• 文献检索
  • 文档翻译
  • 深度研究
  • 学术资讯
  • Suppr Zotero 插件Zotero 插件
  • 邀请有礼
  • 套餐&价格
  • 历史记录
应用&插件
Suppr Zotero 插件Zotero 插件浏览器插件Mac 客户端Windows 客户端微信小程序
定价
高级版会员购买积分包购买API积分包
服务
文献检索文档翻译深度研究API 文档MCP 服务
关于我们
关于 Suppr公司介绍联系我们用户协议隐私条款
关注我们

Suppr 超能文献

核心技术专利:CN118964589B侵权必究
粤ICP备2023148730 号-1Suppr @ 2026

文献检索

告别复杂PubMed语法,用中文像聊天一样搜索,搜遍4000万医学文献。AI智能推荐,让科研检索更轻松。

立即免费搜索

文件翻译

保留排版,准确专业,支持PDF/Word/PPT等文件格式,支持 12+语言互译。

免费翻译文档

深度研究

AI帮你快速写综述,25分钟生成高质量综述,智能提取关键信息,辅助科研写作。

立即免费体验

CREM 和 GCNF 的功能合作指导了单倍体雄性生殖细胞中的基因表达。

Functional cooperation between CREM and GCNF directs gene expression in haploid male germ cells.

机构信息

Institut für Immunologie und Transfusionsmedizin, Ernst-Moritz-Arndt Universität, Greifswald, Germany.

出版信息

Nucleic Acids Res. 2010 Apr;38(7):2268-78. doi: 10.1093/nar/gkp1220. Epub 2010 Jan 13.

DOI:10.1093/nar/gkp1220
PMID:20071744
原文链接:https://pmc.ncbi.nlm.nih.gov/articles/PMC2853129/
Abstract

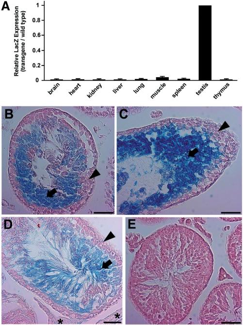
Cellular differentiation and development of germ cells critically depend on a coordinated activation and repression of specific genes. The underlying regulation mechanisms, however, still lack a lot of understanding. Here, we describe that both the testis-specific transcriptional activator CREMtau (cAMP response element modulator tau) and the repressor GCNF (germ cell nuclear factor) have an overlapping binding site which alone is sufficient to direct cell type-specific expression in vivo in a heterologous promoter context. Expression of the transgene driven by the CREM/GCNF site is detectable in spermatids, but not in any somatic tissue or at any other stages during germ cell differentiation. CREMtau acts as an activator of gene transcription whereas GCNF suppresses this activity. Both factors compete for binding to the same DNA response element. Effective binding of CREM and GCNF highly depends on composition and epigenetic modification of the binding site. We also discovered that CREM and GCNF bind to each other via their DNA binding domains, indicating a complex interaction between the two factors. There are several testis-specific target genes that are regulated by CREM and GCNF in a reciprocal manner, showing a similar activation pattern as during spermatogenesis. Our data indicate that a single common binding site for CREM and GCNF is sufficient to specifically direct gene transcription in a tissue-, cell type- and differentiation-specific manner.

摘要

细胞分化和生殖细胞的发育严重依赖于特定基因的协调激活和抑制。然而,潜在的调控机制仍然缺乏很多理解。在这里,我们描述了睾丸特异性转录激活因子 CREMtau(环磷酸腺苷反应元件调节剂 tau)和抑制因子 GCNF(生殖细胞核因子)都具有重叠的结合位点,该结合位点单独足以在异种启动子背景下在体内指导细胞类型特异性表达。由 CREM/GCNF 位点驱动的转基因表达可在精母细胞中检测到,但在任何体细胞组织或生殖细胞分化的任何其他阶段都无法检测到。CREMtau 作为转录基因激活因子,而 GCNF 抑制这种活性。这两个因子竞争结合相同的 DNA 反应元件。CREM 和 GCNF 的有效结合高度依赖于结合位点的组成和表观遗传修饰。我们还发现 CREM 和 GCNF 通过其 DNA 结合结构域相互结合,表明这两个因子之间存在复杂的相互作用。有几个睾丸特异性靶基因受到 CREM 和 GCNF 的相互调节,其表达模式与精子发生相似。我们的数据表明,CREM 和 GCNF 的单个共同结合位点足以特异性地以组织、细胞类型和分化特异性的方式指导基因转录。

