Suppr超能文献

细胞周期蛋白依赖性激酶与有丝分裂后网络的相互调节。

Mutual regulation of cyclin-dependent kinase and the mitotic exit network.

机构信息

Zentrum für Molekulare Biologie der Universität Heidelberg (ZMBH), ZMBH-DKFZ Alliance, 69120 Heidelberg, Germany.

出版信息

J Cell Biol. 2010 Feb 8;188(3):351-68. doi: 10.1083/jcb.200911128. Epub 2010 Feb 1.

Abstract

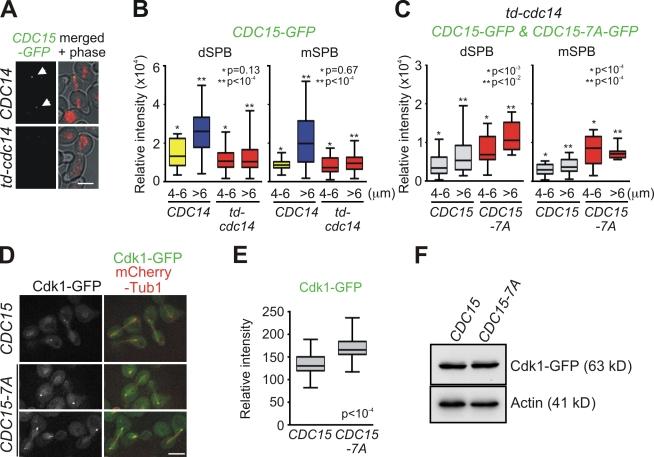
The mitotic exit network (MEN) is a spindle pole body (SPB)-associated, GTPase-driven signaling cascade that controls mitotic exit. The inhibitory Bfa1-Bub2 GTPase-activating protein (GAP) only associates with the daughter SPB (dSPB), raising the question as to how the MEN is regulated on the mother SPB (mSPB). Here, we show mutual regulation of cyclin-dependent kinase 1 (Cdk1) and the MEN. In early anaphase Cdk1 becomes recruited to the mSPB depending on the activity of the MEN kinase Cdc15. Conversely, Cdk1 negatively regulates binding of Cdc15 to the mSPB. In addition, Cdk1 phosphorylates the Mob1 protein to inhibit the activity of Dbf2-Mob1 kinase that regulates Cdc14 phosphatase. Our data revise the understanding of the spatial regulation of the MEN. Although MEN activity in the daughter cells is controlled by Bfa1-Bub2, Cdk1 inhibits MEN activity at the mSPB. Consistent with this model, only triple mutants that lack BUB2 and the Cdk1 phosphorylation sites in Mob1 and Cdc15 show mitotic exit defects.

摘要

有丝分裂退出网络(MEN)是一种与纺锤体极体(SPB)相关的 GTPase 驱动的信号级联,它控制着有丝分裂的退出。抑制性的 Bfa1-Bub2 GTPase 激活蛋白(GAP)仅与子 SPB(dSPB)结合,这就提出了一个问题,即 MEN 如何在母 SPB(mSPB)上被调控。在这里,我们展示了细胞周期蛋白依赖性激酶 1(Cdk1)和 MEN 之间的相互调控。在早后期,Cdk1 的募集取决于 MEN 激酶 Cdc15 的活性,取决于 MEN 的活性。相反,Cdk1 负调控 Cdc15 与 mSPB 的结合。此外,Cdk1 磷酸化 Mob1 蛋白,抑制调节 Cdc14 磷酸酶的 Dbf2-Mob1 激酶的活性。我们的数据修正了对 MEN 空间调控的理解。尽管女儿细胞中的 MEN 活性受 Bfa1-Bub2 控制,但 Cdk1 抑制了 mSPB 上的 MEN 活性。与该模型一致,只有缺乏 BUB2 和 Mob1 及 Cdc15 中 Cdk1 磷酸化位点的三突变体才显示出有丝分裂退出缺陷。

https://cdn.ncbi.nlm.nih.gov/pmc/blobs/390f/2819678/af577a2350b8/JCB_200911128_RGB_Fig1.jpg

文献检索

告别复杂PubMed语法,用中文像聊天一样搜索,搜遍4000万医学文献。AI智能推荐,让科研检索更轻松。

立即免费搜索

文件翻译

保留排版,准确专业,支持PDF/Word/PPT等文件格式,支持 12+语言互译。

免费翻译文档

深度研究

AI帮你快速写综述,25分钟生成高质量综述,智能提取关键信息,辅助科研写作。

立即免费体验