Suppr超能文献

Spontaneous rupture of the renal allograft.

作者信息

Odocha O, Callender C O, Pinn-Wiggins V W

机构信息

Department of Surgery and Pathology, Howard University Hospital, Washington, DC 20060.

出版信息

J Natl Med Assoc. 1991 Feb;83(2):171-4.

Abstract

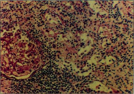
Spontaneous renal allograft rupture, an unusual complication of renal transplantation, occurred in a 35-year-old woman 10 days after transplantation. Unusual localized pain and tenderness at allograft site, oliguria, and hypotension, a triad frequently seen in renal allograft rupture, were present. Management by transplant nephrectomy was inevitable because of the patient's downhill course. Histopathologic findings diagnostic of acute allograft rejection support current thinking that spontaneous rupture may be the final outcome, although unusual, of renal allograft rejection.

摘要
https://cdn.ncbi.nlm.nih.gov/pmc/blobs/94c3/2627024/d27af14d3849/jnma00880-0100-a.jpg

文献检索

告别复杂PubMed语法,用中文像聊天一样搜索,搜遍4000万医学文献。AI智能推荐,让科研检索更轻松。

立即免费搜索

文件翻译

保留排版,准确专业,支持PDF/Word/PPT等文件格式,支持 12+语言互译。

免费翻译文档

深度研究

AI帮你快速写综述,25分钟生成高质量综述,智能提取关键信息,辅助科研写作。

立即免费体验