• 文献检索
  • 文档翻译
  • 深度研究
  • 学术资讯
  • Suppr Zotero 插件Zotero 插件
  • 邀请有礼
  • 套餐&价格
  • 历史记录
应用&插件
Suppr Zotero 插件Zotero 插件浏览器插件Mac 客户端Windows 客户端微信小程序
定价
高级版会员购买积分包购买API积分包
服务
文献检索文档翻译深度研究API 文档MCP 服务
关于我们
关于 Suppr公司介绍联系我们用户协议隐私条款
关注我们

Suppr 超能文献

核心技术专利:CN118964589B侵权必究
粤ICP备2023148730 号-1Suppr @ 2026

文献检索

告别复杂PubMed语法,用中文像聊天一样搜索,搜遍4000万医学文献。AI智能推荐,让科研检索更轻松。

立即免费搜索

文件翻译

保留排版,准确专业,支持PDF/Word/PPT等文件格式,支持 12+语言互译。

免费翻译文档

深度研究

AI帮你快速写综述,25分钟生成高质量综述,智能提取关键信息,辅助科研写作。

立即免费体验

罕见的伴有空蝶鞍的阿尔斯特伦综合征病例及巴德-比德尔表型的家族间出现情况。

Rare case of Alstrom syndrome with empty sella and interfamilial presence of Bardet-Biedl phenotype.

作者信息

Catrinoiu D, Mihai C M, Tuta L, Stoicescu R, Simpetru A

机构信息

"Ovidius" University, Faculty of Medicine.

出版信息

J Med Life. 2009 Jan-Mar;2(1):98-103.

PMID:20108498
原文链接:https://pmc.ncbi.nlm.nih.gov/articles/PMC5051489/
Abstract

UNLABELLED

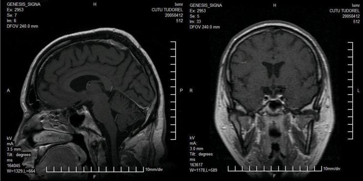
Alstrom syndrome is an extremely rare, autosomal recessive genetic disorder characterized by a group of signs and symptoms including infantile onset dilated cardiomyopathy, blindness, hearing impairment/loss, obesity, diabetes, hepatic and renal dysfunction. Since the first description of the syndrome in 1959, there have never been reported cases of Alstrom syndrome with the occurrence of the Bardet-Biedl syndrome in their relatives, this case suggesting a close genetic link between these two ciliopathies. The presence of empty sella seems to be a rare morphologic finding in Alstrom syndrome although it has been documented in few Bardet-Biedl cases.

CASE PRESENTATION

We report a case of a 20 -year-old caucasian male with hearing and visual loss, short stature, insulin resistant diabetes, dilated cardiomyopathy, hepatic and renal dysfunction, hypertension, and alopecia. By studying his family medical records we identified two relatives with suggestive clinical findings for Bardet Biedl syndrome.

CONCLUSION

Analyzing the clinical traits of these patients we found that retinopathy, nephropathy and central obesity were present in all patients, suggesting a main anomaly in ciliary function controlling photoreception, renal and metabolic processes. The occurrence of similar clinical cases within a family further demonstrates the existence of a common pathologic cilliary mechanism, a genetic basis of phenotypic variability in seemingly monogenic disease and a functional link between rare disorders and common traits with overlapping clinical manifestations. Genetic studies in such patients may provide new data regarding the consequences of defective cilia and a possible identification of new gene mutations.

摘要

未标记

阿尔斯特伦综合征是一种极其罕见的常染色体隐性遗传病,其特征是一组体征和症状,包括婴儿期发病的扩张型心肌病、失明、听力障碍/丧失、肥胖、糖尿病、肝肾功能障碍。自1959年首次描述该综合征以来,从未有亲属发生巴德-比德尔综合征的阿尔斯特伦综合征病例报告,该病例表明这两种纤毛病之间存在密切的遗传联系。空蝶鞍的存在似乎是阿尔斯特伦综合征中一种罕见的形态学表现,尽管在少数巴德-比德尔病例中已有记录。

病例介绍

我们报告一例20岁的白种男性病例,该患者有听力和视力丧失、身材矮小、胰岛素抵抗性糖尿病、扩张型心肌病、肝肾功能障碍、高血压和脱发。通过研究他的家族病历,我们确定了两名有巴德-比德尔综合征提示性临床发现的亲属。

