Suppr超能文献

植物二胺氧化酶在包埋过氧化物酶聚丙烯酰胺凝胶电泳中的酶谱分析。对蛋白水解稳定性的研究。

Zymographic assay of plant diamine oxidase on entrapped peroxidase polyacrylamide gel electrophoresis. A study of stability to proteolysis.

机构信息

Department of Chemistry and Centre BioMed, Université du Québec à Montréal, CP 8888, Succ. A, Montréal, QC, H3C 3P8, Canada.

出版信息

Anal Bioanal Chem. 2010 Feb;396(3):1281-90. doi: 10.1007/s00216-009-3306-7. Epub 2009 Nov 29.

Abstract

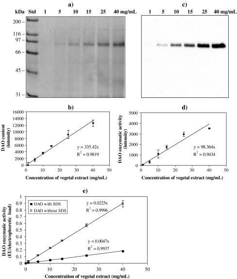
A zymographic assay of diamine oxidase (DAO, histaminase, EC 1.4.3.6), based on a coupled peroxidase reaction, and its behavior at proteolysis in simulated gastric and intestinal conditions, are described. The DAO activity from a vegetal extract of Lathyrus sativus seedlings was directly determined on sodium dodecyl sulfate polyacrylamide electrophoretic gels containing entrapped horseradish peroxidase, with putrescine as substrate of histaminase and ortho-phenylenediamine as co-substrate of peroxidase. The accumulation of azo-aniline, as peroxidase-catalyzed oxidation product, led to well-defined yellow-brown bands on gels, with intensities corresponding to the enzymatic activity of DAO. After image analysis of gels, a linear dependency of DAO content (Coomassie-stained protein bands) and of its enzymatic activity (zymographic bands) with the concentration of the vegetal extract was obtained. In simulated gastric conditions (pH 1.2, 37 degrees C), the DAO from the vegetal extract lost its enzymatic activity before 15 min of incubation, either in the presence or absence of pepsin. The protein pattern (Coomassie-stained) revealed that the DAO content from the vegetal extract was kept almost constant in the simulated intestinal fluid (containing pancreatin or not), with a slight diminution in the presence of pancreatic proteases. After 10 h of incubation at 37 degrees C, the DAO enzymatic activity from the vegetal extract was 44.7% in media without pancreatin and 13.6% in the presence of pancreatin, whereas the purified DAO retained only 4.65% of its initial enzymatic activity in the presence of pancreatin.

摘要

一种基于偶联过氧化物酶反应的二胺氧化酶(DAO,组氨酸酶,EC 1.4.3.6)的酶谱分析及其在模拟胃和肠条件下的蛋白水解行为描述如下。从小麦幼苗植物提取物中直接测定 DAO 活性,方法是在含有固定化辣根过氧化物酶的十二烷基硫酸钠聚丙烯酰胺电泳凝胶上进行,以腐胺为组氨酸酶的底物,邻苯二胺为过氧化物酶的辅助底物。过氧化物酶催化氧化产物偶氮苯胺的积累导致凝胶上出现明确的黄棕色条带,其强度与 DAO 的酶活性相对应。凝胶图像分析后,得到植物提取物中 DAO 含量(考马斯亮蓝染色蛋白条带)及其酶活性(酶谱条带)与浓度之间的线性依赖性。在模拟胃液条件(pH 1.2,37°C)下,植物提取物中的 DAO 在孵育 15 分钟内,无论是存在胃蛋白酶还是不存在胃蛋白酶,其酶活性都丧失了。蛋白质图谱(考马斯亮蓝染色)显示,植物提取物中的 DAO 含量在含有或不含有胰蛋白酶的模拟肠液中几乎保持不变,而在存在胰蛋白酶的情况下略有减少。在 37°C 下孵育 10 小时后,植物提取物中的 DAO 酶活性在不含胰蛋白酶的介质中为 44.7%,在存在胰蛋白酶的介质中为 13.6%,而纯化的 DAO 在存在胰蛋白酶的情况下仅保留其初始酶活性的 4.65%。

https://cdn.ncbi.nlm.nih.gov/pmc/blobs/0e3c/2809943/033d8d69e6b6/216_2009_3306_Figa_HTML.jpg

文献AI研究员

20分钟写一篇综述,助力文献阅读效率提升50倍。

立即体验

用中文搜PubMed

大模型驱动的PubMed中文搜索引擎

马上搜索

文档翻译

学术文献翻译模型,支持多种主流文档格式。

立即体验