Buttar Rupinder, Hoefen Ryan, Funderburk Matthew, Fallone Enzo, Baibhav Bipul
Cardiology, Rochester Regional health, Rochester, USA.
Cardiology, Sands-Constellation Heart Institute, Rochester Regional Health, Rochester, USA.
Cureus. 2020 Aug 14;12(8):e9745. doi: 10.7759/cureus.9745.
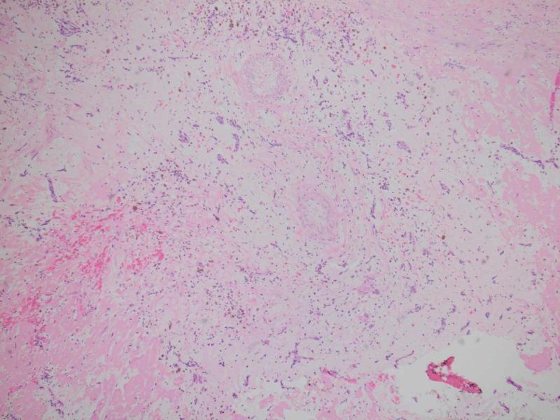
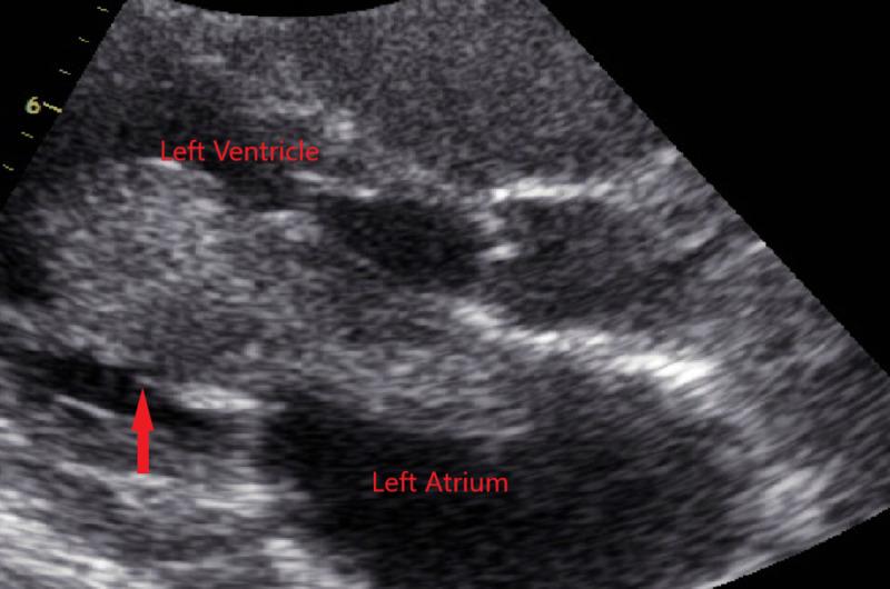
Cardiac myxoma is a benign neoplasm composed of stellate to plump, cytologically bland mesenchymal cells set in a myxoid stroma. Although benign, as they can lead to severe complications, they are often removed surgically. A 39-year-old female presented with a chief complaint of generalized fatigue. Patient had a history of a large 7cm x 2.5cm left atrial myxoma resected at the age of 32 years after she presented with symptoms of dyspnea on exertion. The dyspnea was due to prolapse of the mass through the mitral valve during diastole, leading to functional severe mitral stenosis. The mass was resected with clear margins confirmed on biopsy. On physical examination, heart rate was regular with no murmurs. No signs of congestive heart failure were noted. A 2D echo revealed a mobile structure in the left atrium along with mild mitral regurgitation. Cardiac MRI showed a 21mm x 9mm well defined, pedunculated, mobile mass in the left atrium arising from inter-atrial septum. The mass was hyperintense on T2 weighted images with patchy delayed hyper-enhancement consistent with recurrence of a myxoma. The patient underwent a repeat median sternotomy with the removal of left atrial mass and repair of atrial septum with hemashield patch. The mass was sent for pathological evaluation confirming the diagnosis of recurrent myxoma. On genetic testing, patient tested negative for mutations in PRKAR1A gene (mutated in up to 60%-80% cases with Carney complex), MEN1, RET and sarcoma (TP53) genes. Cardiac myxomas are rare primary benign tumors of the heart with a small recurrence rate. Follow-up studies have rarely reported recurrences after complete resection. However, in our case not only did the patient have the sporadic form of myxoma with recurrence, but it also occurred within three years of the previous resection despite complete removal with clear margins.
心脏黏液瘤是一种良性肿瘤,由星形至饱满、细胞学表现温和的间充质细胞组成,位于黏液样基质中。尽管是良性的,但由于它们可能导致严重并发症,通常需手术切除。一名39岁女性因全身疲劳为主诉前来就诊。患者有病史,32岁时因劳力性呼吸困难症状出现后,切除了一个7cm×2.5cm的巨大左心房黏液瘤。呼吸困难是由于肿块在舒张期通过二尖瓣脱垂,导致功能性严重二尖瓣狭窄。肿块切除时切缘清晰,活检证实。体格检查时,心率规则,无杂音。未发现充血性心力衰竭体征。二维超声心动图显示左心房有一个活动结构,伴有轻度二尖瓣反流。心脏磁共振成像显示左心房有一个21mm×9mm边界清晰、有蒂、活动的肿块,起源于房间隔。该肿块在T2加权图像上呈高信号,有斑片状延迟强化,符合黏液瘤复发表现。患者接受了再次正中胸骨切开术,切除左心房肿块并用Hemashield补片修复房间隔。肿块送去做病理评估,确诊为复发性黏液瘤。基因检测时,患者PRKAR1A基因(在多达60%-80%的卡尼综合征病例中发生突变)、MEN1、RET和肉瘤(TP53)基因检测均为阴性。心脏黏液瘤是罕见的原发性心脏良性肿瘤,复发率低。随访研究很少报道完全切除后复发的情况。然而,在我们的病例中,患者不仅患有散发性黏液瘤且复发,而且尽管上次切除时切缘清晰完全切除,但仍在先前切除后的三年内复发。