结论

分析这些患者的临床特征,我们发现所有患者均存在视网膜病变、肾病和中心性肥胖,提示在控制光感受、肾脏和代谢过程的纤毛功能方面存在主要异常。一个家族中出现类似临床病例进一步证明了存在共同的病理性纤毛机制、看似单基因疾病表型变异的遗传基础以及罕见疾病与具有重叠临床表现的常见特征之间的功能联系。对此类患者进行基因研究可能会提供有关纤毛缺陷后果的新数据,并可能鉴定出新的基因突变。

https://cdn.ncbi.nlm.nih.gov/pmc/blobs/2ddc/5051489/069dfa8ab669/JMedLife-02-98-g002.jpg
https://cdn.ncbi.nlm.nih.gov/pmc/blobs/2ddc/5051489/919b746b571f/JMedLife-02-98-g001.jpg
https://cdn.ncbi.nlm.nih.gov/pmc/blobs/2ddc/5051489/069dfa8ab669/JMedLife-02-98-g002.jpg
https://cdn.ncbi.nlm.nih.gov/pmc/blobs/2ddc/5051489/919b746b571f/JMedLife-02-98-g001.jpg
https://cdn.ncbi.nlm.nih.gov/pmc/blobs/2ddc/5051489/069dfa8ab669/JMedLife-02-98-g002.jpg

相似文献

1
Rare case of Alstrom syndrome with empty sella and interfamilial presence of Bardet-Biedl phenotype.罕见的伴有空蝶鞍的阿尔斯特伦综合征病例及巴德-比德尔表型的家族间出现情况。
J Med Life. 2009 Jan-Mar;2(1):98-103.
2
Alström syndrome: insights into the pathogenesis of metabolic disorders.阿尔斯特伦综合征:代谢紊乱发病机制的研究进展。
Nat Rev Endocrinol. 2011 Feb;7(2):77-88. doi: 10.1038/nrendo.2010.210. Epub 2010 Dec 7.
3
Impaired IGF1-GH axis and new therapeutic options in Alström Syndrome patients: a case series.阿尔斯特伦综合征患者中受损的胰岛素样生长因子1-生长激素轴及新的治疗选择:病例系列
Cases J. 2009 Jan 7;2(1):19. doi: 10.1186/1757-1626-2-19.
4
Whole organism transcriptome analysis of zebrafish models of Bardet-Biedl Syndrome and Alström Syndrome provides mechanistic insight into shared and divergent phenotypes.巴德-比德尔综合征和阿尔斯特伦综合征斑马鱼模型的全生物体转录组分析为共享和不同表型提供了机制性见解。
BMC Genomics. 2016 May 3;17:318. doi: 10.1186/s12864-016-2679-1.
5
Obesity-Related Ciliopathies: Focus on Advances of Biomarkers.肥胖相关纤毛病:聚焦生物标志物的进展。
Int J Mol Sci. 2024 Aug 3;25(15):8484. doi: 10.3390/ijms25158484.
6
Searching for Effective Methods of Diagnosing Nervous System Lesions in Patients with Alström and Bardet-Biedl Syndromes.寻找诊断 Alström 和 Bardet-Biedl 综合征患者神经系统损伤的有效方法。
Genes (Basel). 2023 Sep 10;14(9):1784. doi: 10.3390/genes14091784.
7
Cilia, Alström syndrome--molecular mechanisms and therapeutic perspectives.纤毛、阿尔斯特伦综合征——分子机制与治疗前景
J Med Life. 2008 Jul-Sep;1(3):254-61.
8
[Alström syndrome: clinical and genetic features, and a diagnostic guide to foresee complications].[阿尔斯特伦综合征:临床与遗传特征以及预测并发症的诊断指南]
Med Clin (Barc). 2008 Nov 29;131(19):741-6. doi: 10.1016/s0025-7753(08)75490-3.
9
Efficacy and safety of setmelanotide, a melanocortin-4 receptor agonist, in patients with Bardet-Biedl syndrome and Alström syndrome: a multicentre, randomised, double-blind, placebo-controlled, phase 3 trial with an open-label period.促黑素细胞激素 4 受体激动剂赛麦兰肽治疗 Bardet-Biedl 综合征和 Alström 综合征患者的疗效和安全性:一项多中心、随机、双盲、安慰剂对照、有开放标签期的 3 期临床试验。
Lancet Diabetes Endocrinol. 2022 Dec;10(12):859-868. doi: 10.1016/S2213-8587(22)00277-7. Epub 2022 Nov 7.
10
Proteomic and Transcriptomic Landscapes of Alström and Bardet-Biedl Syndromes.阿斯特吕姆综合征和巴德-比德尔综合征的蛋白质组学和转录组学图谱。
Genes (Basel). 2022 Dec 15;13(12):2370. doi: 10.3390/genes13122370.