https://cdn.ncbi.nlm.nih.gov/pmc/blobs/50cf/2853129/2b65ade45174/gkp1220f6.jpg
https://cdn.ncbi.nlm.nih.gov/pmc/blobs/50cf/2853129/468fbee2bc21/gkp1220f1.jpg
https://cdn.ncbi.nlm.nih.gov/pmc/blobs/50cf/2853129/539e0f71d656/gkp1220f2.jpg
https://cdn.ncbi.nlm.nih.gov/pmc/blobs/50cf/2853129/05cfeac3850b/gkp1220f3.jpg
https://cdn.ncbi.nlm.nih.gov/pmc/blobs/50cf/2853129/295de6a1c6b5/gkp1220f4.jpg
https://cdn.ncbi.nlm.nih.gov/pmc/blobs/50cf/2853129/2dc5f0dfe151/gkp1220f5.jpg
https://cdn.ncbi.nlm.nih.gov/pmc/blobs/50cf/2853129/2b65ade45174/gkp1220f6.jpg
https://cdn.ncbi.nlm.nih.gov/pmc/blobs/50cf/2853129/468fbee2bc21/gkp1220f1.jpg
https://cdn.ncbi.nlm.nih.gov/pmc/blobs/50cf/2853129/539e0f71d656/gkp1220f2.jpg
https://cdn.ncbi.nlm.nih.gov/pmc/blobs/50cf/2853129/05cfeac3850b/gkp1220f3.jpg
https://cdn.ncbi.nlm.nih.gov/pmc/blobs/50cf/2853129/295de6a1c6b5/gkp1220f4.jpg
https://cdn.ncbi.nlm.nih.gov/pmc/blobs/50cf/2853129/2dc5f0dfe151/gkp1220f5.jpg
https://cdn.ncbi.nlm.nih.gov/pmc/blobs/50cf/2853129/2b65ade45174/gkp1220f6.jpg

相似文献

1
Functional cooperation between CREM and GCNF directs gene expression in haploid male germ cells.CREM 和 GCNF 的功能合作指导了单倍体雄性生殖细胞中的基因表达。
Nucleic Acids Res. 2010 Apr;38(7):2268-78. doi: 10.1093/nar/gkp1220. Epub 2010 Jan 13.
2
Germ cell nuclear factor relieves cAMP-response element modulator tau-mediated activation of the testis-specific promoter of human mitochondrial glycerol-3-phosphate dehydrogenase.生殖细胞核因子可减轻环磷酸腺苷反应元件调节因子tau介导的人线粒体甘油-3-磷酸脱氢酶睾丸特异性启动子的激活。
J Biol Chem. 2004 Dec 10;279(50):52493-9. doi: 10.1074/jbc.M404467200. Epub 2004 Sep 28.
3
Cyclic adenosine 3',5'-monophosphate(cAMP)/cAMP-responsive element modulator (CREM)-dependent regulation of cholesterogenic lanosterol 14alpha-demethylase (CYP51) in spermatids.环磷酸腺苷(cAMP)/cAMP反应元件调节因子(CREM)依赖性调控精子细胞中胆固醇合成关键酶羊毛甾醇14α-去甲基酶(CYP51)的表达
Mol Endocrinol. 1999 Nov;13(11):1951-62. doi: 10.1210/mend.13.11.0377.
4
Germ Cell Nuclear Factor (GCNF/RTR) Regulates Transcription of Gonadotropin-Regulated Testicular RNA Helicase (GRTH/DDX25) in Testicular Germ Cells--The Androgen Connection.生殖细胞核因子(GCNF/RTR)调控睾丸生殖细胞中性腺激素调节的睾丸RNA解旋酶(GRTH/DDX25)的转录——雄激素关联
Mol Endocrinol. 2015 Dec;29(12):1792-804. doi: 10.1210/me.2015-1198. Epub 2015 Oct 20.
5
Reciprocal regulation of the mouse protamine genes by the orphan nuclear receptor germ cell nuclear factor and CREMtau.孤儿核受体生殖细胞核因子与CREMtau对小鼠鱼精蛋白基因的相互调控
Mol Reprod Dev. 2004 Aug;68(4):394-407. doi: 10.1002/mrd.20092.
6
Induction of CREM activator proteins in spermatids: down-stream targets and implications for haploid germ cell differentiation.精子细胞中CREM激活蛋白的诱导:下游靶点及对单倍体生殖细胞分化的影响
Mol Endocrinol. 1993 Nov;7(11):1502-14. doi: 10.1210/mend.7.11.8114765.
7
Cell-specific occupancy of an extended repertoire of CREM and CREB binding loci in male germ cells.在雄性生殖细胞中,CREM 和 CREB 结合位点的扩展库在细胞特异性上的占据。
BMC Genomics. 2010 Sep 29;11:530. doi: 10.1186/1471-2164-11-530.
8
The expanding family of CREB/CREM transcription factors that are involved with spermatogenesis.参与精子发生的CREB/CREM转录因子家族不断扩大。
Mol Cell Endocrinol. 2002 Feb 22;187(1-2):115-24. doi: 10.1016/s0303-7207(01)00696-7.
9
Novel cyclic adenosine 3',5'-monophosphate (cAMP) response element modulator theta isoforms expressed by two newly identified cAMP-responsive promoters active in the testis.由两个新鉴定的在睾丸中活跃的环磷酸腺苷(cAMP)反应性启动子所表达的新型环磷酸腺苷(cAMP)反应元件调节子θ亚型。
Endocrinology. 2000 Nov;141(11):3923-30. doi: 10.1210/endo.141.11.7758.
10
Characterization of germ cell-specific expression of the orphan nuclear receptor, germ cell nuclear factor.孤儿核受体生殖细胞核因子的生殖细胞特异性表达特征
Endocrinology. 1997 Oct;138(10):4364-72. doi: 10.1210/endo.138.10.5444.

