• 文献检索
  • 文档翻译
  • 深度研究
  • 学术资讯
  • Suppr Zotero 插件Zotero 插件
  • 邀请有礼
  • 套餐&价格
  • 历史记录
应用&插件
Suppr Zotero 插件Zotero 插件浏览器插件Mac 客户端Windows 客户端微信小程序
定价
高级版会员购买积分包购买API积分包
服务
文献检索文档翻译深度研究API 文档MCP 服务
关于我们
关于 Suppr公司介绍联系我们用户协议隐私条款
关注我们

Suppr 超能文献

核心技术专利:CN118964589B侵权必究
粤ICP备2023148730 号-1Suppr @ 2026

文献检索

告别复杂PubMed语法,用中文像聊天一样搜索,搜遍4000万医学文献。AI智能推荐,让科研检索更轻松。

立即免费搜索

文件翻译

保留排版,准确专业,支持PDF/Word/PPT等文件格式,支持 12+语言互译。

免费翻译文档

深度研究

AI帮你快速写综述,25分钟生成高质量综述,智能提取关键信息,辅助科研写作。

立即免费体验

前房内注射贝伐单抗与丝裂霉素C小梁切除术治疗新生血管性青光眼:病例系列

Intracameral bevacizumab and mitomycin C Trabeculectomy for eyes with neovascular glaucoma: a case series.

作者信息

de Moraes Carlos Gustavo Vasconcelos, Facio Antonio Carlos, Costa José Humberto, Malta Roberto Freire Santiago

出版信息

J Ocul Biol Dis Infor. 2009 Mar 31;2(1):40-6. doi: 10.1007/s12177-009-9020-z.

DOI:10.1007/s12177-009-9020-z
PMID:20072647
原文链接:https://pmc.ncbi.nlm.nih.gov/articles/PMC2802500/
Abstract

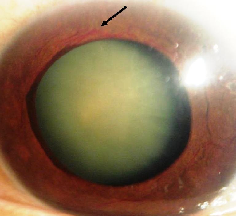
The purpose of this study was to describe the surgical outcomes and safety of intracameral bevacizumab during trabeculectomy in eyes with neovascular glaucoma. Pilot study included four eyes (four patients) with refractory neovascular glaucoma submitted to fornix-based trabeculectomy with adjunctive use of bevacizumab in the anterior chamber during the procedure. Patients were previously treated with panretinal photocoagulation as standard therapy. Variables evaluated were intraocular pressure, bleb appearance, iris neovascularization, intraoperative/postoperative complications, and visual outcomes. No intraoperative complication was observed. The mean follow-up period was 12.75 (range, 12-15 months). All eyes showed significant intraocular pressure control postoperatively. Iris neovascularization reduced significantly within 1 month after surgery. Mild anterior chamber inflammation was observed during follow-up in all eyes. No significant postoperative complication was observed, and no patient presented visual acuity deterioration. Intracameral bevacizumab may be used as an adjunctive therapy during trabeculectomy in eyes with neovascular glaucoma.

摘要

本研究的目的是描述在新生血管性青光眼患者小梁切除术中前房内注射贝伐单抗的手术效果及安全性。前瞻性研究纳入了4例(4只眼)难治性新生血管性青光眼患者,行以穹窿为基底的小梁切除术,并在术中于前房辅助使用贝伐单抗。患者此前已接受全视网膜光凝作为标准治疗。评估的变量包括眼压、滤过泡外观、虹膜新生血管、术中/术后并发症及视力预后。未观察到术中并发症。平均随访期为12.75个月(范围12 - 15个月)。所有术眼术后眼压均得到显著控制。术后1个月内虹膜新生血管显著减少。随访期间所有术眼均观察到轻度前房炎症。未观察到显著的术后并发症,且无患者出现视力下降。前房内注射贝伐单抗可作为新生血管性青光眼患者小梁切除术中的辅助治疗。

https://cdn.ncbi.nlm.nih.gov/pmc/blobs/91d8/2802500/63280790e321/12177_2009_9020_Fig5_HTML.jpg
https://cdn.ncbi.nlm.nih.gov/pmc/blobs/91d8/2802500/c05ff1868fff/12177_2009_9020_Fig1_HTML.jpg
https://cdn.ncbi.nlm.nih.gov/pmc/blobs/91d8/2802500/740e834937dc/12177_2009_9020_Fig2_HTML.jpg
https://cdn.ncbi.nlm.nih.gov/pmc/blobs/91d8/2802500/2a6d0c8ea147/12177_2009_9020_Fig3_HTML.jpg
https://cdn.ncbi.nlm.nih.gov/pmc/blobs/91d8/2802500/78ed65414039/12177_2009_9020_Fig4_HTML.jpg
https://cdn.ncbi.nlm.nih.gov/pmc/blobs/91d8/2802500/63280790e321/12177_2009_9020_Fig5_HTML.jpg
https://cdn.ncbi.nlm.nih.gov/pmc/blobs/91d8/2802500/c05ff1868fff/12177_2009_9020_Fig1_HTML.jpg
https://cdn.ncbi.nlm.nih.gov/pmc/blobs/91d8/2802500/740e834937dc/12177_2009_9020_Fig2_HTML.jpg
https://cdn.ncbi.nlm.nih.gov/pmc/blobs/91d8/2802500/2a6d0c8ea147/12177_2009_9020_Fig3_HTML.jpg
https://cdn.ncbi.nlm.nih.gov/pmc/blobs/91d8/2802500/78ed65414039/12177_2009_9020_Fig4_HTML.jpg
https://cdn.ncbi.nlm.nih.gov/pmc/blobs/91d8/2802500/63280790e321/12177_2009_9020_Fig5_HTML.jpg

