• 文献检索
  • 文档翻译
  • 深度研究
  • 学术资讯
  • Suppr Zotero 插件Zotero 插件
  • 邀请有礼
  • 套餐&价格
  • 历史记录
应用&插件
Suppr Zotero 插件Zotero 插件浏览器插件Mac 客户端Windows 客户端微信小程序
定价
高级版会员购买积分包购买API积分包
服务
文献检索文档翻译深度研究API 文档MCP 服务
关于我们
关于 Suppr公司介绍联系我们用户协议隐私条款
关注我们

Suppr 超能文献

核心技术专利:CN118964589B侵权必究
粤ICP备2023148730 号-1Suppr @ 2026

文献检索

告别复杂PubMed语法,用中文像聊天一样搜索,搜遍4000万医学文献。AI智能推荐,让科研检索更轻松。

立即免费搜索

文件翻译

保留排版,准确专业,支持PDF/Word/PPT等文件格式,支持 12+语言互译。

免费翻译文档

深度研究

AI帮你快速写综述,25分钟生成高质量综述,智能提取关键信息,辅助科研写作。

立即免费体验

实验性骨关节炎中的 S100A8 和 S100A9。

S100A8 and S100A9 in experimental osteoarthritis.

机构信息

Tissue Engineering and Biomaterials Research Unit, School of AMME J07, Faculty of Engineering, Bosch Institute, University of Sydney, Corner of Shepherd and Cleavland Street, New South Wales 2006, Australia.

出版信息

Arthritis Res Ther. 2010;12(1):R16. doi: 10.1186/ar2917. Epub 2010 Jan 27.

DOI:10.1186/ar2917
PMID:20105291
原文链接:https://pmc.ncbi.nlm.nih.gov/articles/PMC2875644/
Abstract

INTRODUCTION

The objective was to evaluate the changes in S100A8 S100A9, and their complex (S100A8/S100A9) in cartilage during the onset of osteoarthritis (OA) as opposed to inflammatory arthritis.

METHODS

S100A8 and S100A9 protein localization were determined in antigen-induced inflammatory arthritis in mice, mouse femoral head cartilage explants stimulated with interleukin-1 (IL-1), and in surgically-induced OA in mice. Microarray expression profiling of all S100 proteins in cartilage was evaluated at different times after initiation of degradation in femoral head explant cultures stimulated with IL-1 and surgically-induced OA. The effect of S100A8, S100A9 or the complex on the expression of aggrecan (Acan), collagen II (Col2a1), disintegrin and metalloproteases with thrombospondin motifs (Adamts1, Adamts 4 &Adamts 5), matrix metalloproteases (Mmp1, Mmp3, Mmp13 &Mmp14) and tissue inhibitors of metalloproteinases (Timp1, Timp2 &Timp3), by primary adult ovine articular chondrocytes was determined using real time quantitative reverse transcription polymerase chain reaction (qRT-PCR).

RESULTS

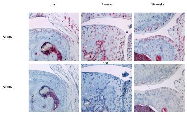
Stimulation with IL-1 increased chondrocyte S100a8 and S100a9 mRNA and protein levels. There was increased chondrocyte mRNA expression of S100a8 and S100a9 in early but not late mouse OA. However, loss of the S100A8 staining in chondrocytes occurred as mouse OA progressed, in contrast to the positive reactivity for both S100A8 and S100A9 in chondrocytes in inflammatory arthritis in mice. Homodimeric S100A8 and S100A9, but not the heterodimeric complex, significantly upregulated chondrocyte Adamts1, Adamts4 and Adamts 5, Mmp1, Mmp3 and Mmp13 gene expression, while collagen II and aggrecan mRNAs were significantly decreased.

CONCLUSIONS

Chondrocyte derived S100A8 and S100A9 may have a sustained role in cartilage degradation in inflammatory arthritis. In contrast, while these proteins may have a role in initiating early cartilage degradation in OA by upregulating MMPs and aggrecanases, their reduced expression in late stages of OA suggests they do not have an ongoing role in cartilage degradation in this non-inflammatory arthropathy.