引用本文的文献

1
Empty sella syndrome: an update.空蝶鞍综合征:最新进展
Pituitary. 2024 Dec 30;28(1):13. doi: 10.1007/s11102-024-01475-z.
2
Genotype-phenotype associations in Alström syndrome: a systematic review and meta-analysis.Alström 综合征的基因型-表型关联:系统评价和荟萃分析。
J Med Genet. 2023 Dec 21;61(1):18-26. doi: 10.1136/jmg-2023-109175.
3
Diabetic Cardiomyopathy as a Clinical Entity: Is It a Myth?作为一种临床实体的糖尿病性心肌病:它是虚构的吗?

本文引用的文献

1
When cilia go bad: cilia defects and ciliopathies.当纤毛出现问题时:纤毛缺陷与纤毛病
Nat Rev Mol Cell Biol. 2007 Nov;8(11):880-93. doi: 10.1038/nrm2278.
2
A core complex of BBS proteins cooperates with the GTPase Rab8 to promote ciliary membrane biogenesis.BBS蛋白的核心复合物与GTP酶Rab8协同作用,以促进纤毛膜生物发生。
Cell. 2007 Jun 15;129(6):1201-13. doi: 10.1016/j.cell.2007.03.053.
3
Cilia and developmental signaling.纤毛与发育信号传导。
Cureus. 2020 Oct 22;12(10):e11100. doi: 10.7759/cureus.11100.
4
Alström syndrome is associated with short stature and reduced GH reserve.阿尔斯特伦综合征与身材矮小和生长激素储备减少有关。
Clin Endocrinol (Oxf). 2013 Oct;79(4):529-36. doi: 10.1111/cen.12180. Epub 2013 Mar 26.
Annu Rev Cell Dev Biol. 2007;23:345-73. doi: 10.1146/annurev.cellbio.23.090506.123249.
4
Cilia: tuning in to the cell's antenna.纤毛:倾听细胞的天线
Curr Biol. 2006 Aug 8;16(15):R604-14. doi: 10.1016/j.cub.2006.07.012.
5
The primary cilium as the cell's antenna: signaling at a sensory organelle.作为细胞天线的初级纤毛:在一种感觉细胞器上的信号传导
Science. 2006 Aug 4;313(5787):629-33. doi: 10.1126/science.1124534.
6
The ciliopathies: an emerging class of human genetic disorders.纤毛病:一类新出现的人类遗传疾病
Annu Rev Genomics Hum Genet. 2006;7:125-48. doi: 10.1146/annurev.genom.7.080505.115610.
7
The left-right axis in the mouse: from origin to morphology.小鼠的左右轴:从起源到形态学
Development. 2006 Jun;133(11):2095-104. doi: 10.1242/dev.02384. Epub 2006 May 3.
8
MKS1, encoding a component of the flagellar apparatus basal body proteome, is mutated in Meckel syndrome.编码鞭毛装置基体蛋白质组一个组分的MKS1在梅克尔综合征中发生突变。
Nat Genet. 2006 Feb;38(2):155-7. doi: 10.1038/ng1714. Epub 2006 Jan 15.
9
Cilia and centrosomes: a unifying pathogenic concept for cystic kidney disease?纤毛与中心体:囊性肾病的一个统一致病概念?
Nat Rev Genet. 2005 Dec;6(12):928-40. doi: 10.1038/nrg1727.
10
An incredible decade for the primary cilium: a look at a once-forgotten organelle.初级纤毛的十年辉煌:审视一个曾被遗忘的细胞器。
Am J Physiol Renal Physiol. 2005 Dec;289(6):F1159-69. doi: 10.1152/ajprenal.00118.2005.