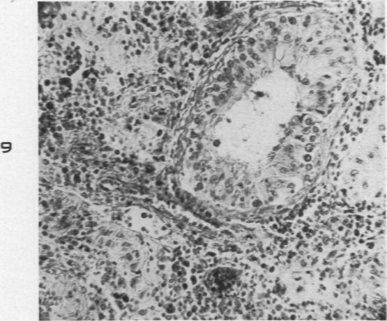
The Histopathology of Acute Mumps Orchitis.

作者信息

Gall E A

出版信息

Am J Pathol. 1947 Jul;23(4):637-51.

PMID:19970951
原文链接:https://pmc.ncbi.nlm.nih.gov/articles/PMC1934294/
Abstract
摘要
https://cdn.ncbi.nlm.nih.gov/pmc/blobs/31ba/1934294/527bbe14b77d/amjpathol00501-0139-b.jpg
https://cdn.ncbi.nlm.nih.gov/pmc/blobs/31ba/1934294/6a3564391d4c/amjpathol00501-0135-a.jpg
https://cdn.ncbi.nlm.nih.gov/pmc/blobs/31ba/1934294/c8e4d4d27b9b/amjpathol00501-0135-b.jpg
https://cdn.ncbi.nlm.nih.gov/pmc/blobs/31ba/1934294/3cec4de76b0c/amjpathol00501-0135-c.jpg
https://cdn.ncbi.nlm.nih.gov/pmc/blobs/31ba/1934294/a114cad46501/amjpathol00501-0135-d.jpg
https://cdn.ncbi.nlm.nih.gov/pmc/blobs/31ba/1934294/47d64e47c833/amjpathol00501-0137-a.jpg
https://cdn.ncbi.nlm.nih.gov/pmc/blobs/31ba/1934294/f7013044f9bb/amjpathol00501-0137-b.jpg
https://cdn.ncbi.nlm.nih.gov/pmc/blobs/31ba/1934294/5c9913ecea40/amjpathol00501-0137-c.jpg
https://cdn.ncbi.nlm.nih.gov/pmc/blobs/31ba/1934294/c758f2717739/amjpathol00501-0137-d.jpg
https://cdn.ncbi.nlm.nih.gov/pmc/blobs/31ba/1934294/39c628dc4b3e/amjpathol00501-0139-a.jpg
https://cdn.ncbi.nlm.nih.gov/pmc/blobs/31ba/1934294/527bbe14b77d/amjpathol00501-0139-b.jpg
https://cdn.ncbi.nlm.nih.gov/pmc/blobs/31ba/1934294/6a3564391d4c/amjpathol00501-0135-a.jpg
https://cdn.ncbi.nlm.nih.gov/pmc/blobs/31ba/1934294/c8e4d4d27b9b/amjpathol00501-0135-b.jpg
https://cdn.ncbi.nlm.nih.gov/pmc/blobs/31ba/1934294/3cec4de76b0c/amjpathol00501-0135-c.jpg
https://cdn.ncbi.nlm.nih.gov/pmc/blobs/31ba/1934294/a114cad46501/amjpathol00501-0135-d.jpg
https://cdn.ncbi.nlm.nih.gov/pmc/blobs/31ba/1934294/47d64e47c833/amjpathol00501-0137-a.jpg
https://cdn.ncbi.nlm.nih.gov/pmc/blobs/31ba/1934294/f7013044f9bb/amjpathol00501-0137-b.jpg
https://cdn.ncbi.nlm.nih.gov/pmc/blobs/31ba/1934294/5c9913ecea40/amjpathol00501-0137-c.jpg
https://cdn.ncbi.nlm.nih.gov/pmc/blobs/31ba/1934294/c758f2717739/amjpathol00501-0137-d.jpg
https://cdn.ncbi.nlm.nih.gov/pmc/blobs/31ba/1934294/39c628dc4b3e/amjpathol00501-0139-a.jpg
https://cdn.ncbi.nlm.nih.gov/pmc/blobs/31ba/1934294/527bbe14b77d/amjpathol00501-0139-b.jpg