引用本文的文献

1
Research progress in the role and mechanism of Leucine in regulating animal growth and development.亮氨酸在调节动物生长发育中的作用及机制的研究进展
Front Physiol. 2023 Nov 17;14:1252089. doi: 10.3389/fphys.2023.1252089. eCollection 2023.
2
Novel Aspects of cAMP-Response Element Modulator (CREM) Role in Spermatogenesis and Male Fertility.环磷酸腺苷反应元件结合蛋白(CREM)在精子发生和男性生育中的新作用。
Int J Mol Sci. 2023 Aug 8;24(16):12558. doi: 10.3390/ijms241612558.
3
Characterization of the promoter region of the murine Catsper2 gene.

本文引用的文献

1
Seminiferous tubule transfection in vitro to define post-meiotic gene regulation.体外生精小管转染以确定减数分裂后基因调控。
Reprod Biol Endocrinol. 2009 Jun 29;7:67. doi: 10.1186/1477-7827-7-67.
2
Tyrosine phosphoproteome of hamster spermatozoa: role of glycerol-3-phosphate dehydrogenase 2 in sperm capacitation.仓鼠精子的酪氨酸磷酸化蛋白质组:3-磷酸甘油脱氢酶2在精子获能中的作用
Proteomics. 2009 Apr;9(7):1809-26. doi: 10.1002/pmic.200800519.
3
Allegro: analyzing expression and sequence in concert to discover regulatory programs.快板:协同分析表达与序列以发现调控程序。
鼠 Catsper2 基因启动子区域的特征分析。
FEBS Open Bio. 2022 Dec;12(12):2236-2249. doi: 10.1002/2211-5463.13518. Epub 2022 Nov 17.
4
microRNA-196a-5p inhibits testicular germ cell tumor progression via NR6A1/E-cadherin axis.miRNA-196a-5p 通过 NR6A1/E-钙黏蛋白轴抑制睾丸生殖细胞肿瘤进展。
Cancer Med. 2020 Dec;9(23):9107-9122. doi: 10.1002/cam4.3498. Epub 2020 Oct 9.
5
Two novel ligand-independent variants of the VEGFR-1 receptor are expressed in human testis and spermatozoa, one of them with the ability to activate SRC proto-oncogene tyrosine kinases.VEGFR-1受体的两种新型非配体依赖性变体在人类睾丸和精子中表达,其中一种具有激活SRC原癌基因酪氨酸激酶的能力。
Oncotarget. 2019 Oct 8;10(56):5871-5887. doi: 10.18632/oncotarget.27232.
6
The arginine methyltransferase CARM1 represses p300•ACT•CREMτ activity and is required for spermiogenesis.精氨酸甲基转移酶 CARM1 抑制 p300•ACT•CREMτ 活性,并且是精子发生所必需的。
Nucleic Acids Res. 2018 May 18;46(9):4327-4343. doi: 10.1093/nar/gky240.
7
SLE-Associated Defects Promote Altered T Cell Function.系统性红斑狼疮相关缺陷促进T细胞功能改变。
Crit Rev Immunol. 2017;37(1):39-58. doi: 10.1615/CritRevImmunol.2018025213.
8
Positive expression of NR6A1/CT150 as a predictor of biochemical recurrence-free survival in prostate cancer patients.NR6A1/CT150的阳性表达作为前列腺癌患者无生化复发生存的预测指标
