• 文献检索
  • 文档翻译
  • 深度研究
  • 学术资讯
  • Suppr Zotero 插件Zotero 插件
  • 邀请有礼
  • 套餐&价格
  • 历史记录
应用&插件
Suppr Zotero 插件Zotero 插件浏览器插件Mac 客户端Windows 客户端微信小程序
定价
高级版会员购买积分包购买API积分包
服务
文献检索文档翻译深度研究API 文档MCP 服务
关于我们
关于 Suppr公司介绍联系我们用户协议隐私条款
关注我们

Suppr 超能文献

核心技术专利:CN118964589B侵权必究
粤ICP备2023148730 号-1Suppr @ 2026

文献检索

告别复杂PubMed语法,用中文像聊天一样搜索,搜遍4000万医学文献。AI智能推荐,让科研检索更轻松。

立即免费搜索

文件翻译

保留排版,准确专业,支持PDF/Word/PPT等文件格式,支持 12+语言互译。

免费翻译文档

深度研究

AI帮你快速写综述,25分钟生成高质量综述,智能提取关键信息,辅助科研写作。

立即免费体验

亚硝胺暴露会加重高脂肪饮食介导的 2 型糖尿病、非酒精性脂肪性肝炎和伴有认知障碍的神经退行性变。

Nitrosamine exposure exacerbates high fat diet-mediated type 2 diabetes mellitus, non-alcoholic steatohepatitis, and neurodegeneration with cognitive impairment.

机构信息

Department of Pathology (Neuropathology), Rhode Island Hospital, 593 Eddy Street, Providence, RI 02903 USA.

出版信息

Mol Neurodegener. 2009 Dec 24;4:54. doi: 10.1186/1750-1326-4-54.

DOI:10.1186/1750-1326-4-54
PMID:20034403
原文链接:https://pmc.ncbi.nlm.nih.gov/articles/PMC2803782/
Abstract

BACKGROUND

The current epidemics of type 2 diabetes mellitus (T2DM), non-alcoholic steatohepatitis (NASH), and Alzheimer's disease (AD) all represent insulin-resistance diseases. Previous studies linked insulin resistance diseases to high fat diets or exposure to streptozotocin, a nitrosamine-related compound that causes T2DM, NASH, and AD-type neurodegeneration. We hypothesize that low-level exposure to nitrosamines that are widely present in processed foods, amplifies the deleterious effects of high fat intake in promoting T2DM, NASH, and neurodegeneration.

METHODS

Long Evans rat pups were treated with N-nitrosodiethylamine (NDEA) by i.p. Injection, and upon weaning, they were fed with high fat (60%; HFD) or low fat (5%; LFD) chow for 6 weeks. Rats were evaluated for cognitive impairment, insulin resistance, and neurodegeneration using behavioral, biochemical, molecular, and histological methods.

RESULTS

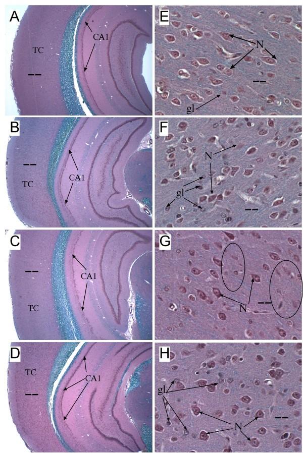
NDEA and HFD +/- NDEA caused T2DM, NASH, deficits in spatial learning, and neurodegeneration with hepatic and brain insulin and/or IGF resistance, and reductions in tau and choline acetyltransferase levels in the temporal lobe. In addition, pro-ceramide genes, which promote insulin resistance, were increased in livers and brains of rats exposed to NDEA, HFD, or both. In nearly all assays, the adverse effects of HFD+NDEA were worse than either treatment alone.

