Beaver Laura M, Stemmy Erik J, Schwartz Arnold M, Damsker Jesse M, Constant Stephanie L, Ceryak Susan M, Patierno Steven R
Department of Pharmacology and Physiology, George Washington University Medical Center, Washington, DC 20037, USA.
Environ Health Perspect. 2009 Dec;117(12):1896-902. doi: 10.1289/ehp.0900715. Epub 2009 Aug 19.
Chronic inflammation is implicated in the development of several human cancers, including lung cancer. Certain particulate hexavalent chromium [Cr(VI)] compounds are well-documented human respiratory carcinogens that release genotoxic soluble chromate and are associated with fibrosis, fibrosarcomas, adenocarcinomas, and squamous cell carcinomas of the lung. Despite this, little is known about the pathologic injury and immune responses after repetitive exposure to particulate chromates.
In this study we investigated the lung injury, inflammation, proliferation, and survival signaling responses after repetitive exposure to particulate chromate.
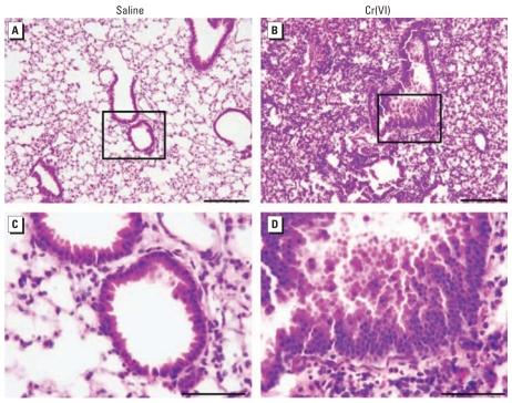
BALB/c mice were repetitively treated with particulate basic zinc chromate or saline using an intranasal exposure regimen. We assessed lungs for Cr(VI)-induced changes by bronchoalveolar lavage, histologic examination, and immunohistochemistry.
Single exposure to Cr(VI) resulted in inflammation of lung tissue that persists for up to 21 days. Repetitive Cr(VI) exposure induced a neutrophilic inflammatory airway response 24 hr after each treatment. Neutrophils were subsequently replaced by increasing numbers of macrophages by 5 days after treatment. Repetitive Cr(VI) exposure induced chronic peribronchial inflammation with alveolar and interstitial pneumonitis dominated by lymphocytes and macrophages. Moreover, chronic toxic mucosal injury was observed and accompanied by increased airway pro-matrix metalloprotease-9. Injury and inflammation correlated with airways becoming immunoreactive for phosphorylation of the survival signaling protein Akt and the proliferation marker Ki-67. We observed a reactive proliferative response in epithelial cells lining airways of chromate-exposed animals.
These data illustrate that repetitive exposure to particulate chromate induces chronic injury and an inflammatory microenvironment that may promote Cr(VI) carcinogenesis.
慢性炎症与包括肺癌在内的多种人类癌症的发生有关。某些颗粒状六价铬[Cr(VI)]化合物是有充分文献记载的人类呼吸道致癌物,可释放具有基因毒性的可溶性铬酸盐,并与肺纤维化、纤维肉瘤、腺癌和鳞状细胞癌有关。尽管如此,对于反复接触颗粒状铬酸盐后的病理损伤和免疫反应知之甚少。
在本研究中,我们调查了反复接触颗粒状铬酸盐后的肺损伤、炎症、增殖和生存信号反应。
使用鼻内暴露方案,用颗粒状碱式硫酸铬或生理盐水反复处理BALB/c小鼠。我们通过支气管肺泡灌洗、组织学检查和免疫组织化学评估肺部Cr(VI)诱导的变化。
单次接触Cr(VI)导致肺组织炎症持续长达21天。每次处理后24小时,反复接触Cr(VI)诱导中性粒细胞炎性气道反应。随后,在处理后5天,中性粒细胞被越来越多的巨噬细胞取代。反复接触Cr(VI)诱导慢性支气管周围炎症,伴有以淋巴细胞和巨噬细胞为主的肺泡和间质性肺炎。此外,观察到慢性毒性粘膜损伤,并伴有气道促基质金属蛋白酶-9增加。损伤和炎症与气道对生存信号蛋白Akt磷酸化和增殖标志物Ki-67的免疫反应性增加相关。我们在铬酸盐暴露动物气道内衬的上皮细胞中观察到反应性增殖反应。
这些数据表明,反复接触颗粒状铬酸盐会诱导慢性损伤和炎症微环境,这可能促进Cr(VI)致癌作用。