Kyriazi Maria A, Sofoudis Chrisostomos, Katsouri Maria, Kappos Theocharis, Zafeiris Christos, Trihia Eleni, Diamantopoulos Pantelis, Nomikos Iakovos N
2nd Department of Surgery, "Metaxa" Cancer Memorial Hospital, Pireaus, Greece.
Cases J. 2009 Nov 30;2:9113. doi: 10.1186/1757-1626-2-9113.
The pancreas is a well-documented but relatively uncommon site of non-small-cell cancer metastases. However, at the time of diagnosis the disease is usually locoregionally advanced, therefore therapeutic management is mostly palliative and symptomatic.
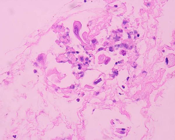
We report the case of a 77-year-old Caucasian male patient who presented initially with a clinical picture of acute cholangitis approximately 2 years after a left lower lobectomy for a low-grade squamous lung carcinoma. CT scan imaging of the abdomen and chest revealed an abnormal growth of the pancreatic head and distention of both the intra- and extra-hepatic billiary tree, whereas osteolytic abnormalities were observed of the 5th left rib, consistent with secondary deposits. Initially an endoscopic retrograde cholangio-pancreatography (ERCP) and sphincterectomy was performed and a plastic stent was placed in the common bile duct to decompress the biliary tree. Cytological examination of the aspirate collected by FNA of the pancreatic lession under EUS guidance revealed cells consistent with a low grade squamous lung carcinoma. Two months later an open cholecystectomy along with a gastrojejunostomy was performed to relieve the patient's gastric outlet obstruction symptoms. Following remission of the patient's attack of acute cholangitis and excessive vomiting he was released from the hospital and instructed to initiate chemotherapy with vinorelbine. The patient succumbed to disseminated disease almost 5 months later.
Symptomatic metastatic lesions of the pancreas from squamous cell carcinoma of the lung are infrequent. Typically, the patients remain asymptomatic until their disease reaches a fairly advanced stage and therapeutic options are limited to palliative measures. A high index of suspicion is the only way of early detection and potentially effective treatment for this rare localization of metastatic squamous lung carcinoma.
胰腺是有充分文献记载但相对不常见的非小细胞癌转移部位。然而,在诊断时疾病通常已局部区域进展,因此治疗管理大多是姑息性和对症性的。
我们报告一例77岁白种男性患者,其最初表现为急性胆管炎的临床症状,约在左下叶低级别肺鳞癌肺叶切除术后2年。腹部和胸部CT扫描成像显示胰头异常生长以及肝内和肝外胆管扩张,而左第5肋骨出现溶骨性异常,符合继发性沉积。最初进行了内镜逆行胰胆管造影(ERCP)和括约肌切除术,并在胆总管放置了塑料支架以减压胆管。在超声内镜引导下对胰腺病变进行细针穿刺抽吸活检收集的吸出物进行细胞学检查,结果显示细胞与低级别肺鳞癌一致。两个月后进行了开腹胆囊切除术及胃空肠吻合术,以缓解患者的胃出口梗阻症状。患者急性胆管炎发作和剧烈呕吐缓解后出院,并被指示开始使用长春瑞滨进行化疗。患者在近5个月后死于播散性疾病。
肺鳞状细胞癌引起的胰腺有症状转移性病变并不常见。通常,患者在疾病达到相当晚期之前一直无症状,治疗选择限于姑息措施。高度怀疑是早期发现并对这种罕见的转移性肺鳞癌定位进行潜在有效治疗的唯一方法。