Oncotarget. 2016 Aug 31;8(38):64427-64439. doi: 10.18632/oncotarget.11749. eCollection 2017 Sep 8.
9
A 5'-flanking region of gonadotropin-regulated testicular RNA helicase (GRTH/DDX25) gene directs its cell-specific androgen-regulated gene expression in testicular germ cells.促性腺激素调节的睾丸 RNA 解旋酶(GRTH/DDX25)基因的 5'侧翼区在睾丸生殖细胞中指导其细胞特异性雄激素调节的基因表达。
Endocrinology. 2013 Jun;154(6):2200-7. doi: 10.1210/en.2012-2230. Epub 2013 Apr 1.
10
cAMP responsive element modulator: a critical regulator of cytokine production.环腺苷酸反应元件调节剂:细胞因子产生的关键调节因子。
Trends Mol Med. 2013 Apr;19(4):262-9. doi: 10.1016/j.molmed.2013.02.001. Epub 2013 Mar 13.
Nucleic Acids Res. 2009 Apr;37(5):1566-79. doi: 10.1093/nar/gkn1064. Epub 2009 Jan 16.
4
Computational search for over-represented 8-mers within the 5'-regulatory regions of 634 mouse testis-specific genes.对634个小鼠睾丸特异性基因的5'调控区域内过度表达的八聚体进行计算搜索。
Gene. 2008 Dec 31;427(1-2):93-8. doi: 10.1016/j.gene.2008.08.018. Epub 2008 Sep 5.
5
T3-mediated expression of PGC-1alpha via a far upstream located thyroid hormone response element.T3通过位于远上游的甲状腺激素反应元件介导PGC-1α的表达。
Mol Cell Endocrinol. 2008 Jun 11;287(1-2):90-5. doi: 10.1016/j.mce.2008.01.017. Epub 2008 Feb 3.
6
Germ cell nuclear factor directly represses the transcription of peroxisome proliferator-activated receptor delta gene.生殖细胞核因子直接抑制过氧化物酶体增殖物激活受体δ基因的转录。
Acta Biochim Biophys Sin (Shanghai). 2008 Mar;40(3):253-60. doi: 10.1111/j.1745-7270.2008.00395.x.
7
Regulation of murine lactate dehydrogenase C (Ldhc) gene expression.小鼠乳酸脱氢酶C(Ldhc)基因表达的调控
Biol Reprod. 2008 Mar;78(3):455-61. doi: 10.1095/biolreprod.107.064964. Epub 2007 Dec 5.
8
A novel CpG-free vertebrate insulator silences the testis-specific SP-10 gene in somatic tissues: role for TDP-43 in insulator function.一种新型无CpG脊椎动物绝缘子在体细胞组织中沉默睾丸特异性SP-10基因:TDP-43在绝缘子功能中的作用。
J Biol Chem. 2007 Dec 14;282(50):36143-54. doi: 10.1074/jbc.M705811200. Epub 2007 Oct 11.
9
Orphan nuclear receptor function in the ovary.卵巢中的孤儿核受体功能。
Front Biosci. 2007 May 1;12:3398-405. doi: 10.2741/2321.
10
T3-mediated gene expression is independent of PGC-1alpha.T3介导的基因表达不依赖于PGC-1α。
Mol Cell Endocrinol. 2007 May 30;270(1-2):57-63. doi: 10.1016/j.mce.2007.02.008. Epub 2007 Feb 24.