Suppr超能文献

副猪嗜血杆菌毒力相关三聚体自转运蛋白是体内表达的抗原蛋白。

Virulence-associated trimeric autotransporters of Haemophilus parasuis are antigenic proteins expressed in vivo.

机构信息

Centre de Recerca en Sanitat Animal (CReSA), UAB-IRTA, Campus de la Universitat Autònoma de Barcelona-Edifici CReSA, 08193 Bellaterra, Barcelona, Spain.

出版信息

Vet Res. 2010 May-Jun;41(3):26. doi: 10.1051/vetres/2009074. Epub 2009 Dec 10.

Abstract

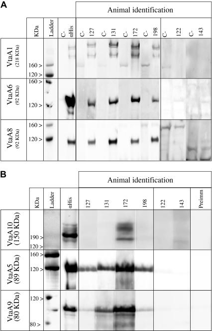
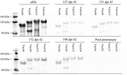
Glässer's disease is a re-emerging swine disease characterized by a severe septicaemia. Vaccination has been widely used to control the disease, although there is a lack of extended cross-protection. Trimeric autotransporters, a family of surface exposed proteins implicated in host-pathogen interactions, are good vaccine candidates. Members of this family have been described in Haemophilus parasuis and designated as virulence-associated trimeric autotransporters (VtaA). In this work, we produced 15 recombinant VtaA passenger domains and looked for the presence of antibodies directed against them in immune sera by immunoblotting. After infection with a subclinical dose of H. parasuis Nagasaki, an IgG mediated antibody response against 6 (VtaA1, 5, 6, 8, 9 and 10) of the 13 VtaA of the Nagasaki strain was detected, indicating that they are expressed in vivo. IgA production against VtaA was detected in only one animal. VtaA were more likely to be late antigens when compared to early (Omp P5 and Omp P6) and late (YaeT) defined antigens. Antibody cross-reaction with two orthologs of Nagasaki's VtaA5 and 6, VtaA15 and 16 of strain HP1319, was also detected. No antibodies against VtaA were detected in the sera of animals immunized with a bacterin of the Nagasaki strain, suggesting poor expression in the in vitro conditions used. Taken together, these results indicate that VtaA are good candidate immunogens that could be used to improve H. parasuis vaccines. However, their capacity to confer protective immunity needs to be further studied.

摘要

格拉泽氏病是一种新出现的猪病,以严重败血症为特征。疫苗接种已被广泛用于控制该疾病,尽管缺乏广泛的交叉保护。三聚体自转运体是一种与宿主-病原体相互作用有关的表面暴露蛋白家族,是很好的疫苗候选物。该家族的成员已在副猪嗜血杆菌中被描述,并被指定为与毒力相关的三聚体自转运体(VtaA)。在这项工作中,我们生产了 15 种重组 VtaA 载体结构域,并通过免疫印迹法寻找免疫血清中针对它们的抗体存在情况。在亚临床剂量的副猪嗜血杆菌 Nagasaki 感染后,检测到针对 Nagasaki 株 13 种 VtaA 中的 6 种(VtaA1、5、6、8、9 和 10)的 IgG 介导的抗体反应,表明它们在体内表达。仅在一只动物中检测到针对 VtaA 的 IgA 产生。与早期(Omp P5 和 Omp P6)和晚期(YaeT)定义的抗原相比,VtaA 更有可能是晚期抗原。还检测到与 Nagasaki 的 VtaA5 和 6、HP1319 株的 VtaA15 和 16 的两个同源物的抗体交叉反应。用 Nagasaki 株菌苗免疫的动物血清中未检测到针对 VtaA 的抗体,表明在体外条件下表达不佳。综上所述,这些结果表明 VtaA 是很好的候选免疫原,可以用于改进副猪嗜血杆菌疫苗。然而,它们赋予保护免疫的能力需要进一步研究。

https://cdn.ncbi.nlm.nih.gov/pmc/blobs/bec6/2820231/5f177be7fccd/vetres-41-26-fig1.jpg

文献AI研究员

20分钟写一篇综述,助力文献阅读效率提升50倍。

立即体验

用中文搜PubMed

大模型驱动的PubMed中文搜索引擎

马上搜索

文档翻译

学术文献翻译模型,支持多种主流文档格式。

立即体验