CONCLUSIONS

Environmental and food contaminant exposures to low, sub-mutagenic levels of nitrosamines, together with chronic HFD feeding, function synergistically to promote major insulin resistance diseases including T2DM, NASH, and AD-type neurodegeneration. Steps to minimize human exposure to nitrosamines and consumption of high-fat content foods are needed to quell these costly and devastating epidemics.

摘要

背景

目前 2 型糖尿病(T2DM)、非酒精性脂肪性肝炎(NASH)和阿尔茨海默病(AD)的流行都代表了胰岛素抵抗性疾病。先前的研究将胰岛素抵抗性疾病与高脂肪饮食或接触链脲佐菌素(一种导致 T2DM、NASH 和 AD 型神经退行性变的亚硝胺相关化合物)联系起来。我们假设,广泛存在于加工食品中的低水平亚硝胺暴露会放大高脂肪摄入对促进 T2DM、NASH 和神经退行性变的有害影响。

方法

长爪沙鼠幼崽通过腹腔注射接受 N-亚硝基二乙胺(NDEA)处理,断奶后,它们喂食高脂肪(60%;HFD)或低脂肪(5%;LFD)饲料 6 周。使用行为、生化、分子和组织学方法评估大鼠的认知障碍、胰岛素抵抗和神经退行性变。

结果

NDEA 和 HFD +/- NDEA 导致 T2DM、NASH、空间学习缺陷以及肝和脑胰岛素和/或 IGF 抵抗的神经退行性变,以及颞叶中 tau 和胆碱乙酰转移酶水平降低。此外,暴露于 NDEA、HFD 或两者的大鼠的肝脏和大脑中促进胰岛素抵抗的前神经酰胺基因增加。在几乎所有的测定中,HFD+NDEA 的不良影响比单独任何一种处理都更严重。

结论

环境和食物污染物暴露于低水平、亚致突变的亚硝胺,加上慢性 HFD 喂养,协同作用促进包括 T2DM、NASH 和 AD 型神经退行性变在内的主要胰岛素抵抗性疾病。需要采取措施减少人类对亚硝胺的暴露和减少高脂肪含量食物的摄入,以遏制这些代价高昂和毁灭性的流行。

https://cdn.ncbi.nlm.nih.gov/pmc/blobs/5954/2803782/1ab6d923b56a/1750-1326-4-54-8.jpg
https://cdn.ncbi.nlm.nih.gov/pmc/blobs/5954/2803782/d0843cd89f4f/1750-1326-4-54-1.jpg
https://cdn.ncbi.nlm.nih.gov/pmc/blobs/5954/2803782/c6b96215bd6d/1750-1326-4-54-2.jpg
https://cdn.ncbi.nlm.nih.gov/pmc/blobs/5954/2803782/ca0cd38dcf2b/1750-1326-4-54-3.jpg
https://cdn.ncbi.nlm.nih.gov/pmc/blobs/5954/2803782/2082f7b315a0/1750-1326-4-54-4.jpg
https://cdn.ncbi.nlm.nih.gov/pmc/blobs/5954/2803782/51aa6488dbf4/1750-1326-4-54-5.jpg
https://cdn.ncbi.nlm.nih.gov/pmc/blobs/5954/2803782/5d503ad08414/1750-1326-4-54-6.jpg
https://cdn.ncbi.nlm.nih.gov/pmc/blobs/5954/2803782/4ba36d4ea2f2/1750-1326-4-54-7.jpg
https://cdn.ncbi.nlm.nih.gov/pmc/blobs/5954/2803782/1ab6d923b56a/1750-1326-4-54-8.jpg
https://cdn.ncbi.nlm.nih.gov/pmc/blobs/5954/2803782/d0843cd89f4f/1750-1326-4-54-1.jpg
https://cdn.ncbi.nlm.nih.gov/pmc/blobs/5954/2803782/c6b96215bd6d/1750-1326-4-54-2.jpg
https://cdn.ncbi.nlm.nih.gov/pmc/blobs/5954/2803782/ca0cd38dcf2b/1750-1326-4-54-3.jpg
https://cdn.ncbi.nlm.nih.gov/pmc/blobs/5954/2803782/2082f7b315a0/1750-1326-4-54-4.jpg
https://cdn.ncbi.nlm.nih.gov/pmc/blobs/5954/2803782/51aa6488dbf4/1750-1326-4-54-5.jpg
https://cdn.ncbi.nlm.nih.gov/pmc/blobs/5954/2803782/5d503ad08414/1750-1326-4-54-6.jpg
https://cdn.ncbi.nlm.nih.gov/pmc/blobs/5954/2803782/4ba36d4ea2f2/1750-1326-4-54-7.jpg
https://cdn.ncbi.nlm.nih.gov/pmc/blobs/5954/2803782/1ab6d923b56a/1750-1326-4-54-8.jpg

