Suppr超能文献

一名84岁西班牙裔男性患者,心房黏液瘤伴体位性低血压:病例报告

Atrial myxoma presenting with orthostatic hypotension in an 84-year-old Hispanic man: a case report.

作者信息

Vicari Ralph M, Polanco Enrique, Schechtmann Norberto, Santiago José O, Shaurya Kautilya, Halstead Michael, Marszal Danielle, Grosskreutz Tamsin, Thareja Shalini

机构信息

Mima Century Research, E. Sheridan Rd, Melbourne, FL 32901, USA.

出版信息

J Med Case Rep. 2009 Dec 14;3:9328. doi: 10.1186/1752-1947-3-9328.

Abstract

INTRODUCTION

Left atrial myxomas remain the most common benign primary cardiac tumors, and these cardiac growths can masquerade as mitral stenosis, infective endocarditis and collagen vascular disease. Atrial myxomas are found in approximately 14-20% of the population and can lead to embolization, intercardiac obstructions, conduction disturbances and lethal valve obstructions.

CASE PRESENTATION

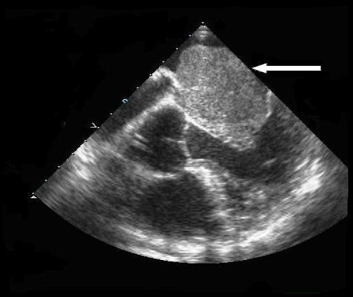
An 84-year-old Hispanic man presented with complaints of dizziness upon standing, and with no prior history of heart murmurs, syncope, shortness of breath, or chest pain. Physical examination revealed evidence of orthostatic hypotension and a soft grade 1/6 systolic murmur at the left sternal border. A transthoracic echocardiogram revealed a large atrial myxoma occupying the majority of the left atrium, with the posterior border of the large atrial mass defined by eccentric mitral regurgitation identified during cardiac catheterization. Left atrial myxoma excision was performed, revealing a 7 x 6.5 x 4.5 cm atrial tumor attached to a 4 x 3 x 2 cm stalk of atrial septal tissue.

CONCLUSION

This patient didn't present with the common symptoms associated with an atrial myxoma, which may include chest pain, dyspnea, orthopnea, peripheral embolism or syncope. Two-dimensional echocardiography provides substantial advantages in detecting intracardiac tumors. We recommend a two-dimensional echocardiogram in the workup of orthostatic hypotension of unknown etiology after the common causes such as autonomic disorders, dehydration, and vasodilative dysfunctions have been ruled out. By illustrating this correlation between orthostasis and an atrial myxoma, we hope to facilitate earlier identification of these intracardiac growths.

摘要

引言

左心房黏液瘤仍然是最常见的原发性心脏良性肿瘤,这些心脏肿物可伪装成二尖瓣狭窄、感染性心内膜炎和胶原血管病。心房黏液瘤在大约14% - 20%的人群中被发现,可导致栓塞、心内梗阻、传导障碍和致命的瓣膜梗阻。

病例介绍

一名84岁的西班牙裔男性因站立时头晕就诊,既往无心脏杂音、晕厥、呼吸急促或胸痛病史。体格检查发现体位性低血压的体征以及左胸骨旁柔和的1/6级收缩期杂音。经胸超声心动图显示一个大的心房黏液瘤占据了左心房的大部分,心脏导管检查期间通过偏心二尖瓣反流确定了大心房肿物的后边界。进行了左心房黏液瘤切除术,切除了一个7×6.5×4.5 cm的心房肿瘤,该肿瘤附着于一块4×3×2 cm的房间隔组织蒂上。

结论

该患者未表现出与心房黏液瘤相关的常见症状,这些症状可能包括胸痛、呼吸困难、端坐呼吸、外周栓塞或晕厥。二维超声心动图在检测心内肿瘤方面具有显著优势。我们建议在排除自主神经紊乱、脱水和血管舒张功能障碍等常见病因后,对病因不明的体位性低血压进行二维超声心动图检查。通过阐述体位性低血压与心房黏液瘤之间的这种关联,我们希望有助于更早地识别这些心内肿物。

https://cdn.ncbi.nlm.nih.gov/pmc/blobs/1a61/2803851/45188670c4f5/1752-1947-3-9328-1.jpg

文献AI研究员

20分钟写一篇综述,助力文献阅读效率提升50倍。

立即体验

用中文搜PubMed

大模型驱动的PubMed中文搜索引擎

马上搜索

文档翻译

学术文献翻译模型,支持多种主流文档格式。

立即体验