Suppr超能文献

伴有严重联合免疫缺陷和股骨弯曲的短身材/短肢骨骼发育不良:两例报告及文献复习

Short stature/short limb skeletal dysplasia with severe combined immunodeficiency and bowing of the femora: report of two patients and review.

作者信息

MacDermot K D, Winter R M, Wigglesworth J S, Strobel S

机构信息

Kennedy Galton Centre, Clinical Research Centre, Northwick Park Hospital, Harrow, Middlesex.

出版信息

J Med Genet. 1991 Jan;28(1):10-7. doi: 10.1136/jmg.28.1.10.

Abstract

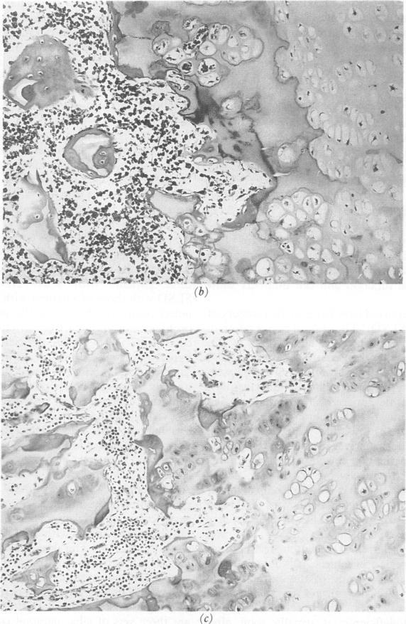
We report two patients with severe combined immunodeficiency and short stature/short limb skeletal dysplasia. Case 1 presented at birth with rhizomelic shortening of the extremities and bowing of the femora. She developed clinical signs of severe combined immunodeficiency at 13 months and died at 21 months. Case 2 had severe prenatal shortening and bowing of the extremities and a small, malformed chest. Symptoms of severe combined immunodeficiency and severe failure to thrive developed soon after birth and she died at 5 months. The diagnosis of severe combined immunodeficiency in our patients was based on their clinical course and necropsy findings, supported in case 1 by the results of immune function tests. The results of investigation of immune function (immunoglobulins, lymphocyte subpopulations, lymphocyte function) are very variable in this syndrome as in other variants of severe combined immunodeficiency. Bone histopathology in both patients showed grossly irregular costochondral junctions, but normal transition of proliferating to hypertrophic chondrocytes. These cases belong to early lethal type 1 short limb skeletal dysplasia with severe combined immunodeficiency. Review of previously published cases with severe combined immunodeficiency and well documented skeletal findings show eight patients with prenatal onset of bowing and shortening of the extremities and metaphyseal abnormalities. These include two sib pairs concordant for the skeletal changes. In these cases, adenosine deaminase levels were not reported. An additional four published cases with associated adenosine deaminase deficiency had only mild metaphyseal abnormalities, but subsequently showed no linear growth.(ABSTRACT TRUNCATED AT 250 WORDS)

摘要

我们报告了两名患有严重联合免疫缺陷及身材矮小/短肢骨骼发育不良的患者。病例1出生时即表现为肢体近端短小及股骨弯曲。她在13个月时出现严重联合免疫缺陷的临床症状,并于21个月时死亡。病例2在产前即有严重的肢体短小及弯曲,胸部小且畸形。出生后不久即出现严重联合免疫缺陷症状及严重发育不良,于5个月时死亡。我们患者的严重联合免疫缺陷诊断基于其临床病程及尸检结果,病例1的免疫功能测试结果也支持该诊断。与其他严重联合免疫缺陷变体一样,该综合征的免疫功能(免疫球蛋白、淋巴细胞亚群、淋巴细胞功能)检测结果差异很大。两名患者的骨组织病理学均显示肋软骨连接明显不规则,但增殖期软骨细胞向肥大期软骨细胞的转变正常。这些病例属于伴有严重联合免疫缺陷的早期致死型1短肢骨骼发育不良。回顾先前发表的伴有严重联合免疫缺陷且骨骼检查记录完善的病例,发现8例患者在产前出现肢体弯曲、短小及干骺端异常。其中包括两对骨骼变化一致的同胞。这些病例中未报告腺苷脱氨酶水平。另外4例已发表的伴有腺苷脱氨酶缺乏的病例仅有轻度干骺端异常,但随后未出现线性生长。(摘要截短于250字)

https://cdn.ncbi.nlm.nih.gov/pmc/blobs/9220/1016741/fb09894e57f0/jmedgene00027-0014-a.jpg

文献AI研究员

20分钟写一篇综述,助力文献阅读效率提升50倍。

立即体验

用中文搜PubMed

大模型驱动的PubMed中文搜索引擎

马上搜索

文档翻译

学术文献翻译模型,支持多种主流文档格式。

立即体验