相似文献

1
Nitrosamine exposure exacerbates high fat diet-mediated type 2 diabetes mellitus, non-alcoholic steatohepatitis, and neurodegeneration with cognitive impairment.亚硝胺暴露会加重高脂肪饮食介导的 2 型糖尿病、非酒精性脂肪性肝炎和伴有认知障碍的神经退行性变。
Mol Neurodegener. 2009 Dec 24;4:54. doi: 10.1186/1750-1326-4-54.
2
Early limited nitrosamine exposures exacerbate high fat diet-mediated type 2 diabetes and neurodegeneration.早期有限的亚硝胺暴露会加剧高脂肪饮食介导的 2 型糖尿病和神经退行性变。
BMC Endocr Disord. 2010 Mar 19;10:4. doi: 10.1186/1472-6823-10-4.
3
Nitrosamine exposure causes insulin resistance diseases: relevance to type 2 diabetes mellitus, non-alcoholic steatohepatitis, and Alzheimer's disease.亚硝胺暴露导致胰岛素抵抗性疾病:与 2 型糖尿病、非酒精性脂肪性肝炎和阿尔茨海默病的相关性。
J Alzheimers Dis. 2009;17(4):827-44.
4
Hepatic ceramide may mediate brain insulin resistance and neurodegeneration in type 2 diabetes and non-alcoholic steatohepatitis.肝脏神经酰胺可能在2型糖尿病和非酒精性脂肪性肝炎中介导脑胰岛素抵抗和神经退行性变。
J Alzheimers Dis. 2009;16(4):715-29. doi: 10.3233/JAD-2009-0984.
5
Mechanisms of nitrosamine-mediated neurodegeneration: potential relevance to sporadic Alzheimer's disease.亚硝胺介导的神经退行性变机制:与散发性阿尔茨海默病的潜在相关性。
J Alzheimers Dis. 2009;17(4):817-25. doi: 10.3233/JAD-2009-1098.
6
Epidemilogical trends strongly suggest exposures as etiologic agents in the pathogenesis of sporadic Alzheimer's disease, diabetes mellitus, and non-alcoholic steatohepatitis.流行病学趋势有力地表明,暴露因素是散发性阿尔茨海默病、糖尿病和非酒精性脂肪性肝炎发病机制中的致病因素。
J Alzheimers Dis. 2009;17(3):519-29. doi: 10.3233/JAD-2009-1070.
7
Ceramide-mediated insulin resistance and impairment of cognitive-motor functions.神经酰胺介导的胰岛素抵抗及认知运动功能障碍。
J Alzheimers Dis. 2010;21(3):967-84. doi: 10.3233/JAD-2010-091726.
8
Diabetes is a progression factor for hepatic fibrosis in a high fat fed mouse obesity model of non-alcoholic steatohepatitis.糖尿病是一种进展因素,可导致非酒精性脂肪性肝炎的高脂肪喂养肥胖小鼠模型中的肝纤维化。
J Hepatol. 2011 Aug;55(2):435-44. doi: 10.1016/j.jhep.2010.10.039. Epub 2010 Dec 22.
9
Mechanisms of ceramide-mediated neurodegeneration.神经酰胺介导的神经退行性变机制。
J Alzheimers Dis. 2009;16(4):705-14. doi: 10.3233/JAD-2009-0983.
10
C-type natriuretic peptide (CNP) in endothelial cells attenuates hepatic fibrosis and inflammation in non-alcoholic steatohepatitis.内皮细胞中的 C 型利钠肽(CNP)可减轻非酒精性脂肪性肝炎中的肝纤维化和炎症。
Life Sci. 2018 Sep 15;209:349-356. doi: 10.1016/j.lfs.2018.08.031. Epub 2018 Aug 13.