摘要

简介

本研究旨在对比炎性关节炎和骨关节炎(OA)中软骨内 S100A8、S100A9 及其复合物(S100A8/S100A9)在发病过程中的变化。

方法

在诱导型炎性关节炎小鼠模型、白细胞介素-1(IL-1)刺激的小鼠股骨头软骨外植体以及手术诱导的 OA 小鼠模型中,检测 S100A8 和 S100A9 蛋白的定位。在 IL-1 刺激的股骨头外植体培养物和手术诱导的 OA 中,通过微阵列表达谱分析评估所有 S100 蛋白在软骨中的表达情况。采用实时定量逆转录聚合酶链反应(qRT-PCR)检测 S100A8、S100A9 或复合物对成年绵羊关节软骨细胞中聚集蛋白聚糖(Acan)、II 型胶原(Col2a1)、解整合素金属蛋白酶与凝血酶 3 型(Adamts1、Adamts4 和 Adamts5)、基质金属蛋白酶(Mmp1、Mmp3、Mmp13 和 Mmp14)和金属蛋白酶组织抑制剂(Timp1、Timp2 和 Timp3)表达的影响。

结果

IL-1 刺激可增加软骨细胞 S100a8 和 S100a9 的 mRNA 和蛋白水平。在早期但不是晚期的 OA 小鼠中,S100a8 和 S100a9 的软骨细胞 mRNA 表达增加。然而,随着 OA 小鼠的进展,S100A8 在软骨细胞中的染色丢失,而在炎性关节炎的小鼠软骨细胞中 S100A8 和 S100A9 均呈阳性反应。同源二聚体 S100A8 和 S100A9 而非异源二聚体复合物可显著上调软骨细胞 Adamts1、Adamts4 和 Adamts5、Mmp1、Mmp3 和 Mmp13 的基因表达,而 II 型胶原和聚集蛋白聚糖的 mRNA 则显著减少。

结论

软骨细胞来源的 S100A8 和 S100A9 可能在炎性关节炎的软骨降解中持续发挥作用。相比之下,虽然这些蛋白可能通过上调 MMPs 和聚集蛋白聚糖酶在 OA 中早期启动软骨降解,但它们在 OA 晚期的表达减少表明它们在这种非炎性关节病的软骨降解中没有持续作用。

https://cdn.ncbi.nlm.nih.gov/pmc/blobs/8cb5/2875644/1fd14b553af7/ar2917-6.jpg
https://cdn.ncbi.nlm.nih.gov/pmc/blobs/8cb5/2875644/d451cb5de06f/ar2917-1.jpg
https://cdn.ncbi.nlm.nih.gov/pmc/blobs/8cb5/2875644/b23bee3ff1c7/ar2917-2.jpg
https://cdn.ncbi.nlm.nih.gov/pmc/blobs/8cb5/2875644/7513ede76b9f/ar2917-3.jpg
https://cdn.ncbi.nlm.nih.gov/pmc/blobs/8cb5/2875644/32bac2f8ab27/ar2917-4.jpg
https://cdn.ncbi.nlm.nih.gov/pmc/blobs/8cb5/2875644/894ab015811a/ar2917-5.jpg
https://cdn.ncbi.nlm.nih.gov/pmc/blobs/8cb5/2875644/1fd14b553af7/ar2917-6.jpg
https://cdn.ncbi.nlm.nih.gov/pmc/blobs/8cb5/2875644/d451cb5de06f/ar2917-1.jpg
https://cdn.ncbi.nlm.nih.gov/pmc/blobs/8cb5/2875644/b23bee3ff1c7/ar2917-2.jpg
https://cdn.ncbi.nlm.nih.gov/pmc/blobs/8cb5/2875644/7513ede76b9f/ar2917-3.jpg
https://cdn.ncbi.nlm.nih.gov/pmc/blobs/8cb5/2875644/32bac2f8ab27/ar2917-4.jpg
https://cdn.ncbi.nlm.nih.gov/pmc/blobs/8cb5/2875644/894ab015811a/ar2917-5.jpg
https://cdn.ncbi.nlm.nih.gov/pmc/blobs/8cb5/2875644/1fd14b553af7/ar2917-6.jpg

