Suppr超能文献

豌豆 3 转录因子与 wnt1 诱导的小鼠乳腺肿瘤。

Pea3 transcription factors and wnt1-induced mouse mammary neoplasia.

机构信息

Department of Cell and Developmental Biology, Weill Cornell Medical College, New York, New York, USA.

出版信息

PLoS One. 2010 Jan 22;5(1):e8854. doi: 10.1371/journal.pone.0008854.

Abstract

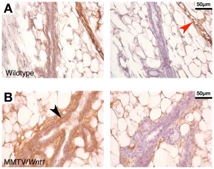
The role of the PEA3 subfamily of Ets transcription factors in breast neoplasia is controversial. Although overexpression of PEA3 (E1AF/ETV4), and of the related factors ERM (ETV5) and ER81 (ETV1), have been observed in human and mouse breast tumors, PEA3 factors have also been ascribed a tumor suppressor function. Here, we utilized the MMTV/Wnt1 mouse strain to further interrogate the role of PEA3 transcription factors in mammary tumorigenesis based on our previous observation that Pea3 is highly expressed in MMTV/Wnt1 mammary tumors. Pea3 expression in mouse mammary tissues was visualized using a Pea3(NLSlacZ) reporter strain. In normal mammary glands, Pea3 expression is predominantly confined to myoepithelial cells. Wnt1 transgene expression induced marked amplification of this cell compartment in nontumorous mammary glands, accompanied by an apparent increase in Pea3 expression. The pattern of Pea3 expression in MMTV/Wnt1 mammary glands recapitulated the cellular profile of activated beta-catenin/TCF signaling, which was visualized using both beta-catenin immunohistochemistry and the beta-catenin/TCF-responsive reporter Axin2(NLSlacZ). To test the requirement for PEA3 factors in Wnt1-induced tumorigenesis, we employed a mammary-targeted dominant negative PEA3 transgene, DeltaNPEA3En. Expression of DeltaNPEA3En delayed early-onset tumor formation in MMTV/Wnt1 virgin females (P = 0.03), suggesting a requirement for PEA3 factor function for Wnt1-driven tumor formation. Consistent with this observation, expression of the DeltaNPEA3En transgene was profoundly reduced in mammary tumors compared to nontumorous mammary glands from bigenic MMTV/Wnt1, MMTV/DeltaNPEA3En mice (P = 0.01). Our data provide the first description of Wnt1-mediated expansion of the Pea3-expressing myoepithelial compartment in nontumorous mammary glands. Consistent with this observation, mammary myoepithelium was selectively responsive to Wnt1. Together these data suggest the MMTV/Wnt1 strain as a potential model of basal breast cancer. Furthermore, this study provides evidence for a protumorigenic role of PEA3 factors in breast neoplasia, and supports targeting the PEA3 transcription factor family in breast cancer.

摘要

PEA3 亚家族 Ets 转录因子在乳腺肿瘤发生中的作用存在争议。尽管在人类和小鼠的乳腺肿瘤中观察到 PEA3(E1AF/ETV4)和相关因子 ERM(ETV5)和 ER81(ETV1)的过表达,但 PEA3 因子也被赋予了肿瘤抑制功能。在这里,我们利用 MMTV/Wnt1 小鼠品系,根据我们之前的观察结果,即 Pea3 在 MMTV/Wnt1 乳腺肿瘤中高度表达,进一步研究 PEA3 转录因子在乳腺肿瘤发生中的作用。使用 Pea3(NLSlacZ)报告株观察小鼠乳腺组织中的 Pea3 表达。在正常乳腺组织中,Pea3 表达主要局限于肌上皮细胞。Wnt1 转基因表达在非肿瘤乳腺组织中显著扩增这一细胞区室,同时 Pea3 表达明显增加。MMTV/Wnt1 乳腺腺中的 Pea3 表达模式重现了激活的β-catenin/TCF 信号的细胞特征,该特征使用β-catenin 免疫组化和β-catenin/TCF 反应性报告基因 Axin2(NLSlacZ)来可视化。为了测试 PEA3 因子在 Wnt1 诱导的肿瘤发生中的必要性,我们使用了一种乳腺靶向的显性负 PEA3 转基因 DeltaNPEA3En。DeltaNPEA3En 的表达延迟了 MMTV/Wnt1 处女雌性的早期肿瘤形成(P=0.03),这表明 PEA3 因子功能对 Wnt1 驱动的肿瘤形成是必需的。与这一观察结果一致,与双转基因 MMTV/Wnt1、MMTV/DeltaNPEA3En 小鼠的非肿瘤乳腺相比,DeltaNPEA3En 转基因的表达在乳腺肿瘤中显著降低(P=0.01)。我们的数据首次描述了 Wnt1 介导的非肿瘤性乳腺中 Pea3 表达肌上皮细胞区室的扩张。与这一观察结果一致,乳腺肌上皮细胞对 Wnt1 有选择性反应。这些数据共同表明 MMTV/Wnt1 株是基底乳腺癌的潜在模型。此外,本研究为 PEA3 因子在乳腺肿瘤发生中的促肿瘤作用提供了证据,并支持在乳腺癌中靶向 PEA3 转录因子家族。

https://cdn.ncbi.nlm.nih.gov/pmc/blobs/b6a8/2809747/19473a8946b6/pone.0008854.g001.jpg

文献检索

告别复杂PubMed语法,用中文像聊天一样搜索,搜遍4000万医学文献。AI智能推荐,让科研检索更轻松。

立即免费搜索

文件翻译

保留排版,准确专业,支持PDF/Word/PPT等文件格式,支持 12+语言互译。

免费翻译文档

深度研究

AI帮你快速写综述,25分钟生成高质量综述,智能提取关键信息,辅助科研写作。

立即免费体验