相似文献

1
The Histopathology of Acute Mumps Orchitis.急性腮腺炎睾丸炎的组织病理学
Am J Pathol. 1947 Jul;23(4):637-51.
2
Treatment of orchitis of mumps.腮腺炎睾丸炎的治疗。
J Urol. 1945 Dec;54:547. doi: 10.1016/S0022-5347(17)70111-5.
3
Mumps orchitis; surgical treatment.流行性腮腺炎睾丸炎;外科治疗
J Urol. 1946 Nov;56(5):554-60. doi: 10.1016/S0022-5347(17)69843-4.
4
Pre-mumps encephalitis; mumps; post-mumps orchitis.腮腺炎前驱性脑炎;腮腺炎;腮腺炎后睾丸炎。
Arch Pediatr (N Y). 1947 May;64(5):251-4.
5
Surgical treatment of mumps orchitis.流行性腮腺炎睾丸炎的外科治疗
Urol Cutaneous Rev. 1947 May;51(5):257.
6
Diethylstilbestrol in the prevention of orchitis following mumps.己烯雌酚预防流行性腮腺炎后睾丸炎
R I Med J. 1946 Sep;29:662.
7
Immune serum globulin (gamma-globulin) in the prophylaxis of mumps orchitis.免疫血清球蛋白(丙种球蛋白)在预防流行性腮腺炎睾丸炎中的应用
Mil Surg. 1946 Sep;99:199-202.
8
[Diethylstilbestrol therapy of orchitis in epidemic parotitis].[己烯雌酚治疗流行性腮腺炎睾丸炎]
Ugeskr Laeger. 1952 Jun 19;114(25):821-2.
9
Diethylstilbestrol in mumps orchitis; prophylactic and therapeutic use.
J Am Med Assoc. 1949 Jun 25;140(8):662-5. doi: 10.1001/jama.1949.02900430004002.
10
Priapism: an unusual complication of parotitis without orchitis.
J Urol. 1976 May;115(5):613. doi: 10.1016/s0022-5347(17)59305-2.

引用本文的文献

1
Mumps and Splenic Abscess: Is There a Link?腮腺炎与脾脓肿:有关联吗?
Cureus. 2022 Dec 31;14(12):e33195. doi: 10.7759/cureus.33195. eCollection 2022 Dec.
2
Tale of Viruses in Male Infertility.病毒与男性不育症的故事。
Adv Exp Med Biol. 2022;1358:275-323. doi: 10.1007/978-3-030-89340-8_13.
3
Testicular pathology in fatal COVID-19: A descriptive autopsy study.COVID-19 相关死亡病例的睾丸病理学表现:一项尸检描述性研究。
Andrology. 2022 Jan;10(1):13-23. doi: 10.1111/andr.13073. Epub 2021 Jul 16.
4
Testicular atrophy after mumps orchitis: ultrasonographic findings.流行性腮腺炎睾丸炎后的睾丸萎缩:超声检查结果
Ultrasonography. 2020 Jul;39(3):266-271. doi: 10.14366/usg.19097. Epub 2020 Feb 29.
5
A rare case of mumps orchitis.一例罕见的流行性腮腺炎睾丸炎病例。
J Pharm Bioallied Sci. 2015 Aug;7(Suppl 2):S773-5. doi: 10.4103/0975-7406.163555.
6
Focal non granulomatous orchitis in a patient with Crohn's disease.一名克罗恩病患者出现局灶性非肉芽肿性睾丸炎。
Diagn Pathol. 2015 Apr 28;10:39. doi: 10.1186/s13000-015-0273-5.
7
A histologic study of the auto-allergic testis lesion in the guinea pig.豚鼠自身免疫性睾丸病变的组织学研究。
J Exp Med. 1959 Mar 1;109(3):311-23. doi: 10.1084/jem.109.3.311.
8
[Fertility disorders caused by mumps orchitis].[腮腺炎睾丸炎引起的生育障碍]
Arch Klin Exp Dermatol. 1955;201(3):298-310.
9
[Histologic findings (testicular biopsy) in aspermia and azoospermia, and their treatment].[无精子症和重度少精子症的组织学检查结果(睾丸活检)及其治疗]
Arch Gynakol. 1954;184(3-4):420-58. doi: 10.1007/BF00976210.
10
Viruses in the mammalian male genital tract and their effects on the reproductive system.哺乳动物雄性生殖道中的病毒及其对生殖系统的影响。
Microbiol Mol Biol Rev. 2001 Jun;65(2):208-31 ; first and second pages, table of contents. doi: 10.1128/MMBR.65.2.208-231.2001.