引用本文的文献

1
Factors associated with metabolic syndrome among adult residents in Dalian: a nested case-control study.大连成年居民中与代谢综合征相关的因素:一项巢式病例对照研究。
Front Endocrinol (Lausanne). 2025 Jul 17;16:1559176. doi: 10.3389/fendo.2025.1559176. eCollection 2025.
2
Excessive exposure to nitrate and nitrite boosts progression of isolated impaired fasting glucose to type 2 diabetes: a cohort study.一项队列研究表明:过度暴露于硝酸盐和亚硝酸盐会加速孤立性空腹血糖受损进展为2型糖尿病。
J Diabetes Metab Disord. 2024 Dec 16;24(1):8. doi: 10.1007/s40200-024-01517-0. eCollection 2025 Jun.
3
Dysregulated mTOR networks in experimental sporadic Alzheimer's disease.

本文引用的文献

1
Nitrosamine exposure causes insulin resistance diseases: relevance to type 2 diabetes mellitus, non-alcoholic steatohepatitis, and Alzheimer's disease.亚硝胺暴露导致胰岛素抵抗性疾病:与 2 型糖尿病、非酒精性脂肪性肝炎和阿尔茨海默病的相关性。
J Alzheimers Dis. 2009;17(4):827-44.
2
Alzheimer's disease is type 3 diabetes-evidence reviewed.阿尔茨海默病是3型糖尿病——证据综述。
J Diabetes Sci Technol. 2008 Nov;2(6):1101-13. doi: 10.1177/193229680800200619.
3
Dynamic changes in DNA methylation during multistep rat lung carcinogenesis induced by 3-methylcholanthrene and diethylnitrosamine.
实验性散发性阿尔茨海默病中失调的mTOR网络
Front Cell Neurosci. 2024 Sep 25;18:1432359. doi: 10.3389/fncel.2024.1432359. eCollection 2024.
4
Agent Orange Herbicidal Toxin-Initiation of Alzheimer-Type Neurodegeneration.橙剂除草毒素引发阿尔茨海默病样神经退行性变。
J Alzheimers Dis. 2024;97(4):1703-1726. doi: 10.3233/JAD-230881.
5
Nutrition at the Intersection between Gut Microbiota Eubiosis and Effective Management of Type 2 Diabetes.肠道微生物群稳态与 2 型糖尿病有效管理之间的营养作用
Nutrients. 2024 Jan 16;16(2):269. doi: 10.3390/nu16020269.
6
Connections between serum Trimethylamine N-Oxide (TMAO), a gut-derived metabolite, and vascular biomarkers evaluating arterial stiffness and subclinical atherosclerosis in children with obesity.血清三甲胺 N-氧化物(TMAO)与血管生物标志物之间的关系,TMAO 是一种肠道衍生代谢物,可评估肥胖儿童的动脉僵硬度和亚临床动脉粥样硬化。
Front Endocrinol (Lausanne). 2023 Oct 2;14:1253584. doi: 10.3389/fendo.2023.1253584. eCollection 2023.
7
Metformin Prevents NDEA-Induced Memory Impairments Associated with Attenuating Beta-Amyloid, Tumor Necrosis Factor-Alpha, and Interleukin-6 Levels in the Hippocampus of Rats.二甲双胍可预防 NDEA 诱导的记忆损伤,其作用机制与降低海马区β-淀粉样蛋白、肿瘤坏死因子-α和白细胞介素-6 水平有关。
Biomolecules. 2023 Aug 24;13(9):1289. doi: 10.3390/biom13091289.