相似文献

1
Intracameral bevacizumab and mitomycin C Trabeculectomy for eyes with neovascular glaucoma: a case series.前房内注射贝伐单抗与丝裂霉素C小梁切除术治疗新生血管性青光眼:病例系列
J Ocul Biol Dis Infor. 2009 Mar 31;2(1):40-6. doi: 10.1007/s12177-009-9020-z.
2
Management of neovascular glaucoma with panretinal photocoagulation, intravitreal bevacizumab, and subsequent trabeculectomy with mitomycin C.全视网膜光凝、玻璃体内注射贝伐单抗联合随后的丝裂霉素 C 小梁切除术治疗新生血管性青光眼。
J Glaucoma. 2010 Dec;19(9):622-6. doi: 10.1097/IJG.0b013e3181ccb794.
3
The effect of different doses of intracameral bevacizumab on surgical outcomes of trabeculectomy for neovascular glaucoma.不同剂量前房内注射贝伐单抗对新生血管性青光眼小梁切除术手术效果的影响
Eur J Ophthalmol. 2009 May-Jun;19(3):435-41. doi: 10.1177/112067210901900318.
4
Intravitreal bevacizumab with or without mitomycin C trabeculectomy in the treatment of neovascular glaucoma.玻璃体腔注射贝伐单抗联合或不联合丝裂霉素C小梁切除术治疗新生血管性青光眼
Clin Ophthalmol. 2011;5:841-5. doi: 10.2147/OPTH.S21453. Epub 2011 Jun 22.
5
Surgical outcomes of intravitreal bevacizumab and guarded filtration surgery in neovascular glaucoma.抗血管内皮生长因子药物玻璃体腔内注射联合保守滤过手术治疗新生血管性青光眼的疗效观察。
J Glaucoma. 2010 Mar;19(3):212-8. doi: 10.1097/IJG.0b013e3181aae928.
6
Adjunctive intravitreal bevacizumab-combined trabeculectomy versus trabeculectomy alone in the treatment of neovascular glaucoma.辅助玻璃体内注射贝伐单抗联合小梁切除术与单纯小梁切除术治疗新生血管性青光眼。
J Ocul Pharmacol Ther. 2010 Feb;26(1):111-8. doi: 10.1089/jop.2009.0055.
7
Efficacy and Safety of Intracameral Bevacizumab for Treatment of Neovascular Glaucoma.前房内注射贝伐单抗治疗新生血管性青光眼的疗效与安全性
Korean J Ophthalmol. 2017 Dec;31(6):538-547. doi: 10.3341/kjo.2017.0017. Epub 2017 Oct 20.
8
In vivo corneal endothelial safety of intracameral bevacizumab and effect in neovascular glaucoma combined with Ahmed valve implantation.前房注射贝伐单抗的体内角膜内皮安全性及其在新生血管性青光眼合并艾哈迈德引流阀植入术中的效果
J Glaucoma. 2009 Oct-Nov;18(8):589-94. doi: 10.1097/IJG.0b013e3181996ed2.
9
[Results of trabeculectomy with anti-VGEF therapy in the treatment of neovascular glaucoma secondary to retinal vein occlusion (report of 21 cases followed at Bukavu Eye Clinic from January 1 to December 31th, 2015)].抗血管内皮生长因子治疗小梁切除术治疗视网膜静脉阻塞继发新生血管性青光眼的结果(2015年1月1日至12月31日在布卡武眼科诊所随访的21例报告)
J Fr Ophtalmol. 2017 Jan;40(1):17-21. doi: 10.1016/j.jfo.2016.08.009. Epub 2016 Nov 22.
10
Efficacy and safety of intravitreal ranibizumab with panretinal photocoagulation followed by trabeculectomy compared with Ahmed glaucoma valve implantation in neovascular glaucoma.玻璃体内注射雷珠单抗联合全视网膜光凝后行小梁切除术与艾哈迈德青光眼引流阀植入术治疗新生血管性青光眼的疗效和安全性比较
Int J Ophthalmol. 2017 Mar 18;10(3):400-405. doi: 10.18240/IJO.2017.03.12. eCollection 2017.

