Suppr超能文献

舌部多形性低度恶性腺癌:一例报告

Polymorphous low-grade adenocarcinoma of the tongue: a case report.

作者信息

Gupta Ruchi, Gupta Kirti, Gupta Rijuneeta

机构信息

Department of Histopathology and Department of Otolaryngology and Head and Neck Surgery, Postgraduate Institute of Medical Education and Research, Chandigarh, India.

出版信息

J Med Case Rep. 2009 Dec 2;3:9313. doi: 10.1186/1752-1947-3-9313.

Abstract

INTRODUCTION

Polymorphous low-grade adenocarcinoma is a distinct neoplasm of the salivary gland composed of luminal and non-luminal tumor cells admixed in varying proportions. Its resemblance to lobular carcinoma of the breast had led to its earlier nomenclature of 'terminal duct carcinoma'. Most patients present with an asymptomatic mass in the hard palate. In rare cases, the mass can also occur in the tongue. We report an unusual case of polymorphous low-grade adenocarcinoma at the base of tongue.

CASE PRESENTATION

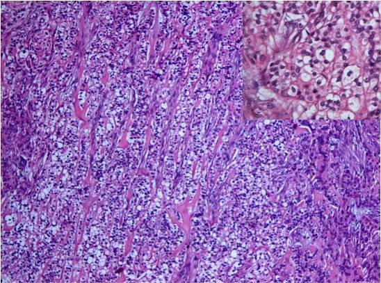
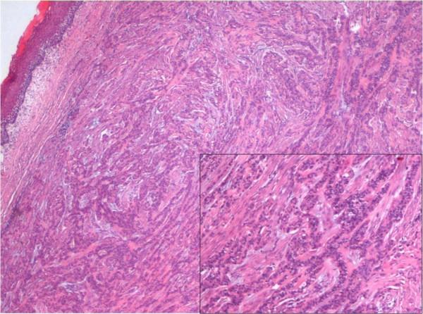
A 47-year-old Asian Caucasian woman presented with a painless swelling at the right lateral border of the tongue with an intact overlying mucosa. There were no other associated complaints. The lesion was excised and subjected to histopathological examination that revealed an interesting and unusual morphology of polymorphous low-grade adenocarcinoma.

CONCLUSION

Polymorphous low-grade adenocarcinoma is a well-defined entity in the minor salivary glands. Its occurrence in the tongue is rare with very few cases reported in the literature. It is a malignant neoplasm with low aggressiveness and it is thus important to identify and treat it accordingly.

摘要

引言

多形性低度恶性腺癌是一种唾液腺的独特肿瘤,由管腔和非管腔肿瘤细胞以不同比例混合组成。它与乳腺小叶癌相似,导致其早期被命名为“终末导管癌”。大多数患者表现为硬腭部无症状肿块。在罕见情况下,肿块也可发生于舌部。我们报告一例舌根部多形性低度恶性腺癌的罕见病例。

病例介绍

一名47岁的亚裔白种女性,舌右侧缘出现无痛性肿胀,表面黏膜完整。无其他相关主诉。病变切除后进行组织病理学检查,显示出多形性低度恶性腺癌有趣且不寻常的形态。

结论

多形性低度恶性腺癌在小唾液腺中是一种明确的实体。它在舌部的发生罕见,文献报道的病例很少。它是一种侵袭性低的恶性肿瘤,因此相应地识别和治疗它很重要。

https://cdn.ncbi.nlm.nih.gov/pmc/blobs/48b8/2803836/882cb5bc76a6/1752-1947-3-9313-1.jpg

文献AI研究员

20分钟写一篇综述,助力文献阅读效率提升50倍。

立即体验

用中文搜PubMed

大模型驱动的PubMed中文搜索引擎

马上搜索

文档翻译

学术文献翻译模型,支持多种主流文档格式。

立即体验