相似文献

1
S100A8 and S100A9 in experimental osteoarthritis.实验性骨关节炎中的 S100A8 和 S100A9。
Arthritis Res Ther. 2010;12(1):R16. doi: 10.1186/ar2917. Epub 2010 Jan 27.
2
Alarmins S100A8 and S100A9 elicit a catabolic effect in human osteoarthritic chondrocytes that is dependent on Toll-like receptor 4.警报素S100A8和S100A9在人类骨关节炎软骨细胞中引发一种分解代谢效应,该效应依赖于Toll样受体4。
Arthritis Rheum. 2012 May;64(5):1477-87. doi: 10.1002/art.33495.
3
Stimulation of chondrocyte-mediated cartilage destruction by S100A8 in experimental murine arthritis.在实验性小鼠关节炎中,S100A8对软骨细胞介导的软骨破坏的刺激作用。
Arthritis Rheum. 2008 Dec;58(12):3776-87. doi: 10.1002/art.24074.
4
Myeloid-related proteins S100A8/S100A9 regulate joint inflammation and cartilage destruction during antigen-induced arthritis.髓系相关蛋白S100A8/S100A9在抗原诱导的关节炎中调节关节炎症和软骨破坏。
Ann Rheum Dis. 2008 Dec;67(12):1750-8. doi: 10.1136/ard.2007.077800. Epub 2007 Nov 30.
5
Alarmins S100A8/S100A9 aggravate osteophyte formation in experimental osteoarthritis and predict osteophyte progression in early human symptomatic osteoarthritis.警报素 S100A8/S100A9 加重实验性骨关节炎中的骨赘形成,并预测早期人类症状性骨关节炎中的骨赘进展。
Ann Rheum Dis. 2016 Jan;75(1):218-25. doi: 10.1136/annrheumdis-2014-205480. Epub 2014 Sep 1.
6
Active involvement of alarmins S100A8 and S100A9 in the regulation of synovial activation and joint destruction during mouse and human osteoarthritis.警报素S100A8和S100A9在小鼠和人类骨关节炎期间滑膜激活和关节破坏的调节中发挥积极作用。
Arthritis Rheum. 2012 May;64(5):1466-76. doi: 10.1002/art.34315.
7
Inhibition of cartilage degradation and suppression of PGE and MMPs expression by pomegranate fruit extract in a model of posttraumatic osteoarthritis.石榴果实提取物对创伤后骨关节炎模型中软骨降解的抑制作用以及对前列腺素E和基质金属蛋白酶表达的抑制作用。
Nutrition. 2017 Jan;33:1-13. doi: 10.1016/j.nut.2016.08.004. Epub 2016 Sep 2.
8
Scavenger receptor class A type I/II determines matrix metalloproteinase-mediated cartilage destruction and chondrocyte death in antigen-induced arthritis.A类清道夫受体I/II型决定抗原诱导性关节炎中基质金属蛋白酶介导的软骨破坏和软骨细胞死亡。
Arthritis Rheum. 2009 Oct;60(10):2954-65. doi: 10.1002/art.24908.
9
A 3D cartilage - inflammatory cell culture system for the modeling of human osteoarthritis.一种用于建模人类骨关节炎的 3D 软骨-炎性细胞培养系统。
Biomaterials. 2011 Aug;32(24):5581-9. doi: 10.1016/j.biomaterials.2011.04.028. Epub 2011 May 12.
10
Associations between serum S100A8/S100A9 and knee symptoms, joint structures and cartilage enzymes in patients with knee osteoarthritis.血清 S100A8/S100A9 与膝骨关节炎患者膝关节症状、关节结构和软骨酶的相关性。
Osteoarthritis Cartilage. 2019 Jan;27(1):99-105. doi: 10.1016/j.joca.2018.08.020. Epub 2018 Sep 18.

引用本文的文献

1
Analysis and validation of diagnostic biomarkers and immune cell infiltration characteristics in osteoarthritis by integrating bioinformatics and machine learning.通过整合生物信息学和机器学习对骨关节炎诊断生物标志物及免疫细胞浸润特征进行分析与验证
Front Immunol. 2025 Aug 20;16:1596912. doi: 10.3389/fimmu.2025.1596912. eCollection 2025.
2
P13-516M14.1 Regulates Autophagy Through miR-429 via Both a ceRNA Network and Direct Interaction.P13 - 516M14.1通过ceRNA网络和直接相互作用经由miR - 429调控自噬。
Biochem Genet. 2025 May 28. doi: 10.1007/s10528-025-11143-x.
3
The Role of Alarmins in the Pathogenesis of Rheumatoid Arthritis, Osteoarthritis, and Psoriasis.

