Suppr超能文献

以脐部月经来潮为表现的原发性脐部子宫内膜异位症罕见病例:一例报告

Menstruating from the umbilicus as a rare case of primary umbilical endometriosis: a case report.

作者信息

Bagade Pallavi V, Guirguis Mamdouh M

机构信息

Department of Obstetrics and Gynaecology, Wansbeck General Hospital, Woodhorn Lane, Ashington NE63 9JJ, Northumberland, UK.

出版信息

J Med Case Rep. 2009 Dec 10;3:9326. doi: 10.1186/1752-1947-3-9326.

Abstract

INTRODUCTION

Endometriosis is a common gynecological condition and presents mainly with involvement of the pelvic organs. Extrapelvic presentations in almost all parts of the body have been reported in the literature. However, umbilical endometriosis that is spontaneous or secondary to surgery is uncommon and accounts for only 0.5% to 1% of all endometriosis cases.

CASE PRESENTATION

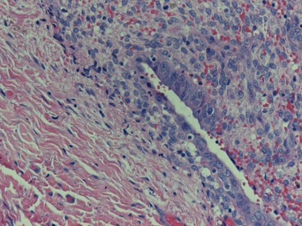
A 35-year-old Caucasian woman presented with umbilical bleeding during periods of menstruation. Her umbilicus had a small nodule with bloody discharge. An ultrasound was performed and a diagnosis of possible umbilical endometriosis was thus made. The nodule shrunk in response to gonadotropin-releasing hormone analogues but continued to persist. The patient underwent a wide local excision of the nodule with a corresponding umbilical reconstruction. Histopathology confirmed the diagnosis of umbilical endometriosis. The patient was asymptomatic at follow-up, but nevertheless warned of the risk of recurrence.

CONCLUSIONS

Pelvic endometriosis is a common condition, but the diagnosis of primary umbilical endometriosis is difficult and differentials should be considered. This case strongly suggests that a differential diagnosis of endometriosis should be considered when an umbilical swelling presents in a woman of reproductive age.

摘要

引言

子宫内膜异位症是一种常见的妇科疾病,主要表现为盆腔器官受累。文献报道了几乎身体所有部位的盆腔外表现。然而,自发性或手术后继发的脐部子宫内膜异位症并不常见,仅占所有子宫内膜异位症病例的0.5%至1%。

病例报告

一名35岁的白种女性在月经期间出现脐部出血。她的脐部有一个带有血性分泌物的小结节。进行了超声检查,从而诊断为可能的脐部子宫内膜异位症。该结节对促性腺激素释放激素类似物有反应而缩小,但仍持续存在。患者接受了该结节的广泛局部切除及相应的脐部重建。组织病理学证实了脐部子宫内膜异位症的诊断。患者在随访时无症状,但仍被告知有复发风险。

结论

盆腔子宫内膜异位症很常见,但原发性脐部子宫内膜异位症的诊断困难,应考虑鉴别诊断。该病例强烈提示,当育龄女性出现脐部肿胀时,应考虑子宫内膜异位症的鉴别诊断。

https://cdn.ncbi.nlm.nih.gov/pmc/blobs/7dd2/2803849/8d551db83f66/1752-1947-3-9326-1.jpg

文献AI研究员

20分钟写一篇综述,助力文献阅读效率提升50倍。

立即体验

用中文搜PubMed

大模型驱动的PubMed中文搜索引擎

马上搜索

文档翻译

学术文献翻译模型,支持多种主流文档格式。

立即体验