8
Malignant Brain Aging: The Formidable Link Between Dysregulated Signaling Through Mechanistic Target of Rapamycin Pathways and Alzheimer's Disease (Type 3 Diabetes).恶性脑衰老:雷帕霉素靶蛋白通路失调信号与阿尔茨海默病(3 型糖尿病)之间的紧密联系
J Alzheimers Dis. 2023;95(4):1301-1337. doi: 10.3233/JAD-230555.
9
Agent Orange Causes Metabolic Dysfunction and Molecular Pathology Reminiscent of Alzheimer's Disease.橙剂导致代谢功能障碍和类似阿尔茨海默病的分子病理学变化。
J Alzheimers Dis Rep. 2023 Jul 20;7(1):751-766. doi: 10.3233/ADR-230046. eCollection 2023.
10
Magnesium Status and Dietary Patterns Associated with Glycemic Control in Individuals with Type 2 Diabetes Mellitus.镁的状态和饮食模式与 2 型糖尿病患者的血糖控制有关。
Biol Trace Elem Res. 2023 Nov;201(11):5152-5161. doi: 10.1007/s12011-023-03601-7. Epub 2023 Feb 18.
3-甲基胆蒽和二乙基亚硝胺诱导的大鼠肺癌多步骤致癌过程中DNA甲基化的动态变化
Toxicol Lett. 2009 Aug 25;189(1):5-13. doi: 10.1016/j.toxlet.2009.04.022. Epub 2009 May 3.
4
Hepatic ceramide may mediate brain insulin resistance and neurodegeneration in type 2 diabetes and non-alcoholic steatohepatitis.肝脏神经酰胺可能在2型糖尿病和非酒精性脂肪性肝炎中介导脑胰岛素抵抗和神经退行性变。
J Alzheimers Dis. 2009;16(4):715-29. doi: 10.3233/JAD-2009-0984.
5
Mechanisms of ceramide-mediated neurodegeneration.神经酰胺介导的神经退行性变机制。
J Alzheimers Dis. 2009;16(4):705-14. doi: 10.3233/JAD-2009-0983.
6
Epidemilogical trends strongly suggest exposures as etiologic agents in the pathogenesis of sporadic Alzheimer's disease, diabetes mellitus, and non-alcoholic steatohepatitis.流行病学趋势有力地表明,暴露因素是散发性阿尔茨海默病、糖尿病和非酒精性脂肪性肝炎发病机制中的致病因素。
J Alzheimers Dis. 2009;17(3):519-29. doi: 10.3233/JAD-2009-1070.
7
Limited Alzheimer-type neurodegeneration in experimental obesity and type 2 diabetes mellitus.实验性肥胖症和2型糖尿病中有限的阿尔茨海默病型神经退行性变
J Alzheimers Dis. 2008 Sep;15(1):29-44. doi: 10.3233/jad-2008-15103.
8
Altered lipid metabolism in brain injury and disorders.脑损伤和疾病中脂质代谢的改变。
Subcell Biochem. 2008;49:241-68. doi: 10.1007/978-1-4020-8831-5_9.
9
Free fatty acids and skeletal muscle insulin resistance.游离脂肪酸与骨骼肌胰岛素抵抗
Curr Opin Lipidol. 2008 Jun;19(3):235-41. doi: 10.1097/01.mol.0000319118.44995.9a.
10
The establishment of a novel non-alcoholic steatohepatitis model accompanied with obesity and insulin resistance in mice.在小鼠中建立一种伴有肥胖和胰岛素抵抗的新型非酒精性脂肪性肝炎模型。
Life Sci. 2008 May 7;82(19-20):983-90. doi: 10.1016/j.lfs.2008.01.022. Epub 2008 Mar 4.