本文引用的文献

1
Mutations in the heparan-sulfate proteoglycan glypican 6 (GPC6) impair endochondral ossification and cause recessive omodysplasia.硫酸乙酰肝素蛋白聚糖磷脂酰肌醇蛋白聚糖6(GPC6)的突变会损害软骨内骨化并导致隐性骨发育不全。
Am J Hum Genet. 2009 Jun;84(6):760-70. doi: 10.1016/j.ajhg.2009.05.002. Epub 2009 May 28.
2
MicroRNA-196a is a potential marker of progression during Barrett's metaplasia-dysplasia-invasive adenocarcinoma sequence in esophagus.微小RNA-196a是食管巴雷特化生-发育异常-浸润性腺癌序列进展的潜在标志物。
Am J Pathol. 2009 May;174(5):1940-8. doi: 10.2353/ajpath.2009.080718. Epub 2009 Mar 26.
3
Consistent deregulation of gene expression between human and murine MLL rearrangement leukemias.
警报素在类风湿关节炎、骨关节炎和银屑病发病机制中的作用
Curr Issues Mol Biol. 2024 Apr 19;46(4):3640-3675. doi: 10.3390/cimb46040228.
4
Whitening of brown adipose tissue inhibits osteogenic differentiation via secretion of S100A8/A9.棕色脂肪组织的白化通过分泌S100A8/A9抑制成骨分化。
iScience. 2024 Jan 11;27(2):108857. doi: 10.1016/j.isci.2024.108857. eCollection 2024 Feb 16.
5
Inhibition of TLR4 signalling to dampen joint inflammation in osteoarthritis.抑制 TLR4 信号传导以减轻骨关节炎的关节炎症。
Rheumatology (Oxford). 2024 Mar 1;63(3):608-618. doi: 10.1093/rheumatology/kead493.
6
Erythrocyte removal from bone marrow aspirate concentrate improves efficacy as intra-articular cellular therapy in a rodent osteoarthritis model.从骨髓抽吸浓缩物中去除红细胞可提高其作为啮齿动物骨关节炎模型关节内细胞疗法的疗效。
Ann Transl Med. 2023 Jun 30;11(9):311. doi: 10.21037/atm-22-4256. Epub 2023 May 25.
7
Inflammatory Process on Knee Osteoarthritis in Cyclists.骑行者膝关节骨关节炎的炎症过程
J Clin Med. 2023 May 26;12(11):3703. doi: 10.3390/jcm12113703.
8
Healthy and Osteoarthritis-Affected Joints Facing the Cellular Crosstalk.健康关节和骨关节炎关节面临的细胞串扰。
Int J Mol Sci. 2023 Feb 18;24(4):4120. doi: 10.3390/ijms24044120.
9
Identification of mechanics-responsive osteocyte signature in osteoarthritis subchondral bone.骨关节炎软骨下骨中力学反应性骨细胞特征的鉴定
Bone Joint Res. 2022 Jun;11(6):362-370. doi: 10.1302/2046-3758.116.BJR-2021-0436.R1.
10
Innate Immunity at the Core of Sex Differences in Osteoarthritic Pain?骨关节炎疼痛性别差异的核心是先天免疫吗?
Front Pharmacol. 2022 May 19;13:881500. doi: 10.3389/fphar.2022.881500. eCollection 2022.
人类和小鼠MLL重排白血病之间基因表达的持续失调。
Cancer Res. 2009 Feb 1;69(3):1109-16. doi: 10.1158/0008-5472.CAN-08-3381. Epub 2009 Jan 20.
4
Stimulation of chondrocyte-mediated cartilage destruction by S100A8 in experimental murine arthritis.在实验性小鼠关节炎中,S100A8对软骨细胞介导的软骨破坏的刺激作用。
Arthritis Rheum. 2008 Dec;58(12):3776-87. doi: 10.1002/art.24074.
5
Proteomic characterization of mouse cartilage degradation in vitro.体外小鼠软骨降解的蛋白质组学特征分析
Arthritis Rheum. 2008 Oct;58(10):3120-31. doi: 10.1002/art.23789.
6
Modulation of aggrecan and ADAMTS expression in ovine tendinopathy induced by altered strain.应变改变诱导的绵羊肌腱病中聚集蛋白聚糖和含血小板反应蛋白基序的解聚蛋白样金属蛋白酶表达的调节
Arthritis Rheum. 2008 Apr;58(4):1055-66. doi: 10.1002/art.23388.
7
A microarray approach for comparative expression profiling of the discrete maturation zones of mouse growth plate cartilage.一种用于小鼠生长板软骨离散成熟区比较表达谱分析的微阵列方法。
Biochim Biophys Acta. 2008 May;1779(5):330-40. doi: 10.1016/j.bbagrm.2008.02.010. Epub 2008 Mar 8.
8
Myeloid-related proteins S100A8/S100A9 regulate joint inflammation and cartilage destruction during antigen-induced arthritis.髓系相关蛋白S100A8/S100A9在抗原诱导的关节炎中调节关节炎症和软骨破坏。
Ann Rheum Dis. 2008 Dec;67(12):1750-8. doi: 10.1136/ard.2007.077800. Epub 2007 Nov 30.
9
Comparative proteomic characterization of articular cartilage tissue from normal donors and patients with osteoarthritis.正常供体和骨关节炎患者关节软骨组织的比较蛋白质组学特征分析。
Arthritis Rheum. 2007 Nov;56(11):3675-84. doi: 10.1002/art.22876.
10
Mrp8 and Mrp14 are endogenous activators of Toll-like receptor 4, promoting lethal, endotoxin-induced shock.Mrp8和Mrp14是Toll样受体4的内源性激活剂,可促进致死性内毒素诱导的休克。
Nat Med. 2007 Sep;13(9):1042-9. doi: 10.1038/nm1638. Epub 2007 Sep 2.