Suppr超能文献

Diabetes insipidus as a complication of Wegener's granulomatosis and its treatment with biologic agents.

作者信息

Cunnington Joanna Rosalind, Jois Ramesh, Zammit Ivan, Scott David, Isaacs John

机构信息

Musculoskeletal Research Group, Institute of Cellular Medicine, The Medical School, Framlington Place, Newcastle upon Tyne, NE2 4HH, UK.

出版信息

Int J Rheumatol. 2009;2009:346136. doi: 10.1155/2009/346136. Epub 2009 Jul 26.

Abstract

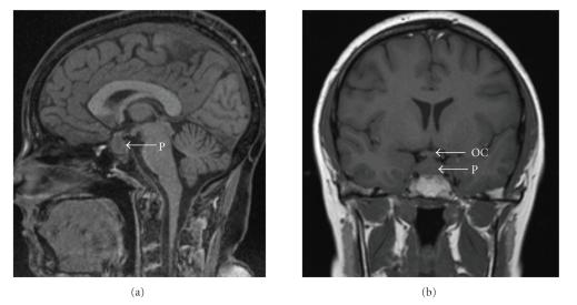
Wegener's granulomatosis of the pituitary gland resulting in diabetes insipidus is a rare complication of the disease. Standard treatment for Wegener's granulomatosis involves a combination of prednisolone and cylophosphamide, however biologic agents are now being used in refractory cases. We report three cases of patients with diabetes insipidus as a complication of Wegener's granulomatosis who were treated with biologic agents. All three cases showed clinical response to treatment with biologic agents including rituximab and alemtuzumab and two cases demonstrated improvement in pituitary gland abnormalities by MRI. Clinicians should be aware that diabetes insipidus can present as a complication of Wegener's granulomatosis and that biologic therapies may be effective in refractory cases.

摘要
https://cdn.ncbi.nlm.nih.gov/pmc/blobs/2af0/2809337/325e7bb0ae67/IJR2009-346136.001.jpg

文献AI研究员

20分钟写一篇综述,助力文献阅读效率提升50倍。

立即体验

用中文搜PubMed

大模型驱动的PubMed中文搜索引擎

马上搜索

文档翻译

学术文献翻译模型,支持多种主流文档格式。

立即体验