引用本文的文献

1
Anti-VEGF Agents and Glaucoma Filtering Surgery.抗血管内皮生长因子药物与青光眼滤过手术
J Ophthalmic Vis Res. 2013 Apr;8(2):182-6.
2
Evaluation of cytotoxicity of bevacizumab on VEGF-enriched corneal endothelial cells.贝伐单抗对富含血管内皮生长因子的角膜内皮细胞的细胞毒性评估。
Mol Vis. 2011;17:3339-46. Epub 2011 Dec 20.
3
Intravitreal bevacizumab with or without mitomycin C trabeculectomy in the treatment of neovascular glaucoma.玻璃体腔注射贝伐单抗联合或不联合丝裂霉素C小梁切除术治疗新生血管性青光眼

本文引用的文献

1
Trabeculectomy with mitomycin C for neovascular glaucoma: prognostic factors for surgical failure.丝裂霉素C辅助小梁切除术治疗新生血管性青光眼:手术失败的预后因素
Am J Ophthalmol. 2009 May;147(5):912-8, 918.e1. doi: 10.1016/j.ajo.2008.11.015. Epub 2009 Feb 5.
2
Efficacy of intravitreal bevacizumab as adjunctive treatment with pars plana vitrectomy, endolaser photocoagulation, and trabeculectomy for neovascular glaucoma.玻璃体内注射贝伐单抗作为辅助治疗用于新生血管性青光眼的玻璃体切除术、视网膜激光光凝术和小梁切除术的疗效。
Br J Ophthalmol. 2008 Oct;92(10):1431-3. doi: 10.1136/bjo.2007.129833.
3
Intravitreal bevacizumab to treat iris neovascularization and neovascular glaucoma secondary to ischemic retinal diseases in 41 consecutive cases.
Clin Ophthalmol. 2011;5:841-5. doi: 10.2147/OPTH.S21453. Epub 2011 Jun 22.
玻璃体内注射贝伐单抗治疗41例连续性缺血性视网膜疾病继发的虹膜新生血管和新生血管性青光眼。
Ophthalmology. 2008 Sep;115(9):1571-80, 1580.e1-3. doi: 10.1016/j.ophtha.2008.02.026. Epub 2008 Apr 28.
4
Role of intravitreal bevacizumab in neovascular glaucoma.玻璃体内注射贝伐单抗在新生血管性青光眼中的作用
J Ocul Pharmacol Ther. 2007 Oct;23(5):487-91. doi: 10.1089/jop.2007.0036.
5
Intravitreal bevacizumab (Avastin) for proliferative diabetic retinopathy: 6-months follow-up.玻璃体内注射贝伐单抗(阿瓦斯汀)治疗增殖性糖尿病视网膜病变:6个月随访
Eye (Lond). 2009 Jan;23(1):117-23. doi: 10.1038/sj.eye.6702980. Epub 2007 Sep 21.
6
Preferable use of intravitreal bevacizumab as a pretreatment of vitrectomy for severe proliferative diabetic retinopathy.对于严重增殖性糖尿病视网膜病变,更倾向于使用玻璃体内注射贝伐单抗作为玻璃体切除术的预处理。
Eye (Lond). 2009 Jan;23(1):108-11. doi: 10.1038/sj.eye.6702983. Epub 2007 Sep 21.
7
Bevacizumab (Avastin) for the treatment of neovascular glaucoma.贝伐单抗(阿瓦斯汀)用于治疗新生血管性青光眼。
Clin Exp Ophthalmol. 2007 Jul;35(5):494-6. doi: 10.1111/j.1442-9071.2007.01521.x.
8
Rapid improvement of retinal and iris neovascularization after a single intravitreal bevacizumab injection in a patient with central retinal vein occlusion and neovascular glaucoma.在一名患有视网膜中央静脉阻塞和新生血管性青光眼的患者中,单次玻璃体内注射贝伐单抗后视网膜和虹膜新生血管迅速改善。
Int Ophthalmol. 2008 Feb;28(1):59-61. doi: 10.1007/s10792-007-9105-2. Epub 2007 Jul 4.
9
[Inhibition of angiogenesis in the anterior chamber of the eye].[眼房水中血管生成的抑制]
Ophthalmologe. 2007 Apr;104(4):336-44. doi: 10.1007/s00347-007-1512-2.
10
Bevacizumab for neovascular ocular diseases.贝伐单抗用于治疗新生血管性眼部疾病。
Ann Pharmacother. 2007 Apr;41(4):614-25. doi: 10.1345/aph.1H316. Epub 2007 Mar 13.