Suppr超能文献

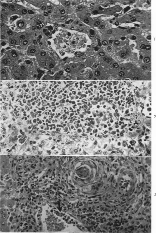
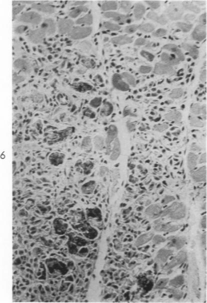
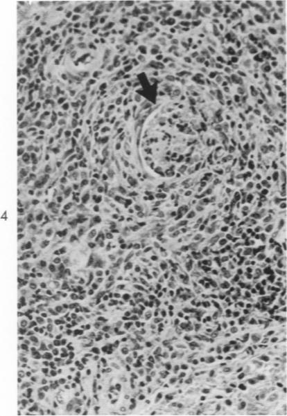
Homotransplantation of the Canine Liver as an Orthotopic Vascularized Graft: Histologic and Functional Correlations During Residence in the New Host.

作者信息

McBride R A, Wheeler H B, Smith L L, Moore F D, Dammin G J

出版信息

Am J Pathol. 1962 Nov;41(5):501-19.

Abstract
摘要
https://cdn.ncbi.nlm.nih.gov/pmc/blobs/4c4a/1949609/3e69ab650893/amjpathol00324-0019-a.jpg

文献检索

告别复杂PubMed语法,用中文像聊天一样搜索,搜遍4000万医学文献。AI智能推荐,让科研检索更轻松。

立即免费搜索

文件翻译

保留排版,准确专业,支持PDF/Word/PPT等文件格式,支持 12+语言互译。

免费翻译文档

深度研究

AI帮你快速写综述,25分钟生成高质量综述,智能提取关键信息,辅助科研